You are here

Флг

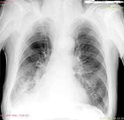
Пациент 1930 г.р., одышка в течение длит времени. Ателектаз н\доли пр легкого? И гидроторакс справа вроде тоже есть.

 

2011

  • https://radiomed.ru/sites/default/files/styles/case_slider_image/public/user/18954/2100001.jpg?itok=zzorhkq4
  • https://radiomed.ru/sites/default/files/styles/case_slider_image/public/user/18954/32300001.jpg?itok=LrPda9oo
  • https://radiomed.ru/sites/default/files/styles/case_slider_image/public/user/18954/323000y01.jpg?itok=hpvX0FEK
  • https://radiomed.ru/sites/default/files/styles/case_slider_image/public/user/18954/1200001.jpg?itok=SUA7AFnn
  • https://radiomed.ru/sites/default/files/styles/case_slider_image/public/user/18954/2100v001.jpg?itok=AIwzkuL2
  • https://radiomed.ru/sites/default/files/styles/case_slider_image/public/user/18954/21000014_0.jpg?itok=P_BfXoPb
  • https://radiomed.ru/sites/default/files/styles/case_slider_image/public/user/18954/1200001_0.jpg?itok=OIemIRJ1
ID:46721
NIL's picture
NIL
Offline
Last seen: 2 days 2 hours ago
Joined: 25.11.2013 - 20:50
Posts: 18217

Гиповентиляция в средней доле справа. Гидроторакса не вижу.


"Слушай всех, прислушивайся к немногим, решай сам".©

schlyapa's picture
Offline
Last seen: 8 years 5 months ago
Joined: 27.09.2013 - 22:15
Posts: 613

Простите, а почему средней - по боковому главная междолевая щель смещена книзу и кзади?

Сергей Кузьминов's picture
Offline
Last seen: 1 year 5 months ago
Joined: 06.10.2012 - 15:51
Posts: 11813

Жидкости не вижу.Ателектаз,образование нижней доли справа.

NIL's picture
NIL
Offline
Last seen: 2 days 2 hours ago
Joined: 25.11.2013 - 20:50
Posts: 18217

Моё видение

Приложения: 
32300001.jpg


"Слушай всех, прислушивайся к немногим, решай сам".©

алкс's picture
Offline
Last seen: 10 years 5 months ago
Joined: 24.10.2012 - 22:55
Posts: 2915

schlyapa wrote:
Простите, а почему средней - по боковому главная междолевая щель смещена книзу и кзади?

Ателектаз скорее. А почему доли? А не м.б. долей, сегментов долей? Иногда м.б. и среднего и частично нижнего и верхнего! Т.е. центральный правого и точка. Но и пневмонию не искл.!

schlyapa's picture
Offline
Last seen: 8 years 5 months ago
Joined: 27.09.2013 - 22:15
Posts: 613

Температура нормальная, вновь возникших жалоб нет.

Mila85's picture
Offline
Last seen: 3 years 6 months ago
Joined: 15.03.2012 - 16:59
Posts: 1790

Ателектаз нижней доли

Дмитрий Волегов's picture
Offline
Last seen: 3 years 11 months ago
Joined: 22.05.2013 - 00:32
Posts: 1148

Для легочного сердца контур сердца слева даже немного расширен. Увеличенный правый желудочек иммитирует смещение средостения вправо. Почти уверен, что справа - жидкость. Наверное и отеки на ногах есть. 

С Уважением, Дмитрий.

ejenye's picture
Offline
Last seen: 8 years 4 months ago
Joined: 20.04.2014 - 00:46
Posts: 47

Ребра не нравятся - справа. Дедушка не падал?

atexta's picture
Offline
Last seen: 3 years 2 months ago
Joined: 08.02.2014 - 18:41
Posts: 4842

Мне кажется это все же жидкость по междолевым и в плевральной, форма только причудливая. Ребро не могу понять свежее или нет, архив не открывается. А если ателектаз, почему тогда  по прямой междолевка не подтянута книзу? Кстати, подчеркнута.

Не нам судить…

Сольвейг's picture
Offline
Last seen: 3 years 10 months ago
Joined: 05.02.2013 - 20:25
Posts: 2239

Пневмосклерозище, давнишний правосторонний плеврит.

JJ's picture
JJ
Offline
Last seen: 11 years 10 months ago
Joined: 03.04.2014 - 20:35
Posts: 102

плевральные спайки, пневмосклероз

schlyapa's picture
Offline
Last seen: 8 years 5 months ago
Joined: 27.09.2013 - 22:15
Posts: 613

Обновлена ссылка в заглавном сообщении на архив (2011 г), затем вплоть до настоящего времени исследований ОГК не проводилось.

Nobody's picture
Offline
Last seen: 11 years 5 months ago
Joined: 15.03.2014 - 20:29
Posts: 2013

алкс wrote:

schlyapa wrote:
Простите, а почему средней - по боковому главная междолевая щель смещена книзу и кзади?

Ателектаз скорее. А почему доли? А не м.б. долей, сегментов долей? Иногда м.б. и среднего и частично нижнего и верхнего! Т.е. центральный правого и точка. Но и пневмонию не искл.!

:)) Интересная такая после центрального точка, после которой пневмония осталась.)

"Лишь утратив всё до конца, мы обретаем свободу." F.C.

Nobody's picture
Offline
Last seen: 11 years 5 months ago
Joined: 15.03.2014 - 20:29
Posts: 2013

schlyapa wrote:

Обновлена ссылка в заглавном сообщении на архив (2011 г), затем вплоть до настоящего времени исследований ОГК не проводилось.

И тишина... А как же контроль через неделю - не делали ещё или пока не успели?..

Я контроль пневмонии назначил бы... для начала. Но с-r в уме бы держал, хотя, быть может, пневмофиброзом всё завершится. Тогда хорошо будет всем нам.

"Лишь утратив всё до конца, мы обретаем свободу." F.C.