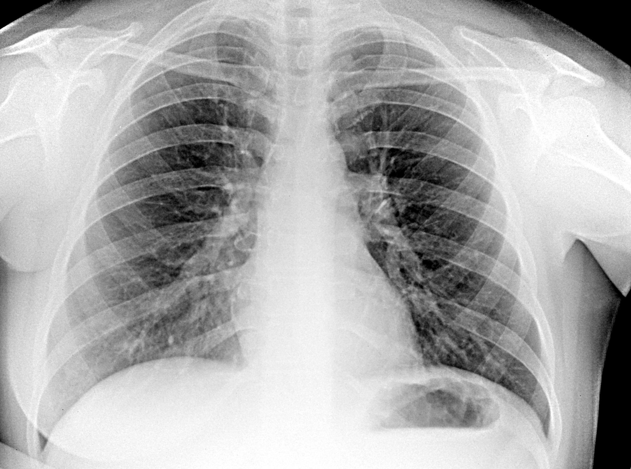
Проф флг, 1972 г.р , мастэктомия слева (cr) - изменения правого поперечного отростка позвонка на уровне тела пр корня. Остеопороз? Мтс? Скиалогия? Надо дообследовать? https://radiomed.ru/sites/default/files/styles/case_slider_image/public/user/18954/d94dde69-9d62-4f0b-a04e-a585f611e8dv1.jpg?itok=e0ahw8rW ID:47073 Fri, 18/04/2014 - 22:50 #1 тюрин Offline Last seen: 1 month 3 weeks ago Joined: 18.12.2009 - 17:23 Posts: 215 последний вариант Вашего ответа. я б на скопии покрутил. Fri, 18/04/2014 - 23:18 #2 Дмитрий Волегов Offline Last seen: 3 years 7 months ago Joined: 22.05.2013 - 00:32 Posts: 1148 Просветление объясняется отсутствием наложения сосудистой тени, в отличие от других поперечных отростков. Норма. Дообследовать не нужно. С Уважением, Дмитрий. Fri, 18/04/2014 - 23:35 #3 NIL Offline Last seen: 1 month 6 days ago Joined: 25.11.2013 - 20:50 Posts: 18208 Думаю, этот? Скиалогический эффект. Остальные поперечные отростки прикрыты чем-нибудь, а этот высунулся и режет глаз.Приложения: "Слушай всех, прислушивайся к немногим, решай сам".© Sat, 19/04/2014 - 11:01 #4 atexta Offline Last seen: 2 years 11 months ago Joined: 08.02.2014 - 18:41 Posts: 4842 Если сравнить с противоположной стороной-одинаковые, скиалогия Не нам судить… Sun, 20/04/2014 - 20:29 #5 JJ Offline Last seen: 11 years 6 months ago Joined: 03.04.2014 - 20:35 Posts: 102 если смущает, то лучше сделать обзорные снимки грудного отдела позвоночника - анамнез здесь нехороший
последний вариант Вашего ответа. я б на скопии покрутил.
Просветление объясняется отсутствием наложения сосудистой тени, в отличие от других поперечных отростков. Норма. Дообследовать не нужно.
С Уважением, Дмитрий.
Думаю, этот? Скиалогический эффект. Остальные поперечные отростки прикрыты чем-нибудь, а этот высунулся и режет глаз.
"Слушай всех, прислушивайся к немногим, решай сам".©
Если сравнить с противоположной стороной-одинаковые, скиалогия
Не нам судить…
если смущает, то лучше сделать обзорные снимки грудного отдела позвоночника - анамнез здесь нехороший