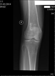
Как можно расценить обызвествление в метадиафизе бедренной кости? За счёт какого субстрата это обызвествление?Обызвествление костного мозга? Или что-то другое?
Одним из патогенетических проявлений РА является васкулит. Что может объяснять наличие костных инфарктов у этих больных. Может есть у кого доказательные данные по этому вопросу? Я имею в виду публикации на тему - инфаркт костного мозга и РА.
Уважаемые коллеги! Версии высказываются самые разные, как и в этом случаеhttp://www.radiomed.ru/cases/koleno-0 .Может быть кто-нибудь обладает достаточным опытом и поделится знаниями, как всё же диффиренцировать инфаркт костного мозга, обызвествление,энхондрому и т.п.Буду очень благодарна.Хоть в моей личной практике внутрикостное обызвествление встретилось единожды, но хотелось бы просветиться. Мало ли что ещё в жизни увидеть придётся. Хочется быть во всеоружии.
Ну да, инфаркт миокарда и мозга случился у отечественных рентгенологов после зарубежных публикаций на тему одноимённой костной патологии, которая, в свою очередь, получила развитие в последние десятки лет после обследований на КТ, МРТ и биопсии. У меня, например, такой возможности до сих пор нет. Не проще ли мне писать просто участок обызвествления (в случае данной ветки могут быть и участки "пощажения от остеопороза" из-за крепления связок, например. В костно-мозговом канале - это по ссылке коллеги NIL из поста выше. Но не суть важно). Проще. Выполняем свою классическую задачу: описываем тенеобразования, отделем добро и зло, в случае необходимости (незнание или неумение достоверно объяснить скиалогическую картину не всегда являются такой необходимостью) направляем на КТ, МРТ, биопсию. Публикуем на сайте разные случаи, находим в чём-то подтверждение коллег или не находим вообще ответа - не страшно. Мы врачи, а не боги.
Часто рентгенолог лучше других может видеть нозологию процесса, но изображение все равно не может быть гистологическим. В диагнозе чаще не гистология имеет решающее значение, а клиника.
Может не всякая "фигнюшка" заслуживает бессоных ночей?
Уважаемые коллеги! Версии высказываются самые разные, как и в этом случаеhttp://www.radiomed.ru/cases/koleno-0 .Может быть кто-нибудь обладает достаточным опытом и поделится знаниями, как всё же диффиренцировать инфаркт костного мозга, обызвествление,энхондрому и т.п.Буду очень благодарна.Хоть в моей личной практике внутрикостное обызвествление встретилось единожды, но хотелось бы просветиться. Мало ли что ещё в жизни увидеть придётся. Хочется быть во всеоружии.
Уважаемая Татьяна Валентиновна, приводила множество примеров, дифдиагноз между инфарктом кости, энхондромой и хондросаркомой зачастую невозможен.
Терпимость - это когда прощают чужие ошибки; такт - когда не замечают их. (Артур Шницлер)
Как можно расценить обызвествление в метадиафизе бедренной кости? За счёт какого субстрата это обызвествление?Обызвествление костного мозга? Или что-то другое?
Думаю кальцинация костного мозга, после травмы такое бывает
Не нам судить…
Более вероятно, последствия инфаркта кости
Терпимость - это когда прощают чужие ошибки; такт - когда не замечают их. (Артур Шницлер)
+1
http://www.radiomed.ru/publications/kss-infarkt-kostnogo-mozga-infarkt-kosti
+ инфаркт к.м.
Одним из патогенетических проявлений РА является васкулит. Что может объяснять наличие костных инфарктов у этих больных. Может есть у кого доказательные данные по этому вопросу? Я имею в виду публикации на тему - инфаркт костного мозга и РА.
С Уважением, Дмитрий.
Никто и энхондрому не исключит.
"Слушай всех, прислушивайся к немногим, решай сам".©
Ну да, инфаркт миокарда и мозга случился у отечественных рентгенологов после зарубежных публикаций на тему одноимённой костной патологии, которая, в свою очередь, получила развитие в последние десятки лет после обследований на КТ, МРТ и биопсии. У меня, например, такой возможности до сих пор нет. Не проще ли мне писать просто участок обызвествления (в случае данной ветки могут быть и участки "пощажения от остеопороза" из-за крепления связок, например. В костно-мозговом канале - это по ссылке коллеги NIL из поста выше. Но не суть важно). Проще. Выполняем свою классическую задачу: описываем тенеобразования, отделем добро и зло, в случае необходимости (незнание или неумение достоверно объяснить скиалогическую картину не всегда являются такой необходимостью) направляем на КТ, МРТ, биопсию. Публикуем на сайте разные случаи, находим в чём-то подтверждение коллег или не находим вообще ответа - не страшно. Мы врачи, а не боги.
Часто рентгенолог лучше других может видеть нозологию процесса, но изображение все равно не может быть гистологическим. В диагнозе чаще не гистология имеет решающее значение, а клиника.
Может не всякая "фигнюшка" заслуживает бессоных ночей?
С Уважением, Дмитрий.
Терпимость - это когда прощают чужие ошибки; такт - когда не замечают их. (Артур Шницлер)