You are here

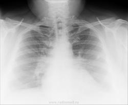
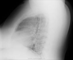
легкие mts?

Женщина, 40 лет. Жалобы на длительный кашель.

  • https://radiomed.ru/sites/default/files/styles/case_slider_image/public/user/19361/34b3b06148f240dea5746654318f6ab4_1.jpg?itok=2yiSCHX6
ID:47540
Mila85's picture
Offline
Last seen: 3 years 2 months ago
Joined: 15.03.2012 - 16:59
Posts: 1790

Снимок мягкий, в легких по мне так чисто. Цепляет правый корень, если есть архив можно посмотреть, какой он был раньше. Если без динамики, то отпустила бы

NIL's picture
NIL
Offline
Last seen: 1 month 1 week ago
Joined: 25.11.2013 - 20:50
Posts: 18208

Сложно судить о патологических изменениях из-за качества рентгенограмм. Возможно, тени, отмеченные Вами на боковом снимке есть и на прямой рентгенограмме ?

Приложения: 
f345f75db142475d8f527997dc4b7670_1.jpg


"Слушай всех, прислушивайся к немногим, решай сам".©

Дмитрий Волегов's picture
Offline
Last seen: 3 years 8 months ago
Joined: 22.05.2013 - 00:32
Posts: 1148

Отмеченные на правом боковом снимке тени, думаю, - легочный рисунок, не мтs. Тень, указанная коллегой NIL, вызывает подозрение и желание левого бока.

С Уважением, Дмитрий.

stovbav's picture
Offline
Last seen: 2 years 4 months ago
Joined: 20.12.2009 - 17:28
Posts: 7066

Она вызывает желание томографии)))

Приложения: 
nkyepryvpm.jpg
Сольвейг's picture
Offline
Last seen: 3 years 7 months ago
Joined: 05.02.2013 - 20:25
Posts: 2239

Саркоидоз легких и ВГЛУ, как рабочую версию.