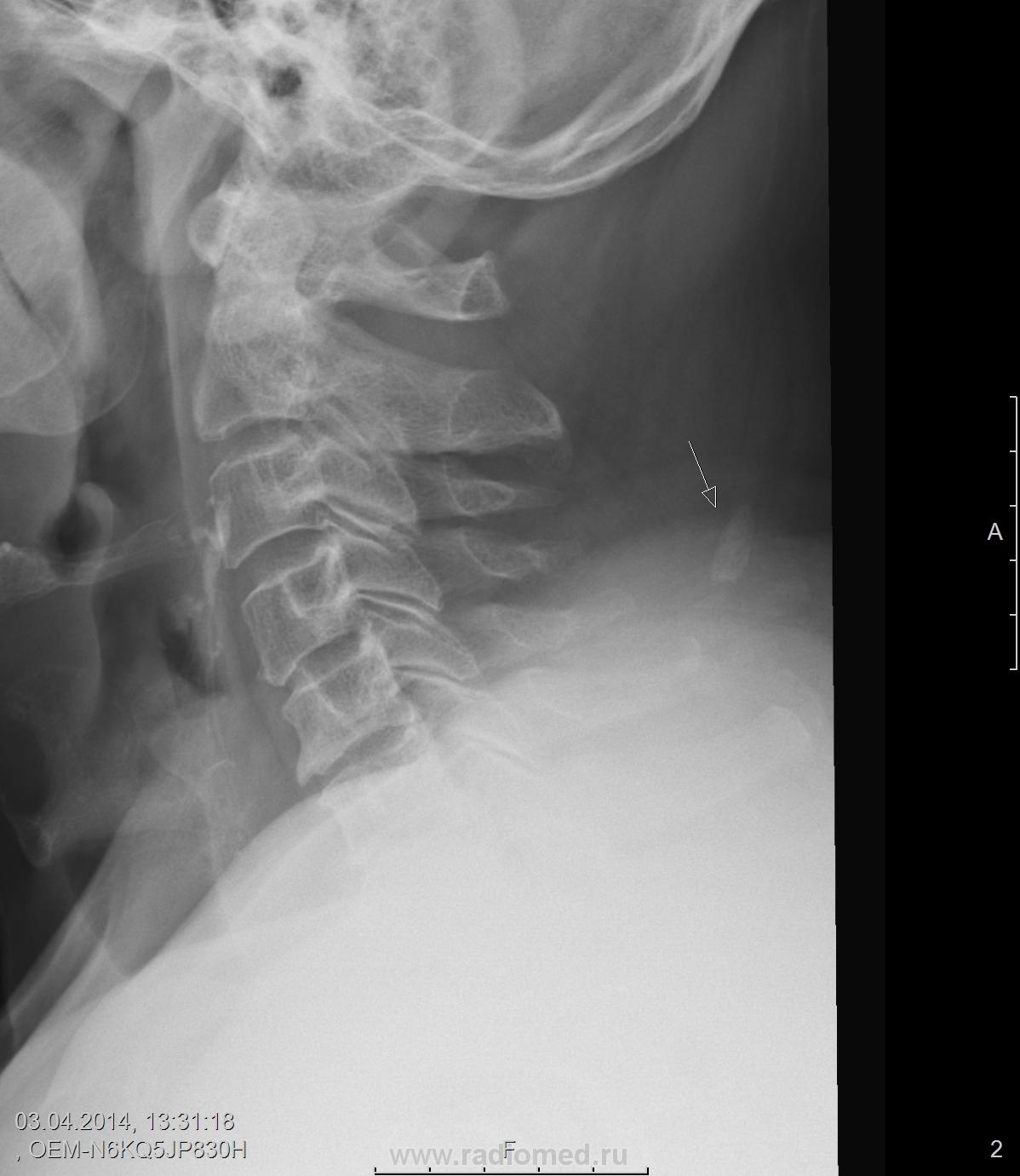
Пол пациента: Мужской пол Тип патологии: Метаболическое заболевание Область исследования: Скелетно-мышечная система Методы исследования: Rg Участок обызвествления на уровне остистого отростка С 5. https://radiomed.ru/sites/default/files/styles/case_slider_image/public/user/19785/m_c_spine_20140407_121853.jpg?itok=6bE3PY7k ID:36868 Mon, 07/04/2014 - 12:25 #1 Катенёв Валенти... Offline Last seen: 7 years 4 months ago Joined: 22.03.2008 - 22:15 Posts: 54876 Кость выйной связки. Mon, 07/04/2014 - 16:17 #2 Dr. X-ray Offline Last seen: 9 years 10 months ago Joined: 19.07.2013 - 21:06 Posts: 505 Катенёв Валентин Львович wrote: Кость выйной связки. +1 Mon, 07/04/2014 - 17:34 #3 Nela Offline Last seen: 6 years 4 months ago Joined: 12.05.2009 - 20:43 Posts: 1847 http://www.radiomed.ru/cases/sheinyi-otdel-pozvonochnika-sluchainaya-nakhodka#top Mon, 07/04/2014 - 17:38 #4 выпускник Offline Last seen: 5 years 4 months ago Joined: 15.08.2012 - 23:11 Posts: 50 похожий случай. Mon, 07/04/2014 - 19:27 #5 гана Offline Last seen: 4 years 4 months ago Joined: 12.01.2011 - 09:43 Posts: 84 +1 Mon, 07/04/2014 - 21:15 #6 И.Бондаренко Offline Last seen: 21 hours 16 min ago Joined: 13.09.2011 - 22:55 Posts: 9210 +3
Кость выйной связки.
+1
http://www.radiomed.ru/cases/sheinyi-otdel-pozvonochnika-sluchainaya-nakhodka#top
похожий случай.
+1
+3