You are here

ОГК. Два диагноза

Пол пациента: 
Методы исследования: 

 

  

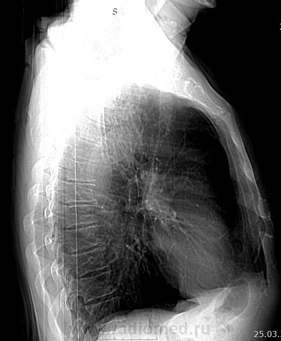
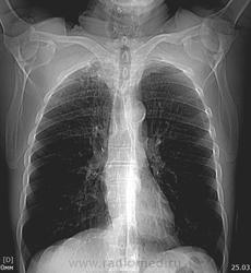
65 лет. Вич - отрицательный. Выявлен при проверочной флюорографии. Последняя флюорография в 2011 г. На контрольное обследование пациента не вызывали. Исходных данных не имею. Жалоб нет. Гемограмма в норме. Выполнена  КТ  органов дыхания. Предполагают туберкулёму, периферический рак? Прошу коллег высказать мнение о возможной природе выявленных изменений. Очень жду. C уважением Nikolas. Ссылка на дайком

 http://files.mail.ru/5026D79B58264EEFBAA86E5A47BEA0B7

  • https://radiomed.ru/sites/default/files/styles/case_slider_image/public/user/7898/risunok_2..jpg?itok=fiQ8KbDd
ID:36499
Chrizalid's picture
Offline
Last seen: 2 years 2 months ago
Joined: 04.03.2011 - 22:12
Posts: 22

Судя по КТ-картине в S1 имеется туберкулема прилегающая к костальной плевре диаметром 2,5см, а вокруг уже имеются мелкие очаги отсева в S1,2 сегментах...

..."Разруха не в стране, разруха в головах"...

И.Бондаренко's picture
Offline
Last seen: 3 days 18 hours ago
Joined: 13.09.2011 - 22:55
Posts: 9214

Не очень хорошее качество.

Дмитрий Волегов's picture
Offline
Last seen: 3 years 12 months ago
Joined: 22.05.2013 - 00:32
Posts: 1148

И.Бондаренко wrote:

Не очень хорошее качество.

Можно посмотреть представленное КТ-исследование.

С Уважением, Дмитрий.

Андрей Юрьевич's picture
Offline
Last seen: 1 month 1 day ago
Joined: 16.11.2008 - 22:16
Posts: 18106

Chrizalid wrote:
...Судя по КТ-картине в S1 имеется туберкулема прилегающая к костальной плевре диаметром 2,5см, а вокруг уже имеются мелкие очаги отсева в S1,2 сегментах...

Развил бы "мелкие очаги отсева" в очаговый туберкулез в верхней доле правого легкого в фазе инфильтрации.

Периферический рак никаким боком.

Андрей Юрьевич

Chrizalid's picture
Offline
Last seen: 2 years 2 months ago
Joined: 04.03.2011 - 22:12
Posts: 22

Андрей Юрьевич, поностью согласен :)

..."Разруха не в стране, разруха в головах"...

Nikolas's picture
Offline
Last seen: 2 months 1 week ago
Joined: 21.12.2010 - 20:37
Posts: 4560

Коллеги. Госпитализирован в ПТД. Буду следить за динамикой процесса в легких на фоне лечения.