You are here

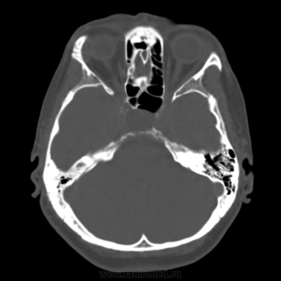
образование средней черепной ямки справа, образование турецкого седла?

Пол пациента: 
Область исследования: 
Методы исследования: 

женщина. 58 лет. жалобы на головные боли. саму пациентку не видел. в карте о вмешательствах на черепе ничего нет. что скажете по данным снимкам? 

  • https://radiomed.ru/sites/default/files/styles/case_slider_image/public/user/17661/2a00001_0.jpg?itok=R-Ct57wm
  • https://radiomed.ru/sites/default/files/styles/case_slider_image/public/user/17661/3a00001_0.jpg?itok=lobrY3xI
  • https://radiomed.ru/sites/default/files/styles/case_slider_image/public/user/17661/4a00001.jpg?itok=FEwZa4l-
  • https://radiomed.ru/sites/default/files/styles/case_slider_image/public/user/17661/5a00001.jpg?itok=rNdCA0Hh
  • https://radiomed.ru/sites/default/files/styles/case_slider_image/public/user/17661/6a00001_0.jpg?itok=tFVJBwuq
  • https://radiomed.ru/sites/default/files/styles/case_slider_image/public/user/17661/7a00001.jpg?itok=w87y4RNO
  • https://radiomed.ru/sites/default/files/styles/case_slider_image/public/user/17661/8a00001_0.jpg?itok=g5AFO-9f
  • https://radiomed.ru/sites/default/files/styles/case_slider_image/public/user/17661/9a00001.jpg?itok=A0vx3PP8
  • https://radiomed.ru/sites/default/files/styles/case_slider_image/public/user/17661/10a00001_0.jpg?itok=kOC5aRmQ
  • https://radiomed.ru/sites/default/files/styles/case_slider_image/public/user/17661/11a00001.jpg?itok=YNGr-6E8
ID:36063
ЛГ's picture
Offline
Last seen: 8 years 11 months ago
Joined: 06.01.2010 - 12:31
Posts: 3523

smart wrote:

образование средней черепной ямки справа, образование турецкого седла?

 

Да.

smart's picture
Offline
Last seen: 8 years 7 months ago
Joined: 12.01.2013 - 20:07
Posts: 142

спасибо