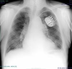
Пациент 1927 г.р, проф флг, архива нет, несколько лет назад перенес левостороннюю пневмонию. Похоже ли на саркоидоз (расширение корней, усиление рисунка, слева подчеркнута тень соска)?
Спасибо, а как понять, что именно за счет сосудов? В этой теме высказывалась версия саркоидоза (там не такого расширения лев желудочка), но корни, по-моему, похожи.
Спасибо, а как понять, что именно за счет сосудов? В этой теме высказывалась версия саркоидоза (там не такого расширения лев желудочка), но корни, по-моему, похожи. http://www.radiomed.ru/blogs/schlyapa/flg-3[/quote] Прочитайте пожалуйста Ковача, а вообще лёгочные артерии расширены прилично
Отечать имхо изменение формы и размеров тени сердца надо, для кардиологии рентгендиагностику никто не отменял, во всех протоколах диагностики кардиологических состояний стоит рентгенография ОГК
А что вы никогда не описываете расширение контура левого желудочка или др отд по рентгенограммам?
Расширение левого желудочка - никогда. Расширение границ сердечной тени только случается. Коллега уже ответила, всё верно. Полости не дифференцируем мы, как на УЗИ, поэтому и посоветовал не гонятся за желудочком, а... золото искать, как предложил Коллега!))
"Лишь утратив всё до конца, мы обретаем свободу." F.C.
А в заключение что выносите? Так и пишишете - расширение границ сердечной тени?
В заключение, если размером плюсует прилично, выношу косвенные признаки дилатации полостей сердца (и/или гидроперикард), дифференцировать/дообследование на УЗИ. Пока как-то так.)
"Лишь утратив всё до конца, мы обретаем свободу." F.C.
А в заключение что выносите? Так и пишишете - расширение границ сердечной тени?
Или удлинение, закругление, сглаженность и т.д. таких-то дуг.
Слегка не понял - вопрос не дописали... мне или в заключении о дугах сочиняете Вы?) Про дуги из лекций помню, но оцениваю их по косым проекциям грудной с контрастированным пищеводом... Для операций на сердце ещё такие требуют. Но не по прямой и боковой.
"Лишь утратив всё до конца, мы обретаем свободу." F.C.
А в заключение что выносите? Так и пишишете - расширение границ сердечной тени?
Или удлинение, закругление, сглаженность и т.д. таких-то дуг.
Слегка не понял - вопрос не дописали... мне или в заключении о дугах сочиняете Вы?) Про дуги из лекций помню, но оцениваю их по косым проекциям грудной с контрастированным пищеводом... Для операций на сердце ещё такие требуют. Но не по прямой и боковой.
Драсти, в прямой проекции - 2 дуги по правому контуру, четыре по левому.
А в заключение что выносите? Так и пишишете - расширение границ сердечной тени?
Или удлинение, закругление, сглаженность и т.д. таких-то дуг.
Слегка не понял - вопрос не дописали... мне или в заключении о дугах сочиняете Вы?) Про дуги из лекций помню, но оцениваю их по косым проекциям грудной с контрастированным пищеводом... Для операций на сердце ещё такие требуют. Но не по прямой и боковой.
Драсти, в прямой проекции - 2 дуги по правому контуру, четыре по левому.
:)) Спасибо, что просветили.)) Для Вас ещё повторюсь. О дугах пишу по косым снимкам только. А по двум стандартным проекциям - лишь в заключении отражаю кой-какую мыслю.)) Снова запад влияет - после английского трудно с пониманием слов русского языка туда-сюда мной перемещаемым, да?))
"Лишь утратив всё до конца, мы обретаем свободу." F.C.
А в заключение что выносите? Так и пишишете - расширение границ сердечной тени?
Или удлинение, закругление, сглаженность и т.д. таких-то дуг.
Слегка не понял - вопрос не дописали... мне или в заключении о дугах сочиняете Вы?) Про дуги из лекций помню, но оцениваю их по косым проекциям грудной с контрастированным пищеводом... Для операций на сердце ещё такие требуют. Но не по прямой и боковой.
Драсти, в прямой проекции - 2 дуги по правому контуру, четыре по левому.
:)) Спасибо, что просветили.)) Для Вас ещё повторюсь. О дугах пишу по косым снимкам только.
Понял-понял, "манера такая" (с) Можно я буду продолжать писать как писал, по прямым? Заранее спасибо.
Nobody wrote:
...Снова запад влияет - после английского трудно с пониманием слов русского языка туда-сюда мной перемещаемым, да?))
Причем здесь запад? Иваницкая плюс Рабкин. К тому же, имея ник Ноубоди (тот еще русский нэйм), попрекать западом, это слишком...
А в заключение что выносите? Так и пишишете - расширение границ сердечной тени?
Или удлинение, закругление, сглаженность и т.д. таких-то дуг.
Слегка не понял - вопрос не дописали... мне или в заключении о дугах сочиняете Вы?) Про дуги из лекций помню, но оцениваю их по косым проекциям грудной с контрастированным пищеводом... Для операций на сердце ещё такие требуют. Но не по прямой и боковой.
Драсти, в прямой проекции - 2 дуги по правому контуру, четыре по левому.
:)) Спасибо, что просветили.)) Для Вас ещё повторюсь. О дугах пишу по косым снимкам только.
Понял-понял, "манера такая" (с) Можно я буду продолжать писать как писал, по прямым? Заранее спасибо.
Nobody wrote:
...Снова запад влияет - после английского трудно с пониманием слов русского языка туда-сюда мной перемещаемым, да?))
Причем здесь запад? Иваницкая плюс Рабкин. К тому же, имея ник Ноубоди (тот еще русский нэйм), попрекать западом, это слишком...
Андрей Юрьевич, а что же Вы в заключение выносите по снимкам прямым насчёт дуг?.. Снова признаки?)) Или нечто более точное? И как насчёт тех заключений по дугам - кого-Ноубудь отследили судьбу? УЗИ сердца проводили и подтверждали с точностью почти всё?
PS. - Чтобы ник мой понять, нужно фильм посмотреть... сначала. А после можно на запад бежать, лететь на восток или остаться на месте... Можно ещё начать всё с начала.:)
"Лишь утратив всё до конца, мы обретаем свободу." F.C.
Андрей Юрьевич, а что же Вы в заключение выносите по снимкам прямым насчёт дуг?.. Снова признаки?)) Или нечто более точное? И как насчёт тех заключений по дугам - кого-Ноубудь отследили судьбу? УЗИ сердца проводили и подтверждали с точностью почти всё?
PS. - Чтобы ник мой понять, нужно фильм посмотреть... сначала. А после можно на запад бежать, лететь на восток или остаться на месте... Можно ещё начать всё с начала.:)
PPS. Про ник не буду. Это тема отдельной ветки.
Теперь про основное, Ноубоди. Да, я рентгенолог и пишу "рентгенпризнаки". Я не главный диагност. Главный диагност - это клиницист. Это в его (не моем) мозгу соединяется все признаки и выкристаллизовываются в диагноз.
Андрей Юрьевич, а что же Вы в заключение выносите по снимкам прямым насчёт дуг?.. Снова признаки?)) Или нечто более точное? И как насчёт тех заключений по дугам - кого-Ноубудь отследили судьбу? УЗИ сердца проводили и подтверждали с точностью почти всё?
PS. - Чтобы ник мой понять, нужно фильм посмотреть... сначала. А после можно на запад бежать, лететь на восток или остаться на месте... Можно ещё начать всё с начала.:)
PPS. Про ник не буду. Это тема отдельной ветки.
Теперь про основное, Ноубоди. Да, я рентгенолог и пишу "рентгенпризнаки". Я не главный диагност. Главный диагност - это клиницист. Это в его (не моем) мозгу соединяется все признаки и выкристаллизовываются в диагноз.
Коллега, Я тоже рентгенолог. Я - диагност. И скажу Вам, что Вы, наверняка, и сами знаете не первые года. Клиницисту не говорят ровно ни о чём расширенные/выбухающие дуги сердечные. Проверено! Неоднократно. На всех поколениях, в разных больницах. Статистика со мной была.)
"Лишь утратив всё до конца, мы обретаем свободу." F.C.
...И скажу Вам, что Вы, наверняка, и сами знаете не первые года. Клиницисту не говорят ровно ни о чём расширенные/выбухающие дуги сердечные. Проверено! Неоднократно. На всех поколениях, в разных больницах. Статистика со мной была.)
А мне почему то кажется, что дела сердечные здесь.
Прежде всего , учитывая тень экс ( ивр) нужно исключать сердечную недостаточность.
Похоже на р-признаки застоя в малом круге кровобращения: расширение сердечной тени, расширение корней за счет сосудов, симптом "скачка калибра".
Андрей Юрьевич
Сердечные дела.
Спасибо, а как понять, что именно за счет сосудов? В этой теме высказывалась версия саркоидоза (там не такого расширения лев желудочка), но корни, по-моему, похожи.
http://www.radiomed.ru/blogs/schlyapa/flg-3
Ну, про саркаидоз, кроме Вас тут никто не говорил. Все про сердце судачат, про переполненные кровью и за счёт этого расширенные сосуды корней.
"Слушай всех, прислушивайся к немногим, решай сам".©
Возможно, требуется подзарядка или замена ИВР. Если есть возможность - быстренько глянуть пульсацию на скопии.
С Уважением, Дмитрий.
А есть ли здесь признаки застоя?
Оф кос!.. Но на тоненького.) А каким типом застоя Вы картину именовали, последнюю новенькую?..
"Лишь утратив всё до конца, мы обретаем свободу." F.C.
Застой по мкк. Хотя левый желудочек почти не расширен, но корни расширены.
Ну, Вы, однако даёте... Про размеры желудочка только в заключение не выносите - это уже несерьёзно. В эру, когда есть УЗИ.
А тип застоя - понятно, что в малом круге:)) - он венозный бывает и артериальный... об этом на лекциях студентам читают... Или у Вас было не так?)
"Лишь утратив всё до конца, мы обретаем свободу." F.C.
[quote=Nobody]
Ну, Вы, однако даёте... Про размеры желудочка только в заключение не выносите - это уже несерьёзно. В эру, когда есть УЗИ.
А что вы никогда не описываете расширение контура левого желудочка или др отд по рентгенограммам?
Отечать имхо изменение формы и размеров тени сердца надо, для кардиологии рентгендиагностику никто не отменял, во всех протоколах диагностики кардиологических состояний стоит рентгенография ОГК
Расширение левого желудочка - никогда. Расширение границ сердечной тени только случается. Коллега уже ответила, всё верно. Полости не дифференцируем мы, как на УЗИ, поэтому и посоветовал не гонятся за желудочком, а... золото искать, как предложил Коллега!))
"Лишь утратив всё до конца, мы обретаем свободу." F.C.
А в заключение что выносите? Так и пишишете - расширение границ сердечной тени?
"Слушай всех, прислушивайся к немногим, решай сам".©
В заключение, если размером плюсует прилично, выношу косвенные признаки дилатации полостей сердца (и/или гидроперикард), дифференцировать/дообследование на УЗИ. Пока как-то так.)
"Лишь утратив всё до конца, мы обретаем свободу." F.C.
Слегка не понял - вопрос не дописали... мне или в заключении о дугах сочиняете Вы?) Про дуги из лекций помню, но оцениваю их по косым проекциям грудной с контрастированным пищеводом... Для операций на сердце ещё такие требуют. Но не по прямой и боковой.
"Лишь утратив всё до конца, мы обретаем свободу." F.C.
Драсти, в прямой проекции - 2 дуги по правому контуру, четыре по левому.
Андрей Юрьевич
:)) Спасибо, что просветили.)) Для Вас ещё повторюсь. О дугах пишу по косым снимкам только. А по двум стандартным проекциям - лишь в заключении отражаю кой-какую мыслю.)) Снова запад влияет - после английского трудно с пониманием слов русского языка туда-сюда мной перемещаемым, да?))
"Лишь утратив всё до конца, мы обретаем свободу." F.C.
Понял-понял, "манера такая" (с) Можно я буду продолжать писать как писал, по прямым? Заранее спасибо.
Причем здесь запад? Иваницкая плюс Рабкин. К тому же, имея ник Ноубоди (тот еще русский нэйм), попрекать западом, это слишком...
Андрей Юрьевич
Андрей Юрьевич, а что же Вы в заключение выносите по снимкам прямым насчёт дуг?.. Снова признаки?)) Или нечто более точное? И как насчёт тех заключений по дугам - кого-Ноубудь отследили судьбу? УЗИ сердца проводили и подтверждали с точностью почти всё?
PS. - Чтобы ник мой понять, нужно фильм посмотреть... сначала. А после можно на запад бежать, лететь на восток или остаться на месте... Можно ещё начать всё с начала.:)
"Лишь утратив всё до конца, мы обретаем свободу." F.C.
PPS. Про ник не буду. Это тема отдельной ветки.
Теперь про основное, Ноубоди. Да, я рентгенолог и пишу "рентгенпризнаки". Я не главный диагност. Главный диагност - это клиницист. Это в его (не моем) мозгу соединяется все признаки и выкристаллизовываются в диагноз.
Андрей Юрьевич
Ноубоди (извините за офф), а вы не из Петербурга случайно?
Тоже офф: не думаю. Предположу какой-нибудь нефтегазодобывающий регион.
Андрей Юрьевич
Коллега, Я тоже рентгенолог. Я - диагност. И скажу Вам, что Вы, наверняка, и сами знаете не первые года. Клиницисту не говорят ровно ни о чём расширенные/выбухающие дуги сердечные. Проверено! Неоднократно. На всех поколениях, в разных больницах. Статистика со мной была.)
"Лишь утратив всё до конца, мы обретаем свободу." F.C.
Случайно нет. Откуда я - большой секрет!)) Но я - Никто, и там бываю, где нет пока что никого!)) Я созерцаю, вот что!:)
"Лишь утратив всё до конца, мы обретаем свободу." F.C.
Поменьше пафоса, коллега.
А вот состояние ума клинициста меня не колышет.
Андрей Юрьевич
Ладно, просто есть дальний знакомый - коллега, любитель фильмов и с интересным способом мышления