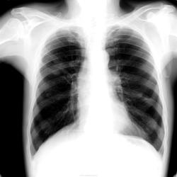
Я увидел 4 патологические тени,выпот справа и старый перелом ребра слева.Сейчас больным занялся онколог.Дообследование обещает быть всеобъемлющим,отпраляется больной в институт Герцена.
Да,очень интересные легкие,особенно верхняя доля,ее объем.И что за междопевая за 3 ребром?(если это междолевая)Чуть бы информации,и качества.Пока за онко.
Метастазы наверное, в верхней доле справа несколько странных теней. Симметричные тени в средних отделах легочных полей это соски или нет? Не пойму никак
Метастазы наверное, в верхней доле справа несколько странных теней. Симметричные тени в средних отделах легочных полей это соски или нет? Не пойму никак
На мой взгляд, кальцинаты в верхней доле справа, более крупные и тоже плотные тени с обеих сторон, плевро-костальные наложения спереди (думаю, что это не осумкованный выпот), некоторая «плакучесть» корней – всё это с большой долей вероятности позволяет предположить фиброзные изменения и этим объяснить признаки гиповентиляции верхней доли справа. Из свежего - мнение об инфильтративном твс в S2 справа. Хотя в S2 могут быть и фиброзно-кавернозные изменения без свежего процесса, учитывая, что клиники нет.
Считаю, что показано КТ. На линейке затруднился бы с «определением локализации цели срезов».
Также, на мой взгляд, здесь есть очаговые тени за первым ребром справа.
Да, здесь онкология, субсегментарный ателектаз и боюсь, что уже задействованы и лимфоузлы. В язычках-дисковидные ателектазы( или фиброзные изменения). В любом случае прямое показание для КТ и ФБС. Мелкоклеточный рак так себя ведет.И аденокарцинома, толко вид у нее немножко другой. Предвижу издевки:" С ума что-ли сошла,- о виде опухоли говорить по обзору?" Нет, не сошла,но имеете полное право так думать.
А где-стихи? Я ведь как в сказке про Машу и медведя: " Высоко сижу, далеко гляжу!" Это я к тому, что все вижу. Ну слушайте тогда мой экспромт: Картина в легких так изменчива!- И это-хорошо! Судьба больного переменчива!- И это-хорошо! Но вот вопрос-в какую сторону? Туда? Или ...Сюда? Ответить может незатейливо: "Куда?" Или "Когда?" Все тот же рентгенолог смелый Который даст ответ умелый: "Где?","Сколько?","Почему?" И что не нравится ему . А терапевт лишь все учтет И дальше мучиться пошлет! А дальше? -Тот же рентгенолог, Который назван уж "КТ- лог" Опять дает ответ. И что же? Вы удивитесь! Но все- то же! Словами лишь другими скажет, И терапевту вновь подскажет: "К морфологам есть путь короче! Давай живей, пока жизнь-dolce!" Мораль проста: Коль видишь НЕЧТО,- Беги скорей, ищи то место, Откуда "высыпать" должна Иль опухоль, иль жизнь до ста! С неизменной симпатией к Вам, так полюбившиеся мне друзья, Ваша Миргалина. Все вижу! Скоро выйду из подполья!
Периферический C-r в S3 справа.
"Слушай всех, прислушивайся к немногим, решай сам".©
S2.
Анатолий Петрович
Не-а. Всё-таки, в S 3
"Слушай всех, прислушивайся к немногим, решай сам".©
Предполагаю, что в легких не один очаг (узелок; узел); возможно mts процесс. Показано КТ исследование (конечно, если есть возможность!).
Анатолий Петрович
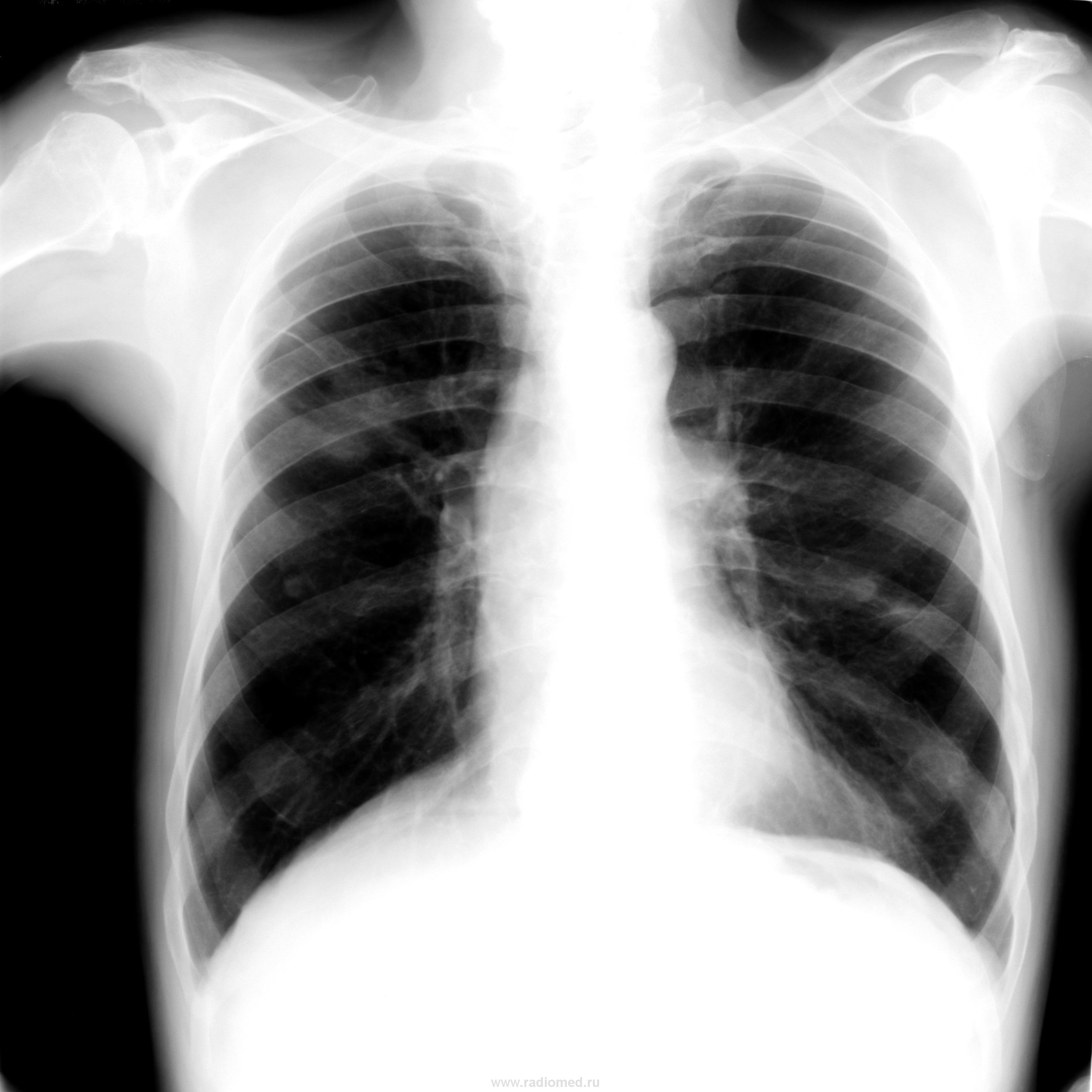
Я увидел 4 патологические тени,выпот справа и старый перелом ребра слева.Сейчас больным занялся онколог.Дообследование обещает быть всеобъемлющим,отпраляется больной в институт Герцена.
Да,очень интересные легкие,особенно верхняя доля,ее объем.И что за междопевая за 3 ребром?(если это междолевая)Чуть бы информации,и качества.Пока за онко.
Метастазы наверное, в верхней доле справа несколько странных теней. Симметричные тени в средних отделах легочных полей это соски или нет? Не пойму никак
"Слушай всех, прислушивайся к немногим, решай сам".©
На мой взгляд, кальцинаты в верхней доле справа, более крупные и тоже плотные тени с обеих сторон, плевро-костальные наложения спереди (думаю, что это не осумкованный выпот), некоторая «плакучесть» корней – всё это с большой долей вероятности позволяет предположить фиброзные изменения и этим объяснить признаки гиповентиляции верхней доли справа. Из свежего - мнение об инфильтративном твс в S2 справа. Хотя в S2 могут быть и фиброзно-кавернозные изменения без свежего процесса, учитывая, что клиники нет.
Считаю, что показано КТ. На линейке затруднился бы с «определением локализации цели срезов».
Также, на мой взгляд, здесь есть очаговые тени за первым ребром справа.
С Уважением, Дмитрий.
Да, здесь онкология, субсегментарный ателектаз и боюсь, что уже задействованы и лимфоузлы. В язычках-дисковидные ателектазы( или фиброзные изменения). В любом случае прямое показание для КТ и ФБС. Мелкоклеточный рак так себя ведет.И аденокарцинома, толко вид у нее немножко другой. Предвижу издевки:" С ума что-ли сошла,- о виде опухоли говорить по обзору?" Нет, не сошла,но имеете полное право так думать.
А где-стихи? Я ведь как в сказке про Машу и медведя: " Высоко сижу, далеко гляжу!" Это я к тому, что все вижу. Ну слушайте тогда мой экспромт: Картина в легких так изменчива!- И это-хорошо! Судьба больного переменчива!- И это-хорошо! Но вот вопрос-в какую сторону? Туда? Или ...Сюда? Ответить может незатейливо: "Куда?" Или "Когда?" Все тот же рентгенолог смелый Который даст ответ умелый: "Где?","Сколько?","Почему?" И что не нравится ему . А терапевт лишь все учтет И дальше мучиться пошлет! А дальше? -Тот же рентгенолог, Который назван уж "КТ- лог" Опять дает ответ. И что же? Вы удивитесь! Но все- то же! Словами лишь другими скажет, И терапевту вновь подскажет: "К морфологам есть путь короче! Давай живей, пока жизнь-dolce!" Мораль проста: Коль видишь НЕЧТО,- Беги скорей, ищи то место, Откуда "высыпать" должна Иль опухоль, иль жизнь до ста! С неизменной симпатией к Вам, так полюбившиеся мне друзья, Ваша Миргалина. Все вижу! Скоро выйду из подполья!
Восхитительно! Радиомед прирастает талантами
"Слушай всех, прислушивайся к немногим, решай сам".©
Ага! Талантище! Спасибо, NIL!