You are here

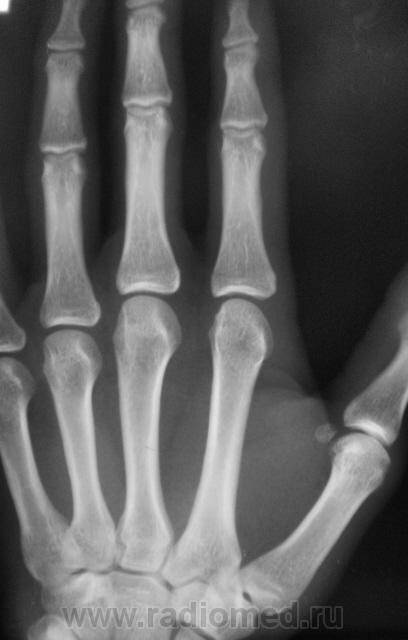
Травма. Пациент направлен на рентгенографию 2 пальца.

Пол пациента: 
Тип патологии: 
Область исследования: 
Методы исследования: 

Травма. Пациент направлен на рентгенографию 2 пальца.

  • https://radiomed.ru/sites/default/files/styles/case_slider_image/public/user/12/12.TTravma.JPG?itok=dc6PCboy
  • https://radiomed.ru/sites/default/files/styles/case_slider_image/public/user/12/13.TTravma.jpg?itok=AoO5cEJs
  • https://radiomed.ru/sites/default/files/styles/case_slider_image/public/user/12/14.TTravma.jpg?itok=PWaXizzM
  • https://radiomed.ru/sites/default/files/styles/case_slider_image/public/user/12/15.TTravma.JPG?itok=SJ5iFOuL
  • https://radiomed.ru/sites/default/files/styles/case_slider_image/public/user/12/16.TTravma.jpg?itok=BXDuMlac
  • https://radiomed.ru/sites/default/files/styles/case_slider_image/public/user/12/17.TTravma.jpg?itok=nq7yA6AE
ID:1447
rentgengb1's picture
Offline
Last seen: 12 years 1 month ago
Joined: 13.02.2009 - 23:02
Posts: 290

Гм...а в чем прикол :)?. Ничего не вижу:)

Катенёв Валентин Львович's picture
Offline
Last seen: 7 years 1 month ago
Joined: 22.03.2008 - 22:15
Posts: 54876

А может быть и "прикола" нет?

rentgengb1's picture
Offline
Last seen: 12 years 1 month ago
Joined: 13.02.2009 - 23:02
Posts: 290

Костно-травматических изменений не вижу

Ольга Дмитриевна's picture
Offline
Last seen: 15 years 10 months ago
Joined: 13.01.2010 - 16:55
Posts: 168

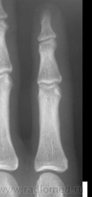
Вот это прикол. Настоящая головоломка !!! это инородное тело в области мед края головки осн фаланги 2 пальца.

Если не ошибаюсь, конечно. Заметить такое - респектищеее!

Красота - гормон карьерного роста!

Ola-la's picture
Offline
Last seen: 11 months 2 weeks ago
Joined: 06.12.2008 - 09:33
Posts: 1786

Ну, не знаю. я тоже ничего не вижу. А тонюсенькая полосочка может быть и артефактом.

rentgengb1's picture
Offline
Last seen: 12 years 1 month ago
Joined: 13.02.2009 - 23:02
Posts: 290

Гм...а где эта тонюсенькая полосочка? можно стрелочкой показаь?

Игорь Иванович's picture
Offline
Last seen: 3 years 10 months ago
Joined: 23.01.2010 - 14:56
Posts: 3695

rentgengb1 wrote:

Гм...а где эта тонюсенькая полосочка? можно стрелочкой показаь?

Я тоже на это обратил внимание, но посчитал артефактом.

Приложения: 
11.TTravma..jpg
Катенёв Валентин Львович's picture
Offline
Last seen: 7 years 1 month ago
Joined: 22.03.2008 - 22:15
Posts: 54876

По всей видимости, норму надо писать?

Игорь Иванович's picture
Offline
Last seen: 3 years 10 months ago
Joined: 23.01.2010 - 14:56
Posts: 3695

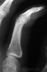
Валентин Львович, вы ж укажите, где локальная болезненность. Может перелом основания осн. фаланги?

Приложения: 
14.TTravma.jpg
Катенёв Валентин Львович's picture
Offline
Last seen: 7 years 1 month ago
Joined: 22.03.2008 - 22:15
Posts: 54876

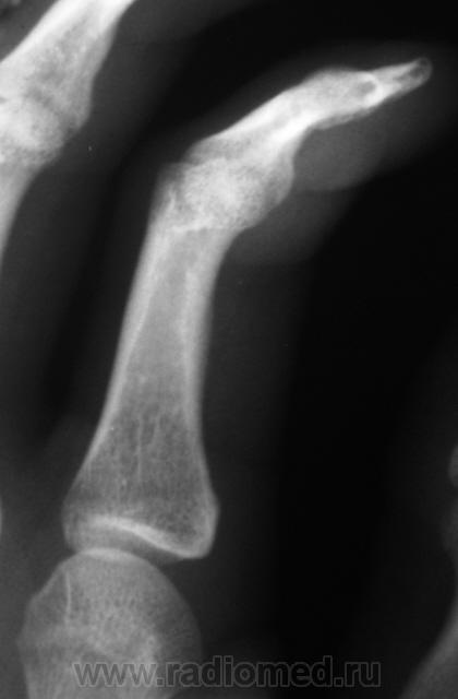
Участок максимальной болезненности.

 

Приложения: 
1.Zona_naibolshey.JPG
Игорь Иванович's picture
Offline
Last seen: 3 years 10 months ago
Joined: 23.01.2010 - 14:56
Posts: 3695

??? Головка ср.ф. какая-то скошенная, но деструктивн. изм., повреждений не вижу.

Катенёв Валентин Львович's picture
Offline
Last seen: 7 years 1 month ago
Joined: 22.03.2008 - 22:15
Posts: 54876

Меня тоже смутила форма головки фаланги.