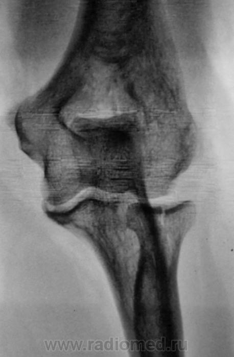
Пол пациента: Женский пол Тип патологии: Травма Область исследования: Скелетно-мышечная система Методы исследования: Rg Просто так..., но травма была. https://radiomed.ru/sites/default/files/styles/case_slider_image/public/user/12/2.201402220009.jpg?itok=LGvPgd58 ID:35743 Mon, 24/02/2014 - 15:21 #1 Сергей Кузьминов Offline Last seen: 1 year 1 month ago Joined: 06.10.2012 - 15:51 Posts: 11813 Внутрисуставной перелом головки лучевой кости.Бывает. Mon, 24/02/2014 - 20:21 #2 И.Бондаренко Offline Last seen: 3 days 16 hours ago Joined: 13.09.2011 - 22:55 Posts: 9208 +1 Mon, 24/02/2014 - 22:57 #3 алкс Offline Last seen: 10 years 2 months ago Joined: 24.10.2012 - 22:55 Posts: 2915 Сергей Кузьминов wrote: Внутрисуставной перелом головки лучевой кости.Бывает. Вообще-то не все так просто. Обычно гемартроз бывает. Кстати - где боковой? Tue, 25/02/2014 - 08:47 #4 Катенёв Валенти... Offline Last seen: 7 years 2 months ago Joined: 22.03.2008 - 22:15 Posts: 54876 алкс wrote: Сергей Кузьминов wrote: Внутрисуставной перелом головки лучевой кости.Бывает. Вообще-то не все так просто. Обычно гемартроз бывает. Кстати - где боковой? Боковой есть (стандарт блюдём). Решил боковой не вставлять так как перелома на нем не видно, вот и ветка названа так - "просто так"...
Внутрисуставной перелом головки лучевой кости.Бывает.
+1
Вообще-то не все так просто. Обычно гемартроз бывает. Кстати - где боковой?
Боковой есть (стандарт блюдём). Решил боковой не вставлять так как перелома на нем не видно, вот и ветка названа так - "просто так"...