You are here

Опухолевое образование левой молочной железы

Пол пациента: 
Область исследования: 
Методы исследования: 

Случай из практики – скрининговая маммография.

 

Название случая. «Опухолевое образование левой молочной железы».

 

Пациентка. Ч., 49 лет. Направлена на профилактическую маммографию.

 

Клиника – жалоб не предъявляет.

 

Цифровое стандартное маммографическое профилактическое исследование (проведено на цифровом маммографе МАДИС).

 

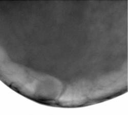
Протокол исследования. В левой молочной железе в верхнем наружном квадранте определяется снижение прозрачности железистого треугольника за счет избыточного развития фиброзной ткани, на фоне чего определяются очаговые уплотнения – по всей видимости, мелкие фиброаденомы. Аналогичные очаговые уплотнения в верхнем медиальном квадранте (1 – снимок в прямой проекции, 2 – снимок в боковой проекции). Передний контур железистого треугольника неровный. В верхнем наружном квадранте, на фоне премаммарного пространства определяется объёмное образование средней интенсивности, однородной структуры, с нечетким контуром, окруженное просветлением – «поясок безопасности», оттесняющее и сужающее молочный синус медиально. 3, 4 – участок, выделенный «навигатором» для более детального анализа патологического образования. 5 – для сравнения приведено обычное расположение молочного синуса.

 

Заключение: Преимущественно фиброзная мастопатия в верхнем наружном квадранте левой молочной железы. Фиброаденома в верхнем наружном квадранте левой молочной железы.

 

Пояснения по поводу контуров. На возможность нечеткости (пушистости) контура фиброаденом неоднократно указывалось рядом авторов, что связано с отеком тканей, входящих в состав пролиферата.

 


Данные предоставил Катенёв Валентин Львович, г. Бирюч Белгородской области. МУЗ «Красногвардейская центральная районная больница», зав. рентгенологическим отделением.


1. снимок в прямой проекции
1. снимок в прямой проекции
2. снимок в боковой проекции
2. снимок в боковой проекции
3. участок, выделенный «навигатором» для более детального анализа патологического образования
3. участок, выделенный «навигатором» для более детального анализа патологического образования
4. участок, выделенный «навигатором» для более детального анализа патологического образования
4. участок, выделенный «навигатором» для более детального анализа патологического образования
5. для сравнения приведено обычное расположение молочного синуса.
5. для сравнения приведено обычное расположение молочного синуса.

 

 

Лорочка's picture
Offline
Last seen: 11 years 7 months ago
Joined: 01.09.2010 - 18:51
Posts: 43

Почему-то у меня сложилось впечатление, что это сосок завернут.

tatyana-osa's picture
Offline
Last seen: 14 years 8 months ago
Joined: 04.04.2011 - 18:22
Posts: 2

Позволю себе согласиться с Лорочкой-т.к. на боковой Р-грамме не видно этого образования.Я бы поставила диффузную железисто-фиброзно-кистозную мастопатию нерезко выраженную с преобладанием фиброза.+Множественные ф/аденомы лев. мол. железы