You are here

"Стресс" перелом?

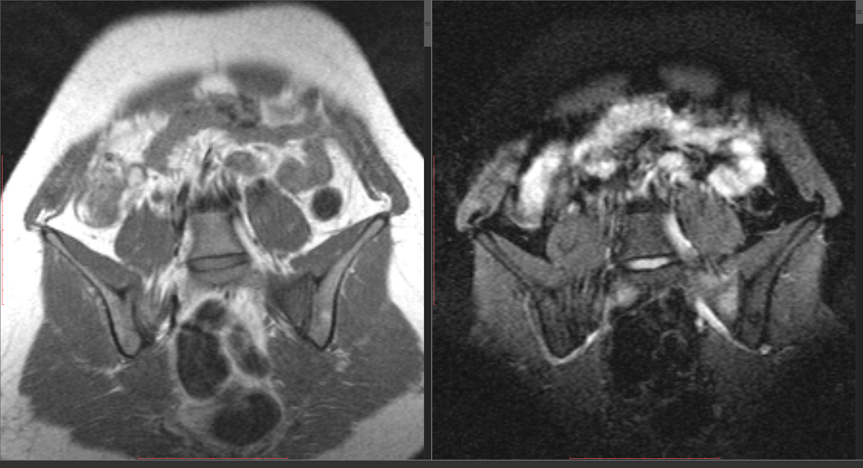
Женщина 1989 г.р. Жалуется на боли в крестце слева. С диагнозом грыжа L5-S1 направлена на МРТ ПОП, затем выполнена рентгенография крестца (это я делал, а не лаборанты, все тапки в меняwink). ДАЙКОМ
Думаю о "стресс" переломе, левой боковой массы крестца, а о чем думаете вы, уважаемые коллеги?
 

    

    

  

  • https://radiomed.ru/sites/default/files/styles/case_slider_image/public/user/16807/2_57.jpg?itok=m5d9FZws
  • https://radiomed.ru/sites/default/files/styles/case_slider_image/public/user/16807/3_33.jpg?itok=u5AErw1G
  • https://radiomed.ru/sites/default/files/styles/case_slider_image/public/user/16807/4_20.jpg?itok=kgydvJbQ
  • https://radiomed.ru/sites/default/files/styles/case_slider_image/public/user/16807/5_16.jpg?itok=4khEXtot
  • https://radiomed.ru/sites/default/files/styles/case_slider_image/public/user/16807/5_17.jpg?itok=QPVtHlYz
  • https://radiomed.ru/sites/default/files/styles/case_slider_image/public/user/16807/6_12.jpg?itok=eLHiYYG6
  • https://radiomed.ru/sites/default/files/styles/case_slider_image/public/user/16807/7_10.jpg?itok=ILc19Gp4
  • https://radiomed.ru/sites/default/files/styles/case_slider_image/public/user/16807/8_9.jpg?itok=T1PrN02R
  • https://radiomed.ru/sites/default/files/styles/case_slider_image/public/user/16807/9_8.jpg?itok=0w6K3Bg9
  • https://radiomed.ru/sites/default/files/styles/case_slider_image/public/user/16807/10_6.jpg?itok=WV5ro44h
  • https://radiomed.ru/sites/default/files/styles/case_slider_image/public/user/16807/11_5.jpg?itok=y_o1ol6p
  • https://radiomed.ru/sites/default/files/styles/case_slider_image/public/user/16807/12_5.jpg?itok=ZS_1_jq8
  • https://radiomed.ru/sites/default/files/styles/case_slider_image/public/user/16807/13_4.jpg?itok=3Rqcunej
  • https://radiomed.ru/sites/default/files/styles/case_slider_image/public/user/16807/14_3.jpg?itok=cUZmQfpX
ID:47428
vadim losevichev's picture
Offline
Last seen: 7 years 3 months ago
Joined: 27.01.2013 - 09:45
Posts: 679

Это?

Приложения: 
prezentaciya1.jpg

Non progrĕdi est regrĕdi.

Dima's picture
Offline
Last seen: 7 years 4 months ago
Joined: 05.08.2012 - 17:39
Posts: 2467

vadim losevichev wrote:

Это?

Видимо да, тут лучше видно

Приложения: 
6a.jpg

Терпимость - это когда прощают чужие ошибки; такт - когда не замечают их. (Артур Шницлер)

Almo's picture
Offline
Last seen: 4 hours 10 min ago
Joined: 28.09.2008 - 18:50
Posts: 8286

А, почему "стрессовый", а не банальный перелом?

Dima's picture
Offline
Last seen: 7 years 4 months ago
Joined: 05.08.2012 - 17:39
Posts: 2467

Almo wrote:

А, почему "стрессовый", а не банальный перелом?

Потому что линия не "сквозная" (не разделяет боковую массу на 2 части), нет травмы в анамнезе,а месяц назад начала интенсивно заниматься аэробикой.

Терпимость - это когда прощают чужие ошибки; такт - когда не замечают их. (Артур Шницлер)

Almo's picture
Offline
Last seen: 4 hours 10 min ago
Joined: 28.09.2008 - 18:50
Posts: 8286

Спасибо, теперь понятно.

Helios's picture
Offline
Last seen: 9 months 1 week ago
Joined: 06.08.2010 - 15:16
Posts: 4417

Я бы на ее месте с аэробикой пока "завязала".С  грыжей лучше не прыгать.

По поводу крестца-точно перелом.Если  товарка по аэробике не пнула случайно , то можно о стресс-фрактуре думать.

Nobody's picture
Offline
Last seen: 11 years 2 months ago
Joined: 15.03.2014 - 20:29
Posts: 2013

Dima wrote:

Almo wrote:

А, почему "стрессовый", а не банальный перелом?

Потому что линия не "сквозная" (не разделяет боковую массу на 2 части), нет травмы в анамнезе,а месяц назад начала интенсивно заниматься аэробикой.

Всё-таки не нужно стрессом все переломы теперь величать. Тем паче, что на 7 слайде есть линия, выходящая за кортикал. Перелом случается и не делит на части, а только трещиной ограничивается - кость целая, болит, но функционирует, а перелом в ней лежит и только на снимках себя проецирует.)

"Лишь утратив всё до конца, мы обретаем свободу." F.C.