You are here

Ваше мнение? КТ

Пол пациента: 
Область исследования: 
Методы исследования: 

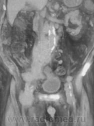
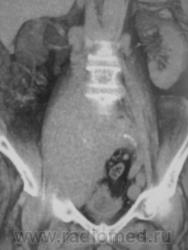
Мужчина 82 года, поступил в гнойное отделение с диагнозом: тромбофлебит? Правая нижняя конечность вдвое увеличена в объеме. Хирург отделения заподозрил опухоль таза с компрессией сосудов. По УЗИ - забрюшинная опухоль.         КТбрюшной полости: от L3 справа мягкотканная однородная опухоль с четкими ровными контурами, спускается в таз и на бедро. Плотность 45 ед.Н. Оттесняет мочевой пузырь, петли подвздошной кишки, не дифференцируется от нижней полой вены и подвздошных сосудов (нативно). Генерализованное поражение лимфоузлов брющной полости, паховые до 3-4 см. Гидронефроз справа, мочеточник оттеснен образованием значительно кпереди, на уровне L5 камень мочеточника 0.7см. Без контрастирования. Планировала на 5 апреля болюсное контрастирование, но пациента 2 апреля выписали!

Может, кто видел подобное? Велика вероятность злокачественной забрюшинной опухоли, но в 82 года такая генерализация лимфоузлов! Цитология паховых лимфоузлов в работе.

 

  

фронтальные реконструкции, плоскостные и объемные

 

Грудная полость: поражение подмышечных лимфоузлов, средостения, шеи

 

 

 

  

  • https://radiomed.ru/sites/default/files/styles/case_slider_image/public/user/2841/15Photo-0015.jpg?itok=3bDbvQeD
  • https://radiomed.ru/sites/default/files/styles/case_slider_image/public/user/2841/16Photo-0016.jpg?itok=HWLI0zki
  • https://radiomed.ru/sites/default/files/styles/case_slider_image/public/user/2841/18Photo-0018.jpg?itok=v9GSLB1x
  • https://radiomed.ru/sites/default/files/styles/case_slider_image/public/user/2841/19Photo-0019.jpg?itok=i7yfVNts
  • https://radiomed.ru/sites/default/files/styles/case_slider_image/public/user/2841/11Photo-0011.jpg?itok=sYfcg7ve
  • https://radiomed.ru/sites/default/files/styles/case_slider_image/public/user/2841/12Photo-0012.jpg?itok=JGr97ozg
  • https://radiomed.ru/sites/default/files/styles/case_slider_image/public/user/2841/24SDC10526.JPG?itok=pjGq_R4Q
  • https://radiomed.ru/sites/default/files/styles/case_slider_image/public/user/2841/25SDC10527.JPG?itok=-jmgWcCz
  • https://radiomed.ru/sites/default/files/styles/case_slider_image/public/user/2841/26SDC10529.JPG?itok=fQGFN0pm
  • https://radiomed.ru/sites/default/files/styles/case_slider_image/public/user/2841/20Photo-0020.jpg?itok=dgLLoh1i
  • https://radiomed.ru/sites/default/files/styles/case_slider_image/public/user/2841/21Photo-0021.jpg?itok=nILTaame
  • https://radiomed.ru/sites/default/files/styles/case_slider_image/public/user/2841/22Photo-0022.jpg?itok=6PQiUHHB
  • https://radiomed.ru/sites/default/files/styles/case_slider_image/public/user/2841/23Photo-0023.jpg?itok=ZJl76kRo
ID:2519
tatyana's picture
Offline
Last seen: 4 years 5 months ago
Joined: 24.06.2009 - 08:33
Posts: 2090

а позвонки интактны, возможен натечник? Из опухолей наиболее вероятна лимфома

"самоуверенность дилетантов - предмет зависти профессионалов"

Nela's picture
Offline
Last seen: 6 years 4 months ago
Joined: 12.05.2009 - 20:43
Posts: 1847

Забрюшинное образование + лимфоузлы = скорее всего лимфома.

ЛГ's picture
Offline
Last seen: 9 years 2 months ago
Joined: 06.01.2010 - 12:31
Posts: 3523

Костной деструкции не выявлено. О лимфоме тоже думала, не ожидана такая реакция практически всех л/у в таком возрасте. Может, у кого есть сходные наблюдения пациентов после 70 лет?

ElenKa's picture
Offline
Last seen: 11 years 8 months ago
Joined: 28.06.2009 - 15:11
Posts: 6

Моджно подумать о болезни Ормонда - идиопатический фиброз. Как раз характеризуется  наличием опухоли по ходу брюшной аорты и нижней поло вены, может отмечаться распространение в грудную клетку.  Проявляется чаще всего нарушениями уродинамики, так же может быть клиника тромбозов.  Часто процесс двусторонний.

С уважением, Карякина Елена!

ElenKa's picture
Offline
Last seen: 11 years 8 months ago
Joined: 28.06.2009 - 15:11
Posts: 6

У меня есть похожее наблюдение, если все сложится постараюсь его выложить а сайте.

С уважением, Карякина Елена!

ЛГ's picture
Offline
Last seen: 9 years 2 months ago
Joined: 06.01.2010 - 12:31
Posts: 3523

Спасибо, не встречалось, почитаю

Анатолий Владимирович Шумаков's picture
Offline
Last seen: 8 years 1 month ago
Joined: 16.10.2009 - 21:16
Posts: 1941
ЛГ's picture
Offline
Last seen: 9 years 2 months ago
Joined: 06.01.2010 - 12:31
Posts: 3523

Сегодня узнала результат цитологии - ЛИМФОСАРКОМА

Nela's picture
Offline
Last seen: 6 years 4 months ago
Joined: 12.05.2009 - 20:43
Posts: 1847

Спасибо за результат цитологии.

ElenKa's picture
Offline
Last seen: 11 years 8 months ago
Joined: 28.06.2009 - 15:11
Posts: 6

Спасибо за результат цитологии

С уважением, Карякина Елена!

ЛГ's picture
Offline
Last seen: 9 years 2 months ago
Joined: 06.01.2010 - 12:31
Posts: 3523

Взаимно, дважды