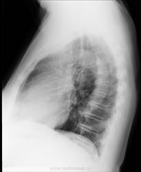
Дообследовать. Прямая задняя + 3/4 задняя (правым боком немного вперед). Большинство смущений пропадает. Ежели все-равно остается, то КТ или линейки (по возможности).
Ну если пациента не достать, то в описании написать рекомендован контроль.
...... еще бы в рентгенологии что-нибудь понимать.
Дообследовать. Прямая задняя + 3/4 задняя (правым боком немного вперед). Большинство смущений пропадает. Ежели все-равно остается, то КТ или линейки (по возможности).
Ну если пациента не достать, то в описании написать рекомендован контроль.
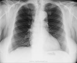
Левый корень не вполне рентгеновская норма, если учитывать, что основу тени корня представляют сосуды. Т.е расширение сосудов, скорее ЛА, может быть вполне.
Одного не могу понять, уважаемые коллеги: как же вы флюшки-то читаете? Что ни случай, то повод для дообследования.
Докладываю: Если смотришь и ничто не смущает - то все хорошо. Если смотришь и видишь патологию- то пишешь что видишь. Если вроде как норма, но что-то смущает - то вперед разбираться. Как бы все тут не описывали флюшки, на цифре можно поиграться+ спросить лаборантку(для чего вообще направляли)+есть какая-то клиника (анамнез, анализы). Иногда если не лень, то поразыскивать архив- что было раньше (сейчас у меня такой проблемы нет- все на сервере).
Мнение других врачей очень важно (потому как все знать не возможно, а коллективный разум он всесилен+ кто-нибудь идею подаст). Но как бы доктор наук мне не утверждал, что все хорошо, пока я сам не буду уверен - не успокоюсь. Сталкивались, знаем. Конечно, иногда "приходиться договариваться с совестью", когда пациент сам не желает, или ему все равно. Лет 5 назад я пытался убеждать, рассказывать, объяснять. Теперь ежели пациенту не интересно, то я трачу чуток времени и успокаиваюсь.
... что же будет лет через 10? в какого черствого дохтура я превращусь :)
З.Ы. я вобще не могу понять, почему сперва не дообследуют, а потом уже выкладывают? Вот Валентин Львович почти всегда и томограмки имеет и еще что. А некоторые щелкнут что-то, непонятно что. Не напишут зачем выложили и для чего, никаких данных. В общем по-моему мнению в фотографов играют. Просят что-то описать, чтобы потом можно было сказать - а вот Вы говорили. Мы тут рентгенологи или кто?
З.Ы.З.Ы Извиняюсь, если резковато ответил - вечер уже, злой с работы пришел :)
...... еще бы в рентгенологии что-нибудь понимать.
Да нет, нормальный корень, на мой взгляд.
Андрей Юрьевич
левый корень б/о
Дообследовать. Прямая задняя + 3/4 задняя (правым боком немного вперед). Большинство смущений пропадает. Ежели все-равно остается, то КТ или линейки (по возможности).
Ну если пациента не достать, то в описании написать рекомендован контроль.
...... еще бы в рентгенологии что-нибудь понимать.
Патологических изменений не нахожу. Не мучила бы ни пациента, ни себя.
"Слушай всех, прислушивайся к немногим, решай сам".©
+1
Норма
Левый корень не вполне рентгеновская норма, если учитывать, что основу тени корня представляют сосуды. Т.е расширение сосудов, скорее ЛА, может быть вполне.
Одного не могу понять, уважаемые коллеги: как же вы флюшки-то читаете? Что ни случай, то повод для дообследования.
Андрей Юрьевич
Эт точно! Прямо с флюшек и на ДО! И на сайт!
Я не к дообследованию - упаси боже! Я к обьяснению почему так выглядит корень + возраст.
Докладываю: Если смотришь и ничто не смущает - то все хорошо. Если смотришь и видишь патологию- то пишешь что видишь. Если вроде как норма, но что-то смущает - то вперед разбираться. Как бы все тут не описывали флюшки, на цифре можно поиграться+ спросить лаборантку(для чего вообще направляли)+есть какая-то клиника (анамнез, анализы). Иногда если не лень, то поразыскивать архив- что было раньше (сейчас у меня такой проблемы нет- все на сервере).
Мнение других врачей очень важно (потому как все знать не возможно, а коллективный разум он всесилен+ кто-нибудь идею подаст). Но как бы доктор наук мне не утверждал, что все хорошо, пока я сам не буду уверен - не успокоюсь. Сталкивались, знаем. Конечно, иногда "приходиться договариваться с совестью", когда пациент сам не желает, или ему все равно. Лет 5 назад я пытался убеждать, рассказывать, объяснять. Теперь ежели пациенту не интересно, то я трачу чуток времени и успокаиваюсь.
... что же будет лет через 10? в какого черствого дохтура я превращусь :)
З.Ы. я вобще не могу понять, почему сперва не дообследуют, а потом уже выкладывают? Вот Валентин Львович почти всегда и томограмки имеет и еще что. А некоторые щелкнут что-то, непонятно что. Не напишут зачем выложили и для чего, никаких данных. В общем по-моему мнению в фотографов играют. Просят что-то описать, чтобы потом можно было сказать - а вот Вы говорили. Мы тут рентгенологи или кто?
З.Ы.З.Ы Извиняюсь, если резковато ответил - вечер уже, злой с работы пришел :)
...... еще бы в рентгенологии что-нибудь понимать.