Здравствуйте, уважаемые коллеги. Предлагаю к совместному обсуждению законченный случай. Диагноз уже выствлен, пациентка лечится. Сначала выложу снимки ОГК, потом снимки и DICOM КТ. Случай очень любопытный :)
Пациентка 42 лет, поступила с клиникой дыхательной недостаточности, непродуктивным сухим кашлем, субфебрильной температурой с течение длительного времени (затрудлилась уточнить). Анамнез девственно чист. Сделаны снимки ОГК в приемном покое (обзорная и левая боковая) которые вместе с увеличенными фрагментами представляю вашему вниманию.
Рентгенолог расценила изменения как участки деструкции в верхушках обоих легких, участки пневмофиброза в нижних отделах с 2х сторон, осумкованный плевродиафрагмальный выпот справа. Рекомендовала консультацию фтизиатра.
Фтизиатр анамнеза докопаться не смог, не наблюдалась, контакта не имела. Мокроту взял, в работе. Рекомендовал КТ.
Госпитализирована в пульмо отделение. Через 5 дней после госпитализации сделано КТ. (выложу фото и дайкомы завтра)
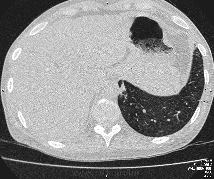
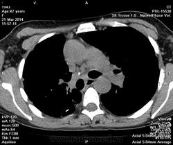
Как и обещала публикую КТ ОГК.
ссылка на DICOM - http://yadi.sk/d/MS8By9hPLKfhh
фото
- https://radiomed.ru/sites/default/files/styles/case_slider_image/public/user/10616/2_0.jpg?itok=u_Fk71_a
- https://radiomed.ru/sites/default/files/styles/case_slider_image/public/user/10616/3_0.jpg?itok=T6SuKLv5
- https://radiomed.ru/sites/default/files/styles/case_slider_image/public/user/10616/4_0.jpg?itok=w-vlhmgb
- https://radiomed.ru/sites/default/files/styles/case_slider_image/public/user/10616/5_0.jpg?itok=XMj3uHgw
- https://radiomed.ru/sites/default/files/styles/case_slider_image/public/user/10616/6_0.jpg?itok=R7XStNVq
- https://radiomed.ru/sites/default/files/styles/case_slider_image/public/user/10616/7_0.jpg?itok=kH0173V3
- https://radiomed.ru/sites/default/files/styles/case_slider_image/public/user/10616/1395425287.296.jpg?itok=AKzt0-jd
- https://radiomed.ru/sites/default/files/styles/case_slider_image/public/user/10616/1395481849.328.jpg?itok=I38tk4Yy
- https://radiomed.ru/sites/default/files/styles/case_slider_image/public/user/10616/1395481950.531.jpg?itok=t4h25ZUQ
- https://radiomed.ru/sites/default/files/styles/case_slider_image/public/user/10616/1395481954.406.jpg?itok=1f2uWHbp
- https://radiomed.ru/sites/default/files/styles/case_slider_image/public/user/10616/1395721092.687.jpg?itok=rrFmcKzm
- https://radiomed.ru/sites/default/files/styles/case_slider_image/public/user/10616/1395721096.734.jpg?itok=P_SWbdcR
- https://radiomed.ru/sites/default/files/styles/case_slider_image/public/user/10616/1395721101.125.jpg?itok=z4WqgWoW
- https://radiomed.ru/sites/default/files/styles/case_slider_image/public/user/10616/1395721104.968.jpg?itok=GSeDvIou
- https://radiomed.ru/sites/default/files/styles/case_slider_image/public/user/10616/1395721108.984.jpg?itok=sh9WBMvI
- https://radiomed.ru/sites/default/files/styles/case_slider_image/public/user/10616/1395721112.828.jpg?itok=TbpEsf47
- https://radiomed.ru/sites/default/files/styles/case_slider_image/public/user/10616/1395721117.375.jpg?itok=Mey1Qs1m
- https://radiomed.ru/sites/default/files/styles/case_slider_image/public/user/10616/1395721121.640.jpg?itok=FgMAQnKM
- https://radiomed.ru/sites/default/files/styles/case_slider_image/public/user/10616/1395721126.406.jpg?itok=hsKKPkXI
- https://radiomed.ru/sites/default/files/styles/case_slider_image/public/user/10616/1395721129.968.jpg?itok=RXyRC6ou
- https://radiomed.ru/sites/default/files/styles/case_slider_image/public/user/10616/1395721133.750.jpg?itok=dm17O2Oz
- https://radiomed.ru/sites/default/files/styles/case_slider_image/public/user/10616/1395721137.750.jpg?itok=HxvwvVZw
- https://radiomed.ru/sites/default/files/styles/case_slider_image/public/user/10616/1395721141.390.jpg?itok=7XRnMADF
- https://radiomed.ru/sites/default/files/styles/case_slider_image/public/user/10616/1395721144.906.jpg?itok=ukfL13M3
- https://radiomed.ru/sites/default/files/styles/case_slider_image/public/user/10616/1395721148.906.jpg?itok=ObBHZ2TF
- https://radiomed.ru/sites/default/files/styles/case_slider_image/public/user/10616/1395721153.468.jpg?itok=vVECL4bv
- https://radiomed.ru/sites/default/files/styles/case_slider_image/public/user/10616/1395721157.265.jpg?itok=Cqq7cUp_
- https://radiomed.ru/sites/default/files/styles/case_slider_image/public/user/10616/1395721161.203.jpg?itok=vVskgnA7
- https://radiomed.ru/sites/default/files/styles/case_slider_image/public/user/10616/1395721166.906.jpg?itok=yITRcKI_
- https://radiomed.ru/sites/default/files/styles/case_slider_image/public/user/10616/1395721166.906_0.jpg?itok=_EdsJ1wU
- https://radiomed.ru/sites/default/files/styles/case_slider_image/public/user/10616/1395721175.937.jpg?itok=POY1Z9_z
- https://radiomed.ru/sites/default/files/styles/case_slider_image/public/user/10616/1395721179.531.jpg?itok=z79MdZU_
- https://radiomed.ru/sites/default/files/styles/case_slider_image/public/user/10616/1395721239.046.jpg?itok=_ULvgCaB
- https://radiomed.ru/sites/default/files/styles/case_slider_image/public/user/10616/1395721271.750.jpg?itok=h6U9rB7W
- https://radiomed.ru/sites/default/files/styles/case_slider_image/public/user/10616/1395721319.218.jpg?itok=5eNzE-Hc
- https://radiomed.ru/sites/default/files/styles/case_slider_image/public/user/10616/1395721369.156.jpg?itok=j6fxJJzA
что-то не так, пошли ли изображения?
"There is no teacher, who can teach us anything new. He just can help us to remember the things we always knew" (c) Enigma.
Картинки есть. На фоне старого туб.процесса с плотными очагами, кальцинатами и верхушечным фиброзом, есть смещением средостения вправо, высокое стояние купола справа, спайки в синусе или немного воды справа- затрудняюсь сказать. Корни деформированы, расширены. На границе S8 и 10 слева "шаровидная" инфильтрация. Рисунок деформирован, множество неясных очагов, какая-то общая загрязненность легких. Когда не знаешь, что - пиши саркоидоз...
"Предоставляя весь смысл и совершенство в распоряжение одного только Бога, вы избавляете себя от бездны хлопот." Джон Уитборн.
Ясно. Спасибо) Есть ли деструкция? Есть ли отсев?
"There is no teacher, who can teach us anything new. He just can help us to remember the things we always knew" (c) Enigma.
Не знаю. 1-е ребра - скорее скиалогия, я люблю в таких случаях задней укладкой дополнять. Отсев при таком фиброзе и объёмном уменьшении я всегда плохо различаю.
"Предоставляя весь смысл и совершенство в распоряжение одного только Бога, вы избавляете себя от бездны хлопот." Джон Уитборн.
Не уверена, что все можно объяснить туберкулезом. Правое легкое кажется каким-то маленьким, нет ли какого врожденного заболевания?
Нет, врожденной патологии у нее нет. А чем еще можно было бы объяснить уменьшение объема нижней доли справа? не похоже ли это на то что делается в верхушках?
Задний прямой снимок может и помог бы разобраться... Жалко еще что правый бок не снимали.
"There is no teacher, who can teach us anything new. He just can help us to remember the things we always knew" (c) Enigma.
На мой взгляд, здесь имеется плевроцирроз в/д справа( слева тоже есть, но менее выраженный) с полостными образованиями ("cv", скорей всего в обоих легких), что и стало причиной спонтанного пневмоторакса(и/или пневмомедиастинума слева)в задних отделах. Цирроз средней доли.Насчет жидкости трудно сказать ( эксс. правосторонний плеврит был точно. Сейчас-то ли спайки, то ли частично осумк. ж-ть). Трахеомегалия. Случай запущенный, "старый" . Подозреваю ФКТ об/легких.локализация полостей деструкции - в/доли и шестерки( может,только справа). Ну еще очаги, в т.ч. кальцинированные( по размерам,возможно,-мелкие кальцинированные туберкуломы.-КТ рассудит.ИМХО, конечно.Интересный случай.
"Когда не знаешь, что - пиши саркоидоз..." А я всегда пишу онко.
Уменьшен объем легкого, смещение средостения, про плеврит - ну м.б. как осложнение онкопатологии. По характеру множественных изменений, если нет ни анамнеза, ни предидущих фл.( ну появился чел. из ниоткуда) не искл. бы МТС.
"Когда не знаешь.." А когда знаешь? Здесь слишком много фиброзных( цирротических) изменений, поэтому думаю о своем..., таком наболевшем! Завтра узнаем!
Согласна, что это фиброзные изменения в легких в исходе чего-то. На выбор при фиброзных изменениях в верхних отделах литература предлагает туберкулез, саркоидоз, муковисцидоз и б-нь Бехтерева. Смущает смешение средостения и картина справа, возможно на фиброзные изменения наложилось нечто онкологическое с ателектазом..
Согласен с группой фиброзирующих альвеолитов. Похоже асбестоз.
Плевральный выпот при интерстициальных болезнях легких (ИБЛ) наиболее часто наблюдается при ревматических болезнях, лекарственном поражении легких, асбестозе, лейомиоматозе.
Однако при асбестозе бывает ещё мезотелиома.
С Уважением, Дмитрий.
Да нет, ребята! Нет тут ни альвеолитов, ни асбестоза. Гораздо проще все. Завтра увидим.
Все правда проще, и с тем неожиданнее)
Дама эта - "партизанка", у нас таких достаточно много проходит, правда в основном это мигранты с такими запущенными изменениями.
Еще версии относительно того что в нижних долях делается? и в средних отделах слева (тройка, языки)?
"There is no teacher, who can teach us anything new. He just can help us to remember the things we always knew" (c) Enigma.
Да полости распада там.
Ну еще буллезная болезнь м.б.
Т.е. вы поддерживаете мнение нашего рентгенолога о деструкции в верхушках и считаете что такой же процесс в средних отделах справа.
Очеь интересно было бы мнение старожилов сайта послушать, особенно до публикации КТ. Валентина Львовича, Nikolas'a, stovbav...
"There is no teacher, who can teach us anything new. He just can help us to remember the things we always knew" (c) Enigma.
Тогда придержите КТ пару-тройку дней))
https://www.youtube.com/channel/UCBGxoBUOqUT_bFhSeUgtWEw
Ну если варианты закончились, тогда вот что-Послеоперационные изменения только еще могут так выглядеть, причем, опять же-"несвежие".Эта мысль пришла первой,но озвучиваю последней.Странно, что не видно швов. Обычно они- металлические, их видно даже на фоне таких изменений как фиброз, плевральные наслоения, полостные образования, очаги.
Миргалина, теперь встречаются оперированные пациенты, у которых не видно швов.
"Слушай всех, прислушивайся к немногим, решай сам".©
Я тоже изначально швы искала - не нашла.
Итог- tbc цирротическая форма, очаги отсева в обоих легких (больше справа). много очагов Гона. Деструкции не выявлено, как и плеврита справа. Плевродиафоагмальные спайки (уже даже шварты).
Все что казалось деструкцией - оказалось тракционными цилиндрическими и мешотчатыми бронхоэтазами.
Операций, аномалий развития не было.
"There is no teacher, who can teach us anything new. He just can help us to remember the things we always knew" (c) Enigma.
Т.е. мешотчатые и пр. от ТБ? А ТБ клинически подтвержден? Ну там тесты всякие или скопически или как. Потому, что больше, как раз за врожденные изменения легких картинки КТ.
Фтизиатр забрал больную в профильное учреждение, подтвердил что больная "его". Результатов посева правда не не знаю.
Тракционные бронхоэктазы типичны для цирротической формы. У Тюрина подробно это описано.
Множество отсевов и очаги Гона везде, кальцинаты во ВГЛУ говорят за совсем не свежий специфический туберкулезный процесс.
"There is no teacher, who can teach us anything new. He just can help us to remember the things we always knew" (c) Enigma.
В нижней доле слева всё ок?
"Предоставляя весь смысл и совершенство в распоряжение одного только Бога, вы избавляете себя от бездны хлопот." Джон Уитборн.
много отсевов, больше в шестерке и очаги Гона. Относительно нижней доли справа ей повезло больше.
"There is no teacher, who can teach us anything new. He just can help us to remember the things we always knew" (c) Enigma.
Ок, спасибо!
"Предоставляя весь смысл и совершенство в распоряжение одного только Бога, вы избавляете себя от бездны хлопот." Джон Уитборн.