You are here

Пациент направлен на рентгенографию плечевого сустава или "Хвалебное слово лаборантам".

Пол пациента: 
Тип патологии: 
Область исследования: 
Методы исследования: 

Пациент направлен хирургом на рентгенографию плечевого сустава. Травма, вроде-бы была. Хирург, не мудрствуя, направил пациента на рентгенографию. Пациент предъявляет жалобы на боли в области плечевого сустава, руку поднять не может. Врача-рентгенолога, на момент исследования в рентгеновском кабинете не было.

Ваше мнение уважаемые коллеги?

  • https://radiomed.ru/sites/default/files/styles/case_slider_image/public/user/12/12.Tru_...jpg?itok=z_nPpXNe
  • https://radiomed.ru/sites/default/files/styles/case_slider_image/public/user/12/13.Tru_...JPG?itok=L4sA6wYJ
  • https://radiomed.ru/sites/default/files/styles/case_slider_image/public/user/12/14.Tru_...jpg?itok=ioN486bc
  • https://radiomed.ru/sites/default/files/styles/case_slider_image/public/user/12/1.Tru_...JPG?itok=8v88LSwz
  • https://radiomed.ru/sites/default/files/styles/case_slider_image/public/user/12/2.Tru_...JPG?itok=V4tAKSaZ
  • https://radiomed.ru/sites/default/files/styles/case_slider_image/public/user/12/3.Tru_...jpg?itok=2b1-agiO
  • https://radiomed.ru/sites/default/files/styles/case_slider_image/public/user/12/4.Tru_...JPG?itok=hG7qIHk7
  • https://radiomed.ru/sites/default/files/styles/case_slider_image/public/user/12/5.Tru_.._0.JPG?itok=YnQdU_Gt
  • https://radiomed.ru/sites/default/files/styles/case_slider_image/public/user/12/6.Tru_.._0.jpg?itok=awx1ER5p
ID:1622
tatyana's picture
Offline
Last seen: 4 years 3 months ago
Joined: 24.06.2009 - 08:33
Posts: 2090

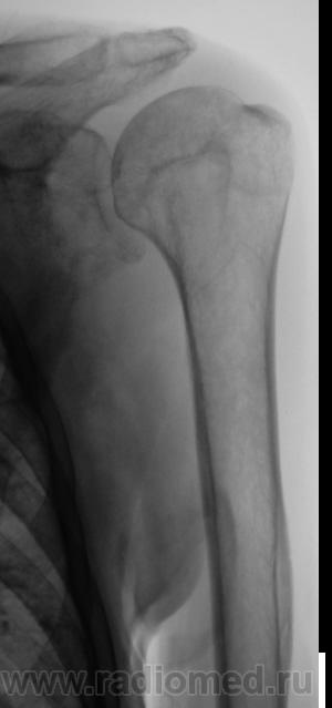
Валентин Львович, а с суставной впадиной лопатки все хорошо? У меня ее структура на подозрении...

"самоуверенность дилетантов - предмет зависти профессионалов"

Катенёв Валентин Львович's picture
Offline
Last seen: 7 years 2 months ago
Joined: 22.03.2008 - 22:15
Posts: 54876

Вы совершенно правы Татьяна Валентиновна. Я намеренно "обрезал" снимок, произведенный лаборантами, дабы акцентировать внимание на латеральном угле лопатки. Суставная поверхность лопатки и шейка внушают серьёзные подозрения, и с учетом "пороза" и структуры.

Катенёв Валентин Львович's picture
Offline
Last seen: 7 years 2 months ago
Joined: 22.03.2008 - 22:15
Posts: 54876

Но, я неоднократно повторяю, что работаю с очень хорошими лаборантами, и они прекрасно понимают, да и убедились, что если написано - рентгенография голеностопного сустава, то зачастую "написанное" не есть "то, что надо". Так и в данном случае лаборанты "захватили побольше", и дай бог, им здоровья и всего самого наилучшего.

Катенёв Валентин Львович's picture
Offline
Last seen: 7 years 2 months ago
Joined: 22.03.2008 - 22:15
Posts: 54876

Снимок "без обрезания" - ниже. Врача-рентгенолога в кабинете не было, лаборанты, оценив его, начали "пытать" пациента. Оказалось, что флюорографию органов грудной полости, этот пациент, "проходил" лет 5 тому. Ну, и лаборанты приступили к стандартному исследованию органов грудной полости.


Приложения: 
1._Ne_bylo.JPG2._Ne_bylo.jpg
v1tal's picture
Offline
Last seen: 4 years 10 months ago
Joined: 07.06.2008 - 19:41
Posts: 1779

Ух, как всё запущено. А пациента больше не вернуть?

"Знаешь, у некоторых врачей есть комплекс мессии — им необходимо спасать мир. А у тебя комплекс Рубика — тебе необходимо решать головоломки."

tatyana's picture
Offline
Last seen: 4 years 3 months ago
Joined: 24.06.2009 - 08:33
Posts: 2090

ничего себе змеиный супчик...

"самоуверенность дилетантов - предмет зависти профессионалов"

Катенёв Валентин Львович's picture
Offline
Last seen: 7 years 2 months ago
Joined: 22.03.2008 - 22:15
Posts: 54876

v1tal wrote:

Ух, как всё запущено. А пациента больше не вернуть?

 

В каком плане "не вернуть"?

v1tal's picture
Offline
Last seen: 4 years 10 months ago
Joined: 07.06.2008 - 19:41
Posts: 1779

Ой,  извеняюсь Валентин Львович, посты быстро проглядываю, так значит обзорную ОГП сняли?

"Знаешь, у некоторых врачей есть комплекс мессии — им необходимо спасать мир. А у тебя комплекс Рубика — тебе необходимо решать головоломки."

Катенёв Валентин Львович's picture
Offline
Last seen: 7 years 2 months ago
Joined: 22.03.2008 - 22:15
Posts: 54876

Лаборанты проводили исследование согласно стандарту, хорошие лаборанты, а это значит, что рентгенологически пациент будет "добит", и будет передан по назначению, даже без врача-рентгенолога. Когда я появился в кабинет исследование было закончено.

Иллюстрации ниже.

Катенёв Валентин Львович's picture
Offline
Last seen: 7 years 2 months ago
Joined: 22.03.2008 - 22:15
Posts: 54876

Рентгенограммы в стандартных проекциях - прямая и боковая.

 

Приложения: 
1..Obz_..JPG2..Obz_..JPG3..Obz_..jpg4..Obz_..jpg5..Obz_..JPG6..Obz_..JPG7..Obz_..jpg8..Obz_..jpg9..Obz_.jpg10..Obz_.jpg
Катенёв Валентин Львович's picture
Offline
Last seen: 7 years 2 months ago
Joined: 22.03.2008 - 22:15
Posts: 54876

Первый срез.

 

Приложения: 
1..1_srez...JPG2..1_srez...JPG3..1_srez...JPG4..1_srez...jpg
Катенёв Валентин Львович's picture
Offline
Last seen: 7 years 2 months ago
Joined: 22.03.2008 - 22:15
Posts: 54876

Второй срез.

 

Приложения: 
1..2_Srez...JPG2..2_Srez...JPG
Катенёв Валентин Львович's picture
Offline
Last seen: 7 years 2 months ago
Joined: 22.03.2008 - 22:15
Posts: 54876

Третий срез.

 

Приложения: 
1..3_Srez...JPG2..3_Srez...jpg3..3_Srez...JPG4..3_Srez...jpg5..3_Srez...JPG6..3_Srez...jpg7..3_Srez...jpg
Катенёв Валентин Львович's picture
Offline
Last seen: 7 years 2 months ago
Joined: 22.03.2008 - 22:15
Posts: 54876

Четвертый срез.

 

Приложения: 
1..4_Srez...JPG2..4_Srez...JPG3..4_Srez...JPG4..4_Srez...jpg
Катенёв Валентин Львович's picture
Offline
Last seen: 7 years 2 months ago
Joined: 22.03.2008 - 22:15
Posts: 54876

На этом срезе, исследование было закончено.

В.Б. Серов's picture
Offline
Last seen: 11 hours 25 min ago
Joined: 16.07.2008 - 10:15
Posts: 1369

Подтверждается моя версия: при боли в пл. суст. ищи (исключи в первую очередь)  брахиоплекситРву и мечу! В данном случае найдена его первопричина.

Quote:
пациент будет "добит"

Quote:
............................."Треугольник будет выпит.
Будь он параллелепипед, будь он круг, едрена вошь!"
Если серьезно, лаборант имеет полное право и
должен довести исследование до логического конца, дополнить его недостающими звеньями.

Зри в корень!

Петрович's picture
Offline
Last seen: 7 years 4 months ago
Joined: 22.03.2009 - 01:13
Posts: 3908

При таких загонщиках этот махровый рак лёгкого – "лёгкая добыча рентгенолога". Со всей его свитой.

Неоднозначно всё

Катенёв Валентин Львович's picture
Offline
Last seen: 7 years 2 months ago
Joined: 22.03.2008 - 22:15
Posts: 54876

Петрович wrote:

 

При таких загонщиках этот махровый рак лёгкого – "лёгкая добыча рентгенолога". Со всей его свитой.

 

 

Вы правы Петрович!

Но сейчас наши руководители разводят "ручонками", решая вопрос, а как "ОН" такое количество лет не проходил флюорографию, ведь по отчетам - "охват хороший"...

Наверно, "захват" был не состоятельный. Из года в год смотрим одних и тех-же.

В.Б. Серов's picture
Offline
Last seen: 11 hours 25 min ago
Joined: 16.07.2008 - 10:15
Posts: 1369

Катенёв Валентин Львович wrote:

...ведь по отчетам - "охват хороший"...

Вечная тема, хорший охват не означает полный, всегда остаются белые пятна, абсолюта достичь невозможно.

Зри в корень!

Катенёв Валентин Львович's picture
Offline
Last seen: 7 years 2 months ago
Joined: 22.03.2008 - 22:15
Posts: 54876

Есть и еще один аспект, когда мы стараемся "вырвавть" достойную аппаратуру, провести дообследование вовремя и пр. и т.п. но рутинные организационные мероприятия, сводят на "НЕТ" все усилия.