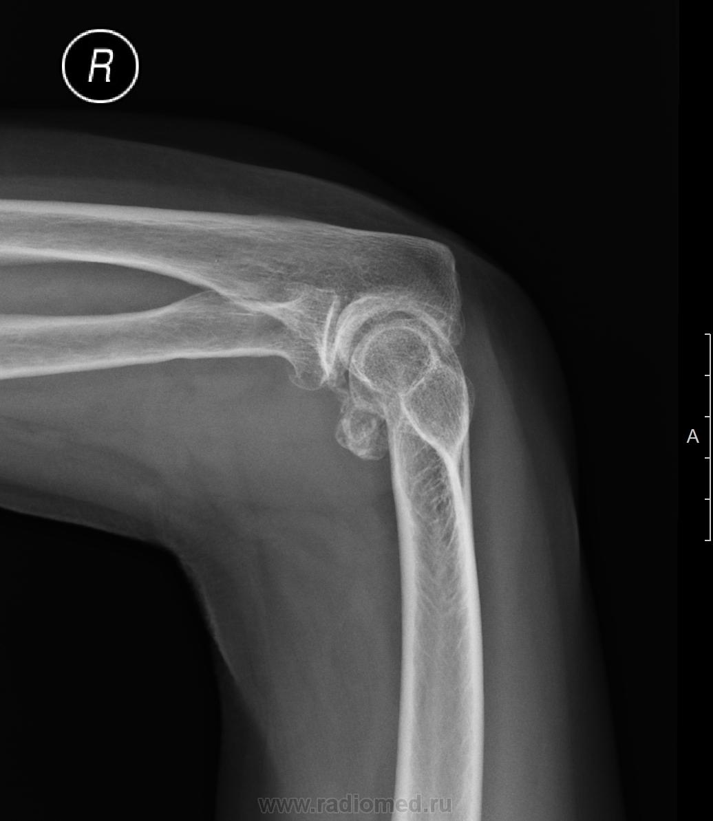
Пол пациента: Женский пол Тип патологии: Метаболическое заболевание Область исследования: Скелетно-мышечная система Методы исследования: Rg Какая природа участка обызвествления в параартикулярных тканях? Может быть ли вызвать травма такое изменение? https://radiomed.ru/sites/default/files/styles/case_slider_image/public/user/19785/f_elbow_20140324_170729.jpg?itok=088WJYc_ ID:36367 Mon, 24/03/2014 - 17:04 #1 ren_gen Offline Last seen: 11 years 6 months ago Joined: 30.10.2010 - 19:17 Posts: 285 это все что у вас есть? снимок в боковой проекции перевернутый вверх ногами?! Mon, 24/03/2014 - 17:11 #2 перчик Offline Last seen: 6 months 2 days ago Joined: 06.03.2014 - 12:16 Posts: 721 Пардон)) добавил еще проекцию Mon, 24/03/2014 - 20:43 #3 И.Бондаренко Offline Last seen: 2 days 21 hours ago Joined: 13.09.2011 - 22:55 Posts: 9214 Написал бы хондроматоз. Mon, 24/03/2014 - 21:10 #4 Дмитрий Волегов Offline Last seen: 3 years 11 months ago Joined: 22.05.2013 - 00:32 Posts: 1148 перчик wrote: Какая природа участка обызвествления в параартикулярных тканях? Трудно сказать. Природа затемнения - обызвествление. Обызвествляться может, наверное, всё. Но чаще хрящевая ткань. Может постравматический артроз. перчик wrote: Может быть ли вызвать травма такое изменение? Может. Старая травма. С Уважением, Дмитрий.
это все что у вас есть? снимок в боковой проекции перевернутый вверх ногами?!
Пардон)) добавил еще проекцию
Написал бы хондроматоз.
Трудно сказать. Природа затемнения - обызвествление. Обызвествляться может, наверное, всё. Но чаще хрящевая ткань.
Может постравматический артроз.
Может. Старая травма.
С Уважением, Дмитрий.