You are here

[15/04/2014] КТ околоносовых пахух

Пол пациента: 
Тип патологии: 
Область исследования: 
Методы исследования: 

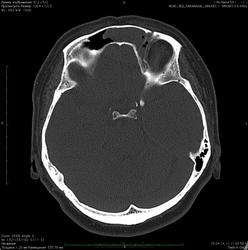
Женщина 58 лет.

Пришла на КТ от ЛОР-врача с диагнозом "хронический фронтальный синусит". 

Очень любопытно Ваше мнение -  чем вызвана локальная деструкция задней стенки пазухи?

               

            

 

           

 

        

 

DICOM        http://webfile.ru/38adf643a59e16f3be80a6718cab0e66

  • https://radiomed.ru/sites/default/files/styles/case_slider_image/public/user/16833/kopiya_no_name_-_sinuses_0.6_h80s_8_0.jpg?itok=M2tEV7xw
  • https://radiomed.ru/sites/default/files/styles/case_slider_image/public/user/16833/no_name_-_sinuses_0.6_h80s_0.jpg?itok=ZfCxSMH7
  • https://radiomed.ru/sites/default/files/styles/case_slider_image/public/user/16833/kopiya_no_name_-_sinuses_0.6_h80s_2.jpg?itok=lG1cwhS5
  • https://radiomed.ru/sites/default/files/styles/case_slider_image/public/user/16833/kopiya_no_name_-_sinuses_0.6_h80s_3.jpg?itok=LQf6hXmw
  • https://radiomed.ru/sites/default/files/styles/case_slider_image/public/user/16833/kopiya_no_name_-_sinuses_0.6_h80s.jpg?itok=SIrPeLSb
  • https://radiomed.ru/sites/default/files/styles/case_slider_image/public/user/16833/kopiya_no_name_-_sinuses_0.6_h80s_4_0.jpg?itok=9hW8nyB3
  • https://radiomed.ru/sites/default/files/styles/case_slider_image/public/user/16833/kopiya_no_name_-_sinuses_0.6_h80s_5_0.jpg?itok=JJT52iSJ
  • https://radiomed.ru/sites/default/files/styles/case_slider_image/public/user/16833/kopiya_no_name_-_sinuses_0.6_h80s_6_0.jpg?itok=hYNs1ptz
  • https://radiomed.ru/sites/default/files/styles/case_slider_image/public/user/16833/kopiya_no_name_-_sinuses_0.6_h80s_7.jpg?itok=tQF2mlKD
ID:37151
Almo's picture
Offline
Last seen: 1 day 9 hours ago
Joined: 28.09.2008 - 18:50
Posts: 8282

Субтотальное однородное затенение левой лобной пазухи и " чистые"остальные околоносовые пазухи не исключают объемный процесс от слизистой, в т.ч. с  локальной деструкцией задней стенки, дифференцировать с мукоцеле.

А. Горюнов's picture
Offline
Last seen: 2 months 1 week ago
Joined: 07.10.2012 - 12:12
Posts: 2744

Предполагаю, что ни дефекта костной ткани, ни тем более деструкции нет. На КТ по одному срезу не судят о патологии, только в сочетании прилежащих срезов. Для профессионального анализа необходим Дайком_формат.

Анатолий Петрович

Special.K's picture
Offline
Last seen: 8 years 11 months ago
Joined: 09.08.2012 - 23:08
Posts: 479

А. Горюнов wrote:

Предполагаю, что ни дефекта костной ткани, ни тем более деструкции нет. На КТ по одному срезу не судят о патологии, только в сочетании прилежащих срезов. Для профессионального анализа необходим Дайком_формат.

Спасибо за ценный ликбез. а я то думал можно по одному срезу судить!

Вы, видимо, не заметили ссылку на DICOM внизу шапки.

Special.K's picture
Offline
Last seen: 8 years 11 months ago
Joined: 09.08.2012 - 23:08
Posts: 479

Almo wrote:

Субтотальное однородное затенение левой лобной пазухи и " чистые"остальные околоносовые пазухи не исключают объемный процесс от слизистой, в т.ч. с  локальной деструкцией задней стенки, дифференцировать с мукоцеле.

согласен с Вами. спасибо за конструктив!

Катенёв Валентин Львович's picture
Offline
Last seen: 7 years 1 month ago
Joined: 22.03.2008 - 22:15
Posts: 54876

Интересно услышать мнение Нелли Рашадовны.

Марина Сергеевна's picture
Offline
Last seen: 7 months 3 weeks ago
Joined: 26.04.2011 - 11:56
Posts: 996

Almo wrote:

Субтотальное однородное затенение левой лобной пазухи и " чистые"остальные околоносовые пазухи не исключают объемный процесс от слизистой, в т.ч. с  локальной деструкцией задней стенки, дифференцировать с мукоцеле.

мукоцеле + "атрофия от давления"- может быть, но и гнойный фронтит с деструкцией задней стенки  нельзя не учитывать. 

Надо на МРТ головной мозг и пазухи  посмотреть. 

"There is no teacher, who can teach us anything new. He just can help us to remember the things we always knew" (c) Enigma.

Special.K's picture
Offline
Last seen: 8 years 11 months ago
Joined: 09.08.2012 - 23:08
Posts: 479

Марина Сергеевна wrote:

мукоцеле + "атрофия от давления"- может быть, но и гнойный фронтит с деструкцией задней стенки  нельзя не учитывать. 

Надо на МРТ головной мозг и пазухи  посмотреть. 

не уверен что МРТ сильно поможет (сам занимаюсь КТ и МРТ в равной степени, та же деструкция стенок пазух на МРТ часто не видна).  Разьве что посмотреть нет ли локальной реакции оболочек мозга.

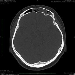
По нативной КТ - в головном мозге все спокойно.

кстати деструкция здесь не только задней стенки, но и нижней - кистозное образование (а их тут я насчитал 2) распространяется в решетчатую кость, занимая часть ее ячеек.

Приложения: 
no_name_-_sinuses_0.6_h37s.jpg
Марина Сергеевна's picture
Offline
Last seen: 7 months 3 weeks ago
Joined: 26.04.2011 - 11:56
Posts: 996

Special.K wrote:

Марина Сергеевна wrote:

мукоцеле + "атрофия от давления"- может быть, но и гнойный фронтит с деструкцией задней стенки  нельзя не учитывать. 

Надо на МРТ головной мозг и пазухи  посмотреть. 

не уверен что МРТ сильно поможет (сам занимаюсь КТ и МРТ в равной степени, та же деструкция стенок пазух на МРТ часто не видна).  Разьве что посмотреть нет ли локальной реакции оболочек мозга.

По нативной КТ - в головном мозге все спокойно.

кстати деструкция здесь не только задней стенки, но и нижней - кистозное образование (а их тут я насчитал 2) распространяется в решетчатую кость, занимая часть ее ячеек.

Да, я именно оболочки и полюсные отделы левой лобной доли имела в виду, когда упоминала МРТ. Деформацию клеток решетчатой кости заметила, поэтому и согласна что это может быть мукоцеле-> блок устья пазухи-> патологич содержимое в пазухе. Но может же у него быть  и все в месте. Если по клинике все тихо, то тем лучше.

"There is no teacher, who can teach us anything new. He just can help us to remember the things we always knew" (c) Enigma.

А. Горюнов's picture
Offline
Last seen: 2 months 1 week ago
Joined: 07.10.2012 - 12:12
Posts: 2744

Посмотрел исследование в Дайком формате, полистал в МРR, нет деструкции задней стенки лобной пазухи. Как и предполагал, для вывода о деструкции   из контекста всего исследования взяты единичные срезы. Да и при наличии деструкции задней стенки уже проявились бы  грозные осложнения:  воспалительный процесс распространяется на переднюю черепную ямку, вызывая одно или сразу несколько внутричерепных осложнений: экстра- или субдуральпый абсцесс. гнойный менингит или менингоэнцефалит, абсцесс головного мозга или тромбоз верхнего сагиттального или пещеристого синуса.

Мукоцеле придаточных пазух носа. Причины. Симптомы ...

Анатолий Петрович

Special.K's picture
Offline
Last seen: 8 years 11 months ago
Joined: 09.08.2012 - 23:08
Posts: 479

А. Горюнов wrote:

Посмотрел исследование в Дайком формате, полистал в МРR, нет деструкции задней стенки лобной пазухи. Как и предполагал, для вывода о деструкции   из контекста всего исследования взяты единичные срезы. Да и при наличии деструкции задней стенки уже проявились бы  грозные осложнения:  воспалительный процесс распространяется на переднюю черепную ямку, вызывая одно или сразу несколько внутричерепных осложнений: экстра- или субдуральпый абсцесс. гнойный менингит или менингоэнцефалит, абсцесс головного мозга или тромбоз верхнего сагиттального или пещеристого синуса.

в очередной раз мы имеем доказательство субективности работы рентгенологов.

я дефект вижу. вот он, даже на реконструкции прекрасно виден. 

Насчет того что обязательно "УЖЕ" должны быть осложнения вроде абсцесса, на мой взгляд это совершенно не обязательно. они могут возникнуть через 2 дня, а могут через полгода. В статье, что Вы привели как раз таки написано, что в основе патогенеза мукоцеле - асептическое воспаление.

дефекта нижней стенки вы тоже не видите? ячейки решетчатой кости на Ваш взгляд в полном порядке?

Приложения: 
izobrazhenie_3d-renderinga_obyoma.jpg
Nobody's picture
Offline
Last seen: 11 years 2 months ago
Joined: 15.03.2014 - 20:29
Posts: 2013

А. Горюнов wrote:

Посмотрел исследование в Дайком формате, полистал в МРR, нет деструкции задней стенки лобной пазухи. Как и предполагал, для вывода о деструкции   из контекста всего исследования взяты единичные срезы. Да и при наличии деструкции задней стенки уже проявились бы  грозные осложнения:  воспалительный процесс распространяется на переднюю черепную ямку, вызывая одно или сразу несколько внутричерепных осложнений: экстра- или субдуральпый абсцесс. гнойный менингит или менингоэнцефалит, абсцесс головного мозга или тромбоз верхнего сагиттального или пещеристого синуса.

Прошу прощения, но согласен с коллегами. Мукоцеле и пиоцеле по-разному с мозгом начинают свой разговор. И воспаления без инфекции быть не может. А мукоцеле её к нему и не несёт.

"Лишь утратив всё до конца, мы обретаем свободу." F.C.

А. Горюнов's picture
Offline
Last seen: 2 months 1 week ago
Joined: 07.10.2012 - 12:12
Posts: 2744

Уважаемый, Коллега! Согласен с лизисом и деструкцией стенок ячеек решетчатой кости; но этот процесс возможен и при банальном воспалительном процессе.  Какая дальнейшая судьба пациентки?

Анатолий Петрович