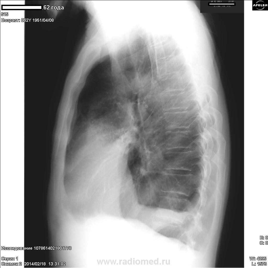
Пациент, 62 года. Жалобы на слабость, отсутствие аппетита, небольшой кашель с мокротой, боли в грудной клетке слева. Болен 5-й день после «промокли ноги на рыбалке». Температура – 37, 8 гр. Р-архива нет. Болел последний раз лет 30 назад. Какие будут мнения?

Бронхоскопию-бы.
Non progrĕdi est regrĕdi.
Здраствуйте,Дмитрий!Может,для начала не спешить,описать пневмонию и плеврит,дождаться контроля?
Может, начать с пневмонии в язычковых сегментах слева, осложнённой гидротораксом. Ателектаз S 7. После противовоспалительнеой терапии - Р-контроль. Картина может измениться.
"Слушай всех, прислушивайся к немногим, решай сам".©
Слева корень какой-то "некакой", ателектаз в язычках. Я уверен, у вас в рукаве томограммы... Флюорографию, видиммо, тоже 30 лет назад проходил?
Терпимость - это когда прощают чужие ошибки; такт - когда не замечают их. (Артур Шницлер)
Я бы онкологию в первую очередь начала исключать.
По поводу флюорографии - совершенно точно. В рукаве ничего нет, отправил лечиться. Контроль будет через 12-14 дней.
С Уважением, Дмитрий.
Здраствуйте, Сергей. Тоже так решил.
С Уважением, Дмитрий.
А куда отправили лечиться,Дмитрий?
Очень надеюсь.
С Уважением, Дмитрий.
Терпимость - это когда прощают чужие ошибки; такт - когда не замечают их. (Артур Шницлер)
Миргалина, вашими словами говорит моя совесть. Буду мучиться две недели.
)). Если ближе к ситуации, то признаки пневмонии позволяют начать с лечения.
С Уважением, Дмитрий.
Да,но ведь пневмония может быть и параканкрозной. А муки совести мы ведь все испытываем. Это-нормально,плохо-когда их нет. Я б домой его не отпустила. Дай Бог, обойдется благополучно.С нетерпением теперь ждать будем.
А мне еще пришла мысль-а нельзя его повторно вызвать?онкология ведь,Дим.
Просьба к Вам,Дмитрий,при контроле порежте линеечкой и покажите.
Да нет, ребят, какая пневмония? В первую очередь, рак
В левом легком нет седьмого сегмента.
Андрей Юрьевич
vadim losevichev. Лечите пневмонию, а бронхоскопию делайте прямо сейчас.
"Слушай всех, прислушивайся к немногим, решай сам".©
Спасибо Всем за помощь. Завтра пациент должен быть в нашей участковой больнице. Анализы, томография, направление к онкологу, бронхоскопия. Когда будут новые данные - выложу.
С Уважением, Дмитрий.
Ну тогда ждем, хотя и так уж ясно.
Возможно, именно поэтому Л.С. в издании 1991 года решил не включать анатомический раздел. Привожу цитату из Атласа топографической анатомии Ю.Л. Золотко, аж 1967 года (если вам так нравятся букинистическая литература).
Андрей Юрьевич
Я тоже всегда считала, что слева нет 7-го сегмента.
У Линденбратена и Наумова в "Медицинской рентгенологии" от1984 есть схемы строения по Ковачу и Жебеку, где слева есть , а в "Методике изучения рентгеновских снимков" -нет.
"Слушай всех, прислушивайся к немногим, решай сам".©
Пациент действительно со вчера лечится в т/о участковой больницы. Сегодня сделаны томограммы.
"Короналы":
С Уважением, Дмитрий.
"Сагитталы":
С Уважением, Дмитрий.
Осумкованный выпот, инфильтрация. Не очень ясно, что там в левом корне - смотрится как образование
Опухоль.Давайте подумаем,как аксиалы на этой штуке делать.
Дмитрий,я так понимаю, что КТ в стационаре нет. А тмг Ваши или нет? Если Ваши-то совет на будущее дам, если захотите,конечно.
Терпимость - это когда прощают чужие ошибки; такт - когда не замечают их. (Артур Шницлер)
Терпимость - это когда прощают чужие ошибки; такт - когда не замечают их. (Артур Шницлер)
Давайте. Ваш опыт - это то, что нужно. Спасибо заранее.
С Уважением, Дмитрий.
Опухоли не нашел. Официального заключения ещё не давал.
С Уважением, Дмитрий.
Ага, ну слушайте тогда,кому интересно. Всегда нужно нацеливаться на зону интереса.В данном случае-это язычки . И нет смысла смотреть все легкие. Во-первых,Вы не центрируете на патологии,следовательно, уже теряете информацию. Потом,зачем же все облучать? Вы же сделали обз.снимок,да еще боковой! Во-вторых, про считываете слои,чтобы не делать лишние и опять же получить максимум информации при минимуме лучей. Поэтому я не раз говорила,что Ваши тмг только добавляют вопросов,а не решают их. Это важно,когда нет КТ.Если чувствуете,что не можете или не позволяет аппарат в серьезных случаях не стесняйтесь направлять в спец клиники(не "отпихон", не "понос"-извините,это отрыжка с других веток, кто в курсе-поймет;кто не в курсе-не обращайте внимания).В данном случае я бы сделала на животе-процесс ближе к передней гр.стенке. Дозу я вижу дали большую-здесь же еще и плеврит. Поэтому,этот случай так и просится на КТ. Есть деструкция,есть воз душная бронхограмма. Будем ждать результатов неспециф.терапии.
Спасибо, Миргалина, за науку. Надеюсь, что всё понял. Про центрацию на язычковые сегменты - понял.
С Уважением, Дмитрий.
На прямых томограммах режимы еще не очень правильно подобраны, левый главный бронх и ветвления не видны, а Вы же центральный рак исключали.
На боковых (убежден, что лучше остаться в классической, а не КТ-шной терминологии) Вы не попали в срез на корень: на 12,5мм четко виден позвоночник, на 10,5 - аорта, а корень латеральнее, т.е. ближе к столу.
Андрей Юрьевич
Терпимость - это когда прощают чужие ошибки; такт - когда не замечают их. (Артур Шницлер)
Рада,если помогла.
Большое спасибо, Андрей Юрьевич.
С Уважением, Дмитрий.
Подумаем, а на сайте нам помогут
))).
С Уважением, Дмитрий.
Коллега, Вы же понимаете, что рак тут, скорее верхнедолевого с переходом на средне, частично нижне.
Скоро все левое уйдет влево...
Ну никак не получаются аксиалы на рентгновском аппарате.Пришлось раздобыть компьютерный томограф(GE).Пытаюсь разобраться на что нажимать.
Сочувствую.
Андрей Юрьевич
Побьют меня тапками.А больше здесь некого.
Вапще не понял.
Андрей Юрьевич
Эт, точно! Как кого бить - так Андрея Юрьевича. И не тапками.
Как там:" провидцев, как и очевидцев, во все века сжигали люди на кострах...."
Прошу прощения Андрей Юрьевич! Вы таким мне показались на сайтах. С уважением, Алкс!
Я про то,что работать некому.А как начну,так ошибки неизбежны.
бояться трудного дела, вполне возможно, вы прекрасно с ним справитесь.
Спасибо,Nikolas!Буду стараться,фирма обещает и обучение и оформление с пенсионным стажем.Дело для меня очень сложное,раньше в кт не работал,стажировался немножко в ОПТД,но там не работал и до сих пор не работает сам томограф,врачи консультируют дайкомы с дисков.
Это плюс к тому рентгену, который уже ведете, или переходите на КТ?
Андрей Юрьевич
Сейчас работаю на рентгене в двух местах.О КТ пока второй день на стадии переговоров с хозяевами открывающегося частного(ещё одного) медцентра.В районе он первый и единственный.Рентгенологов иных кроме меня тоже нет,если не считать пенсионеров.Буду очень признателен за советы.Наверняка многие бывали в подобном положении.
По сравнению с рентгеном, КТ - это каторга.
Андрей Юрьевич