You are here

Кругом здоров.

Пол пациента: 
Тип патологии: 
Методы исследования: 

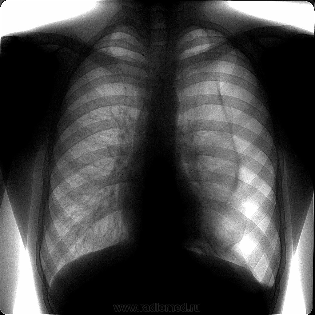
Молодой человек прошел профилактическую флюорографию. Жалоб нет. Не состоял, не болел, не лечился. Припомнил, что две недели назад подскользнулся и упал на пятую точку.

 

 

ID:1492
Цель публикации: 
Грицько Виталий's picture
Offline
Last seen: 9 years 2 months ago
Joined: 05.01.2010 - 14:06
Posts: 1058

Спонтан спонтаном а в синусе что выпот или плевральные? А спонтан красивый.

ElenaG's picture
Offline
Last seen: 15 years 10 months ago
Joined: 23.02.2010 - 23:21
Posts: 69

Все не так:жалоб нет,а должны,в синусе жидкость,а переломов ребер не видно,легкое полностью не спалось,почему?что то мешает?Может булла лопнула от падения?всетаки что то в этом легком есть.А после расправления легкого снимки будут?

Грицько Виталий's picture
Offline
Last seen: 9 years 2 months ago
Joined: 05.01.2010 - 14:06
Posts: 1058

ElenaG wrote:

Все не так:жалоб нет,а должны,в синусе жидкость,а переломов ребер не видно,легкое полностью не спалось,почему?что то мешает?Может булла лопнула от падения?всетаки что то в этом легком есть.А после расправления легкого снимки будут?

Легкое полностью спадаться и не обязано. А выпот, по идее, должен быть с горизонтальным уровнем.

Катенёв Валентин Львович's picture
Offline
Last seen: 7 years 3 months ago
Joined: 22.03.2008 - 22:15
Posts: 54876

У нас такая "чертовина", имела место быть, когда пациентку, после родов выписали, а потом в течение суток находили. Виновница - "подключичка".

lupan's picture
Offline
Last seen: 7 years 1 month ago
Joined: 07.01.2010 - 17:17
Posts: 1406

ElenaG wrote:

А после расправления легкого снимки будут?

Легкое не всегда спадается полностью, все зависит от причины, состояния легкого, наличия спаек и т.д. После расправления легкого снимки обязательны, хотя бы в качестве контроля. Но это сделают в стационаре, я, конечно, поинтересуюсь.

Великое преймущество врача заключается в том, что он не обязан следовать собственным советам. ( А. Кристи)

ElenaG's picture
Offline
Last seen: 15 years 10 months ago
Joined: 23.02.2010 - 23:21
Posts: 69

Было бы очень интересно.Но нас учили,что если легкое полностью не спадается.значит оно порочно,причины разные,даже если просто фиброзные изменения.

stovbav's picture
Offline
Last seen: 2 years 5 months ago
Joined: 20.12.2009 - 17:28
Posts: 7066

О причинах пневмоторакса - как правило - буллезные изменения...Для примера - вчерашня рентгеноскопия...прицельные снимки...да две картинки из интернета...

Приложения: 
Bullu1.jpgBullu2.jpgBullu3.jpgBullu4.jpgbul3.jpgbul1.jpg
Катенёв Валентин Львович's picture
Offline
Last seen: 7 years 3 months ago
Joined: 22.03.2008 - 22:15
Posts: 54876

А, как диагноз (рентгенологический) сформулировали Виктор Григорьевич?

stovbav's picture
Offline
Last seen: 2 years 5 months ago
Joined: 20.12.2009 - 17:28
Posts: 7066

Катенёв Валентин Львович wrote:

А, как диагноз (рентгенологический) сформулировали Витктор Григорьевич?

Крупная булла на верхушке.

Катенёв Валентин Львович's picture
Offline
Last seen: 7 years 3 months ago
Joined: 22.03.2008 - 22:15
Posts: 54876

Красивые случаи.

Евгений Алексеевич's picture
Offline
Last seen: 5 years 2 months ago
Joined: 28.06.2013 - 16:23
Posts: 4122

На снимках еще не видал, хотя у моего контингента они еще маленькие и чаще на КТ визуализируются.

stovbav's picture
Offline
Last seen: 2 years 5 months ago
Joined: 20.12.2009 - 17:28
Posts: 7066

Евгений Алексеевич wrote:

На снимках еще не видал, хотя у моего контингента они еще маленькие и чаще на КТ визуализируются.

Это рядовое дело. Вот, к примеру, сегодняшний случай. По представленому заключению  ФГ за 03.05. 17 года - "возрастная норма".

Только что то сильно гложут сомнения на этот счет.....

Приложения: 
apotpll_1.jpg
Евгений Алексеевич's picture
Offline
Last seen: 5 years 2 months ago
Joined: 28.06.2013 - 16:23
Posts: 4122

Они справа в верхней доли, не? На каких параметрах такие снимки получаете?)))) Растоние пленка-трубка см?, кв? мАс? (или А, и сек?).

stovbav's picture
Offline
Last seen: 2 years 5 months ago
Joined: 20.12.2009 - 17:28
Posts: 7066

Евгений Алексеевич wrote:

Они справа в верхней доли, не? На каких параметрах такие снимки получаете?)))) Растоние пленка-трубка см?, кв? мАс? (или А, и сек?).

1. Да, максимально - верхняя доля справа.

2. 112 кВ; 1,8 мАс; 150 см.

 

 

Евгений Алексеевич's picture
Offline
Last seen: 5 years 2 months ago
Joined: 28.06.2013 - 16:23
Posts: 4122

А минимально где еще есть?))) МСКТ ОГК проводили ему?

stovbav's picture
Offline
Last seen: 2 years 5 months ago
Joined: 20.12.2009 - 17:28
Posts: 7066

Евгений Алексеевич wrote:

А минимально где еще есть?))) МСКТ ОГК проводили ему?

1. Слева на верхушке, справа в средне-медиальном отделе (как мне кажется - есть т.н. "раздвигание" сосудов).

2. КТ - рекомендовали, но это - на усмотрение пульмонолога; как по мне наличие эмфиземы, булл и легочного сердца достаточно, чтобы выставить диагноз ХОБЛ.

aster21's picture
Offline
Last seen: 6 years 10 months ago
Joined: 25.06.2014 - 14:46
Posts: 386

stovbav wrote:

Катенёв Валентин Львович wrote:

А, как диагноз (рентгенологический) сформулировали Витктор Григорьевич?

Крупная булла на верхушке.

красиво