You are here

Детские снимки

Пол пациента: 
Тип патологии: 
Методы исследования: 

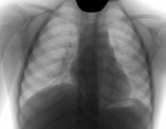
Девочка, 4-5лет, направлена с "о. бронхитом?"( как обычно). "Хрипов нет", жалобы на Т до 37,5. Лечится 5дней.

 

Рентгенолог пишет - норма. А Ваше мнение?

  • https://radiomed.ru/sites/default/files/styles/case_slider_image/public/user/17212/2_21.jpg?itok=yvo8jKIU
ID:36975
Сольвейг's picture
Offline
Last seen: 3 years 10 months ago
Joined: 05.02.2013 - 20:25
Posts: 2239

По-моему, ребенок сильно развернут. Пряменько бы надо. И какие-то очаговоподобные тени в основании в/доли справа, возможно, сосуды так выглядят из-за установки.Норму бы написала тоже, только с правильной уже установкой, а то так и ателектаз недолго вкатить.

NIL's picture
NIL
Offline
Last seen: 5 days 17 hours ago
Joined: 25.11.2013 - 20:50
Posts: 18217

Миргалина wrote:
По-моему, ребенок сильно развернут. Пряменько бы надо. И какие-то очаговоподобные тени в основании в/доли справа, возможно, сосуды так выглядят из-за установки.Норму бы написала тоже, только с правильной уже установкой, а то так и ателектаз недолго вкатить.
Присоединяюсь. Хочется стандартной укладки. 


"Слушай всех, прислушивайся к немногим, решай сам".©

алкс's picture
Offline
Last seen: 10 years 5 months ago
Joined: 24.10.2012 - 22:55
Posts: 2915

NIL wrote:

Миргалина wrote:
По-моему, ребенок сильно развернут. Пряменько бы надо. И какие-то очаговоподобные тени в основании в/доли справа, возможно, сосуды так выглядят из-за установки.Норму бы написала тоже, только с правильной уже установкой, а то так и ателектаз недолго вкатить.
Присоединяюсь. Хочется стандартной укладки. 

Анестезиолога нет, попробуйте сами поставить, 4-5 лет ребенка, идеально ровноsmiley.

Сольвейг's picture
Offline
Last seen: 3 years 10 months ago
Joined: 05.02.2013 - 20:25
Posts: 2239

Плавали, знаем. Малыши разные бывают. Иногда 2-х летний на КТ,не шелохнувшись, лежит, а порой и 7-летний выкрутасы выписывает.

алкс's picture
Offline
Last seen: 10 years 5 months ago
Joined: 24.10.2012 - 22:55
Posts: 2915

Миргалина wrote:
Плавали, знаем. Малыши разные бывают. Иногда 2-х летний на КТ,не шелохнувшись, лежит, а порой и 7-летний выкрутасы выписывает.

Таки что тут? НЕ взирая на дождь?

Сольвейг's picture
Offline
Last seen: 3 years 10 months ago
Joined: 05.02.2013 - 20:25
Posts: 2239

Я, алкс, не взирая на дождь, у детей с субфебрилитетом всегда л/у высматриваю,-а нет ли там чего?,не сдавливают ли бронх?

алкс's picture
Offline
Last seen: 10 years 5 months ago
Joined: 24.10.2012 - 22:55
Posts: 2915

Миргалина wrote:
Я, алкс, не взирая на дождь, у детей с субфебрилитетом всегда л/у высматриваю,-а нет ли там чего?,не сдавливают ли бронх?

Так тут же пневмония в расцвете сил! Я даже в позитиве выложил. Народ кричал - так лучше видно!

Ладно, только для Вас!

Контроль ч/з 10дн.

 

Приложения: 
5.jpg55.jpg
Сольвейг's picture
Offline
Last seen: 3 years 10 months ago
Joined: 05.02.2013 - 20:25
Posts: 2239

Спасибо, алкс! А корни все равно мне не нравятся. И народ безмолствует чего-то. Все-таки негатив привычнее. Только не в жизни, конечно! Смайлик!

NIL's picture
NIL
Offline
Last seen: 5 days 17 hours ago
Joined: 25.11.2013 - 20:50
Posts: 18217

А вот через 10 дней "по пневмониестее" выглядит. Справа, в нижнемедиальном поле. А корни широкие - важный признак пневмонии у детей. А ещё ( меня так учили)во имя симметричной укладки теперь не считается преступлением выполнить снимок ОГП лёжа, если нет иного выхода. Хотя стоя - предпочтительнее. Конечно, попадяются клиенты, которых " ни мытьём, ни катанием"...


"Слушай всех, прислушивайся к немногим, решай сам".©

Сергей Кузьминов's picture
Offline
Last seen: 1 year 5 months ago
Joined: 06.10.2012 - 15:51
Posts: 11813

Детей такого возраста снимаю стоя(без лаборанта работаю),дожидаюсь "мнгновения покоя" и жму на высокое.Вроде получается.Здесь-пневмония справа.Нужен дальнейший контроль.

алкс's picture
Offline
Last seen: 10 years 5 months ago
Joined: 24.10.2012 - 22:55
Posts: 2915

NIL wrote:

А вот через 10 дней "по пневмониестее" выглядит. Справа, в нижнемедиальном поле. А корни широкие - важный признак пневмонии у детей. А ещё ( меня так учили)во имя симметричной укладки теперь не считается преступлением выполнить снимок ОГП лёжа, если нет иного выхода. Хотя стоя - предпочтительнее. Конечно, попадяются клиенты, которых " ни мытьём, ни катанием"...

А так?

Приложения: 
11.jpg
Дмитрий Волегов's picture
Offline
Last seen: 3 years 11 months ago
Joined: 22.05.2013 - 00:32
Posts: 1148

Во втором-третьем межреберье справа в плащевой зоне в динамике "рассосалось".

С Уважением, Дмитрий.

Дмитрий Волегов's picture
Offline
Last seen: 3 years 11 months ago
Joined: 22.05.2013 - 00:32
Posts: 1148

В негативе снимок бледноватый получился, поэтому в позитиве лучше видно.

С Уважением, Дмитрий.

NIL's picture
NIL
Offline
Last seen: 5 days 17 hours ago
Joined: 25.11.2013 - 20:50
Posts: 18217

алкс wrote:

А так?

Мне здесь не нравится 

Приложения: 
5_79.jpg


"Слушай всех, прислушивайся к немногим, решай сам".©

Сергей Кузьминов's picture
Offline
Last seen: 1 year 5 months ago
Joined: 06.10.2012 - 15:51
Posts: 11813

Мне в последнее время позитивные снимки стали больше нравиться,особенно ОГК.