Пол пациента: Мужской пол Тип патологии: Инфекция Область исследования: Грудная клетка и верхние дыхательные пути Методы исследования: Rg Пациент направлен в рентгеновский кабинет терапевтом Для рентгенографии ОГК с подозрением на левостороннюю пневмонию. Произведено стандартное исследование. https://radiomed.ru/sites/default/files/styles/case_slider_image/public/user/12/02_Dinamika..JPG?itok=d6uk1vVu ID:2510 Sat, 03/04/2010 - 01:50 #1 Петрович Offline Last seen: 7 years 5 months ago Joined: 22.03.2009 - 01:13 Posts: 3908 Небольшой интенсивности воспаление в S4 исключить трудно. Но видимые на картинках изменения преимущественно плеврокостальные. Неоднозначно всё Sat, 03/04/2010 - 08:16 #2 Игорь Иванович Offline Last seen: 3 years 12 months ago Joined: 23.01.2010 - 14:56 Posts: 3695 За что боролись, на то и напоролись. Хотели - получите. А на контроле посмотрим. Sat, 03/04/2010 - 09:09 #3 Катенёв Валенти... Offline Last seen: 7 years 3 months ago Joined: 22.03.2008 - 22:15 Posts: 54876 Игорь Иванович wrote: За что боролись, на то и напоролись. Хотели - получите. А на контроле посмотрим. Конечно "ПОСМОТРИМ", и скоро, но не разъвеет "контроль" ничего, так как "лечение" бывает всякое... Sat, 03/04/2010 - 10:19 #4 Катенёв Валенти... Offline Last seen: 7 years 3 months ago Joined: 22.03.2008 - 22:15 Posts: 54876 "Динамика". Через 10 дней после противовоспалительного лечения. Может лечили не так как надо? Приложения: Sat, 03/04/2010 - 11:09 #5 Грицько Виталий Offline Last seen: 9 years 2 months ago Joined: 05.01.2010 - 14:06 Posts: 1058 Дауж динамика не слабая... Sat, 03/04/2010 - 12:07 #6 Петрович Offline Last seen: 7 years 5 months ago Joined: 22.03.2009 - 01:13 Posts: 3908 Катенёв Валентин Львович wrote: Игорь Иванович wrote: За что боролись, на то и напоролись. Хотели - получите. А на контроле посмотрим.Конечно "ПОСМОТРИМ", и скоро, но не разъвеет "контроль" ничего, так как "лечение" бывает всякое... Вы о чём, панове? Что я пропустил? Дайте ссылку что ли.. Неоднозначно всё Sat, 03/04/2010 - 12:13 #7 Петрович Offline Last seen: 7 years 5 months ago Joined: 22.03.2009 - 01:13 Posts: 3908 Тут наверное, без анализа пунктата не разобраться.. Неоднозначно всё Sat, 03/04/2010 - 13:48 #8 Катенёв Валенти... Offline Last seen: 7 years 3 months ago Joined: 22.03.2008 - 22:15 Posts: 54876 Петрович wrote: Тут наверное, без анализа пунктата не разобраться.. Или анализа "лечения" (таблетированного) в домашних условиях. Sat, 03/04/2010 - 14:06 #9 Катенёв Валенти... Offline Last seen: 7 years 3 months ago Joined: 22.03.2008 - 22:15 Posts: 54876 Конечно были произведены томограммы в прямой проекции. Приложения: Sat, 03/04/2010 - 14:09 #10 Катенёв Валенти... Offline Last seen: 7 years 3 months ago Joined: 22.03.2008 - 22:15 Posts: 54876 Конечно, ьыли произведены и томограммы в боковой проекции. Приложения: Sat, 03/04/2010 - 14:30 #11 Петрович Offline Last seen: 7 years 5 months ago Joined: 22.03.2009 - 01:13 Posts: 3908 Хотелось бы получше увидеть бронхиальное дерево. Ведь не для выпота, наверное, томограммы делались? Неоднозначно всё Sat, 03/04/2010 - 14:44 #12 Грицько Виталий Offline Last seen: 9 years 2 months ago Joined: 05.01.2010 - 14:06 Posts: 1058 Петрович wrote: Хотелось бы получше увидеть бронхиальное дерево. Ведь не для выпота, наверное, томограммы делались? Выпот зальет, достоверно без его откачки не получится. Sat, 03/04/2010 - 14:50 #13 Петрович Offline Last seen: 7 years 5 months ago Joined: 22.03.2009 - 01:13 Posts: 3908 Грицько Виталий wrote: Петрович wrote: Хотелось бы получше увидеть бронхиальное дерево. Ведь не для выпота, наверное, томограммы делались? Выпот зальет, достоверно без его откачки не получится. Бронхи выпот не зальёт, даже не сдавит, сместит их только. Неоднозначно всё Sat, 03/04/2010 - 15:15 #14 Грицько Виталий Offline Last seen: 9 years 2 months ago Joined: 05.01.2010 - 14:06 Posts: 1058 Петрович wrote: Грицько Виталий wrote: Петрович wrote: Хотелось бы получше увидеть бронхиальное дерево. Ведь не для выпота, наверное, томограммы делались? Выпот зальет, достоверно без его откачки не получится. Бронхи выпот не зальёт, даже не сдавит, сместит их только. Затемнение такого выпота на линейке не размазывается, нормальную картинку не получиш. Тем более ловить смещеные бронхи ой как не просто.
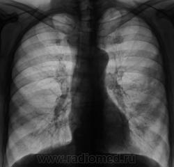
Небольшой интенсивности воспаление в S4 исключить трудно. Но видимые на картинках изменения преимущественно плеврокостальные.
Неоднозначно всё
За что боролись, на то и напоролись. Хотели - получите. А на контроле посмотрим.
Конечно "ПОСМОТРИМ", и скоро, но не разъвеет "контроль" ничего, так как "лечение" бывает всякое...
"Динамика". Через 10 дней после противовоспалительного лечения.
Может лечили не так как надо?
Дауж динамика не слабая...
Вы о чём, панове? Что я пропустил? Дайте ссылку что ли..
Неоднозначно всё
Тут наверное, без анализа пунктата не разобраться..
Неоднозначно всё
Или анализа "лечения" (таблетированного) в домашних условиях.
Конечно были произведены томограммы в прямой проекции.
Конечно, ьыли произведены и томограммы в боковой проекции.
Хотелось бы получше увидеть бронхиальное дерево. Ведь не для выпота, наверное, томограммы делались?
Неоднозначно всё
Выпот зальет, достоверно без его откачки не получится.
Неоднозначно всё
Затемнение такого выпота на линейке не размазывается, нормальную картинку не получиш. Тем более ловить смещеные бронхи ой как не просто.