Женщина, 60 лет. Жалобы на общее недомогание, кашель, длительный субфибрилитет. Подскажите, что за округлая тень в правом корне? (Рентгенолога нет, а ответ нужен завтра).
А что с передним нижним углом тела 6 позвонка на боковом снимке?
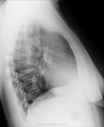
Эта тень, похоже, и отбражена в проекции правого корня на фасном снимке.Но контуры позвонков склерозированы.опасений.вроде.не вызывает.Сейчас знатоки подойдут и все распишут.
Строение корня такое. Хоть прямой снимок и напрягает, на боковом никакого криминала
Онкопатологию исключаем. Что ещё нужно посмотреть? Или направительный диагноз был - исключить онкопатологию?
С Уважением, Дмитрий.
Не совсем представляю, как по обычным рентгенограммам можно "исключить онкопроцесс". "Рентгенпризнаков не выявлено" - другое дело. Но исключить...
С уважением,
А что с передним нижним углом тела 6 позвонка на боковом снимке?
Эта тень, похоже, и отбражена в проекции правого корня на фасном снимке.Но контуры позвонков склерозированы.опасений.вроде.не вызывает.Сейчас знатоки подойдут и все распишут.
Прошу прощения. По обычным рентгенограммам нельзя исключить онкопроцесс. Мне следовало добавить слово "допустим". Допустим, исключаем онкопроцесс.
С Уважением, Дмитрий.
"Слушай всех, прислушивайся к немногим, решай сам".©
Нормальный корень.
Добрый вечер! А пневмонии здесь нет справа?
Вечер добрый.Пневмонии нет.