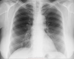
Снимки из серии "найти на боковой". Женщина 1948 г.р. Жалоб со стороны органов грудной клетки нет.Где тень на боковой проекции? К какому диагнозу склоняетесь? На днях будет ЛТ. ТМГ https://radiomed.ru/sites/default/files/styles/case_slider_image/public/user/16807/2_68.jpg?itok=PMWHQcLH https://radiomed.ru/sites/default/files/styles/case_slider_image/public/user/16807/3_42.jpg?itok=jjhsCDoN ID:46784 Fri, 25/04/2014 - 23:33 #1 алкс Offline Last seen: 10 years 6 months ago Joined: 24.10.2012 - 22:55 Posts: 2915 М.б. тутПриложения: Fri, 25/04/2014 - 23:38 #2 Сольвейг Offline Last seen: 3 years 11 months ago Joined: 05.02.2013 - 20:25 Posts: 2239 Ах, не успела. Тут, еще может в средней доле быть, -установка немного хромает. Рачок периферический, по-видимому, растет Fri, 25/04/2014 - 23:38 #3 NIL Offline Last seen: 3 weeks 1 day ago Joined: 25.11.2013 - 20:50 Posts: 18217 Да. Это она. Судя по гладкости и чёткости контуров, можно думать о доброкачественном новообразовании. Возможно, аденома.Приложения: "Слушай всех, прислушивайся к немногим, решай сам".© Fri, 25/04/2014 - 23:39 #4 Сольвейг Offline Last seen: 3 years 11 months ago Joined: 05.02.2013 - 20:25 Posts: 2239 А почему тмг не сейчас? Не сделали? Fri, 25/04/2014 - 23:57 #5 Dima Offline Last seen: 7 years 8 months ago Joined: 05.08.2012 - 17:39 Posts: 2467 Миргалина wrote: А почему тмг не сейчас? Не сделали?сделал, только карты открывать не хотелось сразу... Терпимость - это когда прощают чужие ошибки; такт - когда не замечают их. (Артур Шницлер) Sat, 26/04/2014 - 00:00 #6 Сольвейг Offline Last seen: 3 years 11 months ago Joined: 05.02.2013 - 20:25 Posts: 2239 Да открывайте уж, интересно же.Пожалуйста! Sat, 26/04/2014 - 00:15 #7 Dima Offline Last seen: 7 years 8 months ago Joined: 05.08.2012 - 17:39 Posts: 2467 Тень там где её и указали коллеги. Глазастые все, молодцы, а я вот долго искал...Приложения: Терпимость - это когда прощают чужие ошибки; такт - когда не замечают их. (Артур Шницлер) Sat, 26/04/2014 - 00:12 #8 Сольвейг Offline Last seen: 3 years 11 months ago Joined: 05.02.2013 - 20:25 Posts: 2239 Ну да, в 10-ке. Спасибо! Sat, 26/04/2014 - 10:03 #9 NIL Offline Last seen: 3 weeks 1 day ago Joined: 25.11.2013 - 20:50 Posts: 18217 Тень плотная. Может оказаться и гамартохондромой. "Слушай всех, прислушивайся к немногим, решай сам".© Tue, 29/04/2014 - 00:37 #10 lady.zhaneta Offline Last seen: 1 year 7 months ago Joined: 06.07.2011 - 21:54 Posts: 232 Спасибо от тех ,кто учится читая ваши комментарии, и от себя лично)
М.б. тут
Ах, не успела. Тут, еще может в средней доле быть, -установка немного хромает. Рачок периферический, по-видимому, растет
Да. Это она. Судя по гладкости и чёткости контуров, можно думать о доброкачественном новообразовании. Возможно, аденома.
"Слушай всех, прислушивайся к немногим, решай сам".©
А почему тмг не сейчас? Не сделали?
Терпимость - это когда прощают чужие ошибки; такт - когда не замечают их. (Артур Шницлер)
Да открывайте уж, интересно же.Пожалуйста!
Тень там где её и указали коллеги. Глазастые все, молодцы, а я вот долго искал...
Терпимость - это когда прощают чужие ошибки; такт - когда не замечают их. (Артур Шницлер)
Ну да, в 10-ке. Спасибо!
Тень плотная. Может оказаться и гамартохондромой.
"Слушай всех, прислушивайся к немногим, решай сам".©
Спасибо от тех ,кто учится читая ваши комментарии, и от себя лично)