Что-то неубедительно с газом, если есть сомнения сделайте ОБП на левом боку, снимаем только правую сторону. Случай 2. Думаю, что возрастное обызвествление плевры. Опять же порекомендую прицельно верхушки.
1-ый случай: анамнез важен, и скопически можно посмотреть .
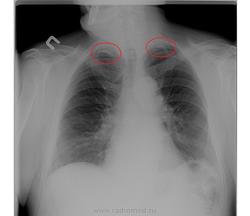
2-ой случай: обызвествлена апикальная плевра, кальцинаты.Это не от возраста, а посттуберкулезные изменения.
1-ый случай: анамнез важен, и скопически можно посмотреть . 2-ой случай: обызвествлена апикальная плевра, кальцинаты.Это не от возраста, а посттуберкулезные изменения.
ИМХО, изменения 1-2 клинического значения не имеют. Как посмотреть просто, то можно.
Ну зачем пугать-ТБ? Вот постТБ-эт можно.И овцы целы, и волки сыты. Красота!
Т.е к терапевту приходит чел. с закл." постубизмененеия обеих верхушек". И терапевт делает что? Правильно: конс . фтизиатра и дальше жаль человека. М. б. РЫ+? И все?
Может быть и Ры+. Так ведь тогда регулярно в гости ходить к фтизиатру, а тут-раз, и отделался. Да у нас и не пристают с таким заключением. Ну -пост- и пост-,- с кем не бывает? Стариков ведь много таких в поликлинике, у кого ж рука повернется ?
Газ есть,рёбра-возрастные.
Что-то неубедительно с газом, если есть сомнения сделайте ОБП на левом боку, снимаем только правую сторону. Случай 2. Думаю, что возрастное обызвествление плевры. Опять же порекомендую прицельно верхушки.
"Слушай всех, прислушивайся к немногим, решай сам".©
Согласен с п.2,газа нет.Видимость газа создает нижний край ребра.
1-ый случай: анамнез важен, и скопически можно посмотреть . 2-ой случай: обызвествлена апикальная плевра, кальцинаты.Это не от возраста, а посттуберкулезные изменения.
плевры? Мнение коллеги С.Кузьминова не следует отвергать.
ИМХО, изменения 1-2 клинического значения не имеют. Как посмотреть просто, то можно.
Ну, Миргалина?! И что:
беркулез?
Ага, старый.
И? Делать-то что рентгенологу?
О! А я заднюю проекцию и не заметила!Конечно же, Миргалина права.
"Слушай всех, прислушивайся к немногим, решай сам".©
Эт понятно, а написать в закл.? ТБ?
Ну зачем пугать-ТБ? Вот постТБ-эт можно.И овцы целы, и волки сыты. Красота!
Т.е к терапевту приходит чел. с закл." постубизмененеия обеих верхушек". И терапевт делает что?
Правильно: конс . фтизиатра и дальше жаль человека. М. б. РЫ+? И все?
Может быть и Ры+. Так ведь тогда регулярно в гости ходить к фтизиатру, а тут-раз, и отделался. Да у нас и не пристают с таким заключением. Ну -пост- и пост-,- с кем не бывает? Стариков ведь много таких в поликлинике, у кого ж рука повернется ?
не видел кальцинацию апикальной плевры. Коллеги поделитесь, кому приходилось видеть подобное.
По первому - газа нет. По второму - мелкие тени обызвествления в верхушках.
С Уважением, Дмитрий.
Не доводилось встречать апикальный фиброз с двух сторон.Может,конечно быть,но склоняюсь,что это в рёбрах.
Я встречала. Только это уж не фиброз, кальций тут.
присоединяюсь ко всем постам Миргалины!
Спасибо