You are here

ОГК. Кальцинат??

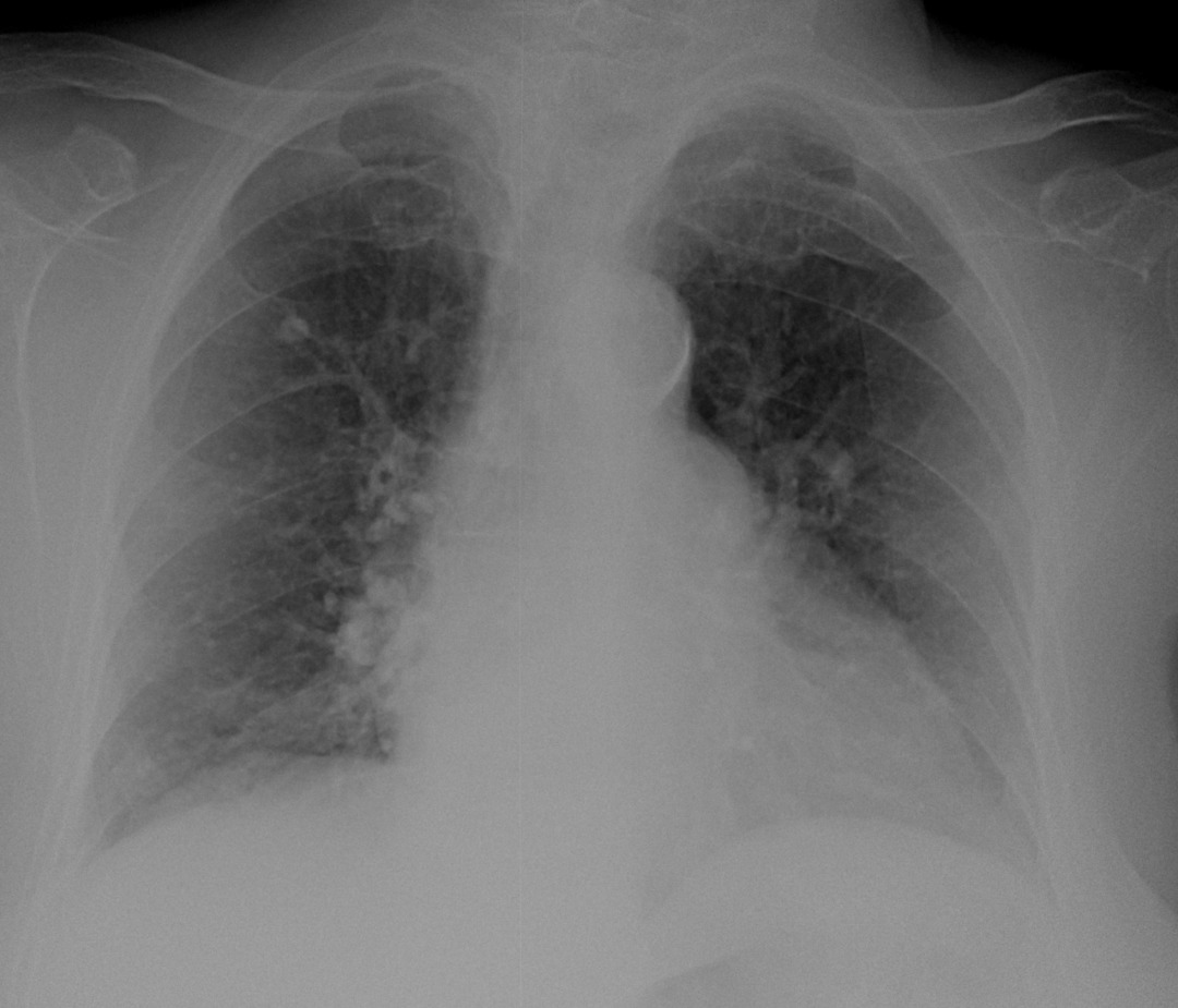
Ж., за 60 лет. На уровне переднего отрезка 2 ребра справа - кальцинат такой крупный?? смущает просветление в центре..

 

 

  • https://radiomed.ru/sites/default/files/styles/case_slider_image/public/user/18943/niiiiiiiiiiii.jpg?itok=PPJlmi7t
ID:47454
maker4ik's picture
Offline
Last seen: 9 years 3 days ago
Joined: 19.10.2011 - 17:49
Posts: 2682

Обычный кальцинат.

Mila85's picture
Offline
Last seen: 3 years 6 months ago
Joined: 15.03.2012 - 16:59
Posts: 1790

Кальцинат, можно архив посмотреть если есть. Еще легочный рисунок усилен за счет сосудистого компонента и митральная конфигурация сердца

НД's picture
Offline
Last seen: 10 years 3 weeks ago
Joined: 25.09.2013 - 21:06
Posts: 319

архива в больнице нет ее. нравится мне, что здесь не только ответят на конкретный вопрос, но и отметят все остальное =))) спасибо вам ))

Дмитрий Волегов's picture
Offline
Last seen: 3 years 11 months ago
Joined: 22.05.2013 - 00:32
Posts: 1148

Плюсую к митральной конфигурации сердца. Думаю, что в легких не кальцинат, а суммация сосудов. На боковом такое предположение лучше подтверждается, и в "окрестностях" ещё есть сосуды.

С Уважением, Дмитрий.

NIL's picture
NIL
Offline
Last seen: 1 week 16 hours ago
Joined: 25.11.2013 - 20:50
Posts: 18217

Дмитрий Волегов wrote:

Плюсую к митральной конфигурации сердца. Думаю, что в легких не кальцинат, а суммация сосудов. На боковом такое предположение лучше подтверждается, и в "окрестностях" ещё есть сосуды.

Всё-таки кальцинат. Он на тень позвоночника проецируется. И в корнях кальцинаты таже есть. 

Приложения: 
niiiiiiiiiiii.jpg


"Слушай всех, прислушивайся к немногим, решай сам".©

Дмитрий Волегов's picture
Offline
Last seen: 3 years 11 months ago
Joined: 22.05.2013 - 00:32
Posts: 1148

В любом случае биопсия не требуется, а вот сердце лечить нужно.

С Уважением, Дмитрий.

koliyris's picture
Offline
Last seen: 3 months 3 weeks ago
Joined: 06.12.2013 - 15:32
Posts: 32

Зправа в S2 кальцинат.

Сергей Кузьминов's picture
Offline
Last seen: 1 year 5 months ago
Joined: 06.10.2012 - 15:51
Posts: 11813

Да кальцинат,кальцинат.

НД's picture
Offline
Last seen: 10 years 3 weeks ago
Joined: 25.09.2013 - 21:06
Posts: 319

спасибо!