You are here

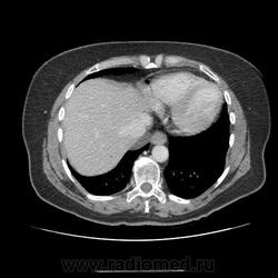
Брюшная полость+контраст. объемное образование в задне-нижнем отделе средостения ( осумкованный плеврит?)

Пол пациента: 
Область исследования: 
Методы исследования: 

Женщина  64 года. Из анамнеза: находилась на лечении в онкологическом диспансере  с 29.11.13 по 05.12.13. DS: ЗНО маточной трубы I ст T1NxM0 после комбинированного лечения в 2011г. Прогрессирование в 2012г после ПХТ. Ремиссия 1 год. Прогрессирование в 2013г. (увеличение СА 125, мтс в сальник) в процессе ПХТ. Стабилизация. Осложнения: анемия, лекопения, ХПН. MDS аденокарцинома G1. На КТ данных за мтс не обнаружил. В задне-нижнем отделе средостения над левой долей печени образование плотностью +10HU. для липомы высокая плотность, контраст не накапливает, осумкованный плеврит? И в области верхней полой вены циркулярно какой то V что ли?

 



 

артериальная фаза

Венозная фаза

Паренхиматозная 

  • https://radiomed.ru/sites/default/files/styles/case_slider_image/public/user/19376/image11_0.jpg?itok=ZhCGMaiB
  • https://radiomed.ru/sites/default/files/styles/case_slider_image/public/user/19376/image21_0.jpg?itok=Dk7yxSeB
  • https://radiomed.ru/sites/default/files/styles/case_slider_image/public/user/19376/image31.jpg?itok=gs1f_D31
  • https://radiomed.ru/sites/default/files/styles/case_slider_image/public/user/19376/image41.jpg?itok=jwqjcNeV
  • https://radiomed.ru/sites/default/files/styles/case_slider_image/public/user/19376/image51.jpg?itok=f9glvEte
  • https://radiomed.ru/sites/default/files/styles/case_slider_image/public/user/19376/image61.jpg?itok=QT9xa747
  • https://radiomed.ru/sites/default/files/styles/case_slider_image/public/user/19376/image0.jpg?itok=2YrbetFm
  • https://radiomed.ru/sites/default/files/styles/case_slider_image/public/user/19376/image101.jpg?itok=K1-z83yp
  • https://radiomed.ru/sites/default/files/styles/case_slider_image/public/user/19376/image201.jpg?itok=XLz_sCY7
  • https://radiomed.ru/sites/default/files/styles/case_slider_image/public/user/19376/image301.jpg?itok=nkivawWr
  • https://radiomed.ru/sites/default/files/styles/case_slider_image/public/user/19376/image401.jpg?itok=-uN36oZR
  • https://radiomed.ru/sites/default/files/styles/case_slider_image/public/user/19376/image501.jpg?itok=sNz80E2m
  • https://radiomed.ru/sites/default/files/styles/case_slider_image/public/user/19376/image601.jpg?itok=zMT4apSS
  • https://radiomed.ru/sites/default/files/styles/case_slider_image/public/user/19376/image701.jpg?itok=s4OeXl1A
  • https://radiomed.ru/sites/default/files/styles/case_slider_image/public/user/19376/image01.jpg?itok=K-VsOqQ5
  • https://radiomed.ru/sites/default/files/styles/case_slider_image/public/user/19376/image02.jpg?itok=lnuQupR1
  • https://radiomed.ru/sites/default/files/styles/case_slider_image/public/user/19376/image03.jpg?itok=gPoPElns
  • https://radiomed.ru/sites/default/files/styles/case_slider_image/public/user/19376/image04.jpg?itok=c6B7gTF1
  • https://radiomed.ru/sites/default/files/styles/case_slider_image/public/user/19376/image05.jpg?itok=Rm_jwFLy
  • https://radiomed.ru/sites/default/files/styles/case_slider_image/public/user/19376/image06.jpg?itok=8Vrwnb7Z
  • https://radiomed.ru/sites/default/files/styles/case_slider_image/public/user/19376/image07.jpg?itok=Fu1P8Zop
  • https://radiomed.ru/sites/default/files/styles/case_slider_image/public/user/19376/image08.jpg?itok=sBwC5XsN
  • https://radiomed.ru/sites/default/files/styles/case_slider_image/public/user/19376/image09.jpg?itok=MlDX2cpD
  • https://radiomed.ru/sites/default/files/styles/case_slider_image/public/user/19376/image010.jpg?itok=LgHjDnak
  • https://radiomed.ru/sites/default/files/styles/case_slider_image/public/user/19376/imagey.jpg?itok=5AweVJkO
  • https://radiomed.ru/sites/default/files/styles/case_slider_image/public/user/19376/imagec.jpg?itok=4_lzHJrA
  • https://radiomed.ru/sites/default/files/styles/case_slider_image/public/user/19376/imageu.jpg?itok=4fiW1tpz
  • https://radiomed.ru/sites/default/files/styles/case_slider_image/public/user/19376/imagek.jpg?itok=lP3EL3i-
  • https://radiomed.ru/sites/default/files/styles/case_slider_image/public/user/19376/imagee.jpg?itok=P0yUAlpY
  • https://radiomed.ru/sites/default/files/styles/case_slider_image/public/user/19376/imageg.jpg?itok=jAt87bIL
  • https://radiomed.ru/sites/default/files/styles/case_slider_image/public/user/19376/imagesh.jpg?itok=JuFoFexS
  • https://radiomed.ru/sites/default/files/styles/case_slider_image/public/user/19376/imagez.jpg?itok=HbWgg6tp
  • https://radiomed.ru/sites/default/files/styles/case_slider_image/public/user/19376/imagez_0.jpg?itok=_j31QGMw
  • https://radiomed.ru/sites/default/files/styles/case_slider_image/public/user/19376/imageh.jpg?itok=1HVaoEGW
ID:37982
Любовь С.'s picture
Offline
Last seen: 9 years 10 months ago
Joined: 23.12.2010 - 01:58
Posts: 2324

"Предоставляя весь смысл и совершенство в распоряжение одного только Бога, вы избавляете себя от бездны хлопот." Джон Уитборн.

Tatarin's picture
Offline
Last seen: 8 years 3 months ago
Joined: 06.12.2013 - 15:41
Posts: 653

Спасибо, Вам!