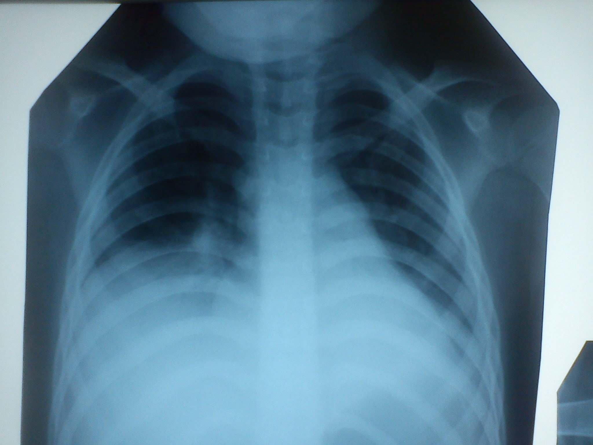
Добрый вечер. Помогите начинающему рентгенологу. Поступил ребёнок 10 лет с 2-х сторонней пневмонией. На снимке от 31.05. в нижней доли правого легкого кольцевидная тень. Что это? Абсцесс?
Вопрос: 10лет ребенку. Он инвалид? Он психически норм.? Если нет, предполагаю ателектаз справа. Средней и частично нижней , возможно аспирационный. Если так , ждите абсцесса..
На снимке от 31,05.14 кольцевидной тени нет. Скиалогический эффект. Перекрёст сосудов, рёбер создаёт такую неприятную картину. Настораживает отрицательная динамика на последней рентгенограмме от 4.06.(высокое стояние правого купола диафрагмы). Подозреваю осложнение - ателектаз. Как чувствует себя пациент? Делали ли боковую рентгенограмму?
Спасибо. Присмотрелась, а кольцевидная тень и правда скиалогия. Сегодня делали КТ, пневмония с 2-х сторон. Правый купол поднят за счёт высокого стояния печени. Ребёнок в отделении реанимации, тяжёлый, токсикоз с эксикозом.
А где снимки?
Первые 2 снимка 29.05. Второй 31.05. Третий 4.06.
Нет.
А что это?
Вопрос: 10лет ребенку. Он инвалид? Он психически норм.? Если нет, предполагаю ателектаз справа. Средней и частично нижней , возможно аспирационный. Если так , ждите абсцесса..
На снимке от 31,05.14 кольцевидной тени нет. Скиалогический эффект. Перекрёст сосудов, рёбер создаёт такую неприятную картину. Настораживает отрицательная динамика на последней рентгенограмме от 4.06.(высокое стояние правого купола диафрагмы). Подозреваю осложнение - ателектаз. Как чувствует себя пациент? Делали ли боковую рентгенограмму?
"Слушай всех, прислушивайся к немногим, решай сам".©
Тут очень нужен боковой.А так-похоже на ателектаз.
Спасибо. Присмотрелась, а кольцевидная тень и правда скиалогия. Сегодня делали КТ, пневмония с 2-х сторон. Правый купол поднят за счёт высокого стояния печени. Ребёнок в отделении реанимации, тяжёлый, токсикоз с эксикозом.