You are here

КТ ОБП+С Объемное гиперваскулярное образование почки. Почечно-клеточный рак

Пол пациента: 
Область исследования: 
Методы исследования: 

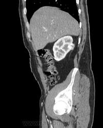
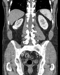
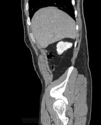
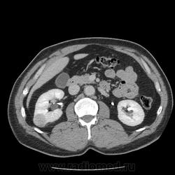
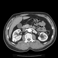
Мужчина 51 год. Жалоб не предъявляет. На УЗИ выявили образование правой почки, направили на КТ. При нативном исследовании визуализируется дополнительное объемное образование правой почки изоденсивное почечной паренхиме, в артериальную фазу наблюдается накопление контрастного вещества, образование становится гиперденсивным (гиперваскулярное), а в паренхиматозную фазу образование гиподенсивно(элиминация контраста происходит быстрее чем из паренхимы)  Susp.ПКР (гипернефрома) T1aN0M0.

Натив

Артериальная фаза

  

Паренхиматозная

Volume Rendering

  • https://radiomed.ru/sites/default/files/styles/case_slider_image/public/user/19376/img-0001-00115.jpg?itok=sTs4c4D0
  • https://radiomed.ru/sites/default/files/styles/case_slider_image/public/user/19376/img-0001-00116.jpg?itok=jeIv4CWV
  • https://radiomed.ru/sites/default/files/styles/case_slider_image/public/user/19376/img-0001-00117.jpg?itok=gQYOJzE9
  • https://radiomed.ru/sites/default/files/styles/case_slider_image/public/user/19376/img-0001-00118.jpg?itok=oYbHU8Rs
  • https://radiomed.ru/sites/default/files/styles/case_slider_image/public/user/19376/img-0001-00120.jpg?itok=5U7l-crr
  • https://radiomed.ru/sites/default/files/styles/case_slider_image/public/user/19376/img-0002-00001_4.jpg?itok=SD8MWveo
  • https://radiomed.ru/sites/default/files/styles/case_slider_image/public/user/19376/img-0003-00001_5.jpg?itok=znrN8FLN
  • https://radiomed.ru/sites/default/files/styles/case_slider_image/public/user/19376/img-0004-00001_7.jpg?itok=WbO65LMB
  • https://radiomed.ru/sites/default/files/styles/case_slider_image/public/user/19376/img-0005-00001_5.jpg?itok=fvR9Tp07
  • https://radiomed.ru/sites/default/files/styles/case_slider_image/public/user/19376/img-0002-00117_0.jpg?itok=BTPAomUh
  • https://radiomed.ru/sites/default/files/styles/case_slider_image/public/user/19376/img-0002-00124.jpg?itok=LW86vpZL
  • https://radiomed.ru/sites/default/files/styles/case_slider_image/public/user/19376/img-0002-00125.jpg?itok=WX6mP4fF
  • https://radiomed.ru/sites/default/files/styles/case_slider_image/public/user/19376/img-0002-00126.jpg?itok=atIjFYep
  • https://radiomed.ru/sites/default/files/styles/case_slider_image/public/user/19376/img-0002-00127.jpg?itok=zAw7U4pJ
  • https://radiomed.ru/sites/default/files/styles/case_slider_image/public/user/19376/img-0002-00128.jpg?itok=36a6Tlmx
  • https://radiomed.ru/sites/default/files/styles/case_slider_image/public/user/19376/img-0002-00129_0.jpg?itok=SId2gB7_
  • https://radiomed.ru/sites/default/files/styles/case_slider_image/public/user/19376/img-0002-00130.jpg?itok=D6BFVU-O
  • https://radiomed.ru/sites/default/files/styles/case_slider_image/public/user/19376/img-0002-00131.jpg?itok=X-V_HfOr
  • https://radiomed.ru/sites/default/files/styles/case_slider_image/public/user/19376/img-0002-00132_0.jpg?itok=AeVygHOJ
  • https://radiomed.ru/sites/default/files/styles/case_slider_image/public/user/19376/img-0002-00133_0.jpg?itok=tJd3GmzL
  • https://radiomed.ru/sites/default/files/styles/case_slider_image/public/user/19376/img-0002-00135.jpg?itok=0l0LyZhk
  • https://radiomed.ru/sites/default/files/styles/case_slider_image/public/user/19376/img-0002-00137_0.jpg?itok=EJ2ZW6Dp
  • https://radiomed.ru/sites/default/files/styles/case_slider_image/public/user/19376/img-0002-00139.jpg?itok=D5OZ-bZ6
  • https://radiomed.ru/sites/default/files/styles/case_slider_image/public/user/19376/img-0007-00001_5.jpg?itok=S5OgYgCk
  • https://radiomed.ru/sites/default/files/styles/case_slider_image/public/user/19376/img-0008-00001_6.jpg?itok=7qWs0eIf
  • https://radiomed.ru/sites/default/files/styles/case_slider_image/public/user/19376/img-0009-00001_5.jpg?itok=AXoq62Xc
  • https://radiomed.ru/sites/default/files/styles/case_slider_image/public/user/19376/img-0010-00001_3.jpg?itok=oMijUs3y
  • https://radiomed.ru/sites/default/files/styles/case_slider_image/public/user/19376/img-0011-00001_2.jpg?itok=G5s5j3Z8
  • https://radiomed.ru/sites/default/files/styles/case_slider_image/public/user/19376/img-0012-00001_3.jpg?itok=yt48mJJ1
  • https://radiomed.ru/sites/default/files/styles/case_slider_image/public/user/19376/img-0013-00001_3.jpg?itok=S-8p_2hJ
  • https://radiomed.ru/sites/default/files/styles/case_slider_image/public/user/19376/img-0014-00001_4.jpg?itok=hNt41QH0
  • https://radiomed.ru/sites/default/files/styles/case_slider_image/public/user/19376/img-0006-00001_4.jpg?itok=BOe4vQ7C
  • https://radiomed.ru/sites/default/files/styles/case_slider_image/public/user/19376/img-0015-00001_2.jpg?itok=1t9REEtE
  • https://radiomed.ru/sites/default/files/styles/case_slider_image/public/user/19376/img-0016-00001_3.jpg?itok=tqcxRSh2
  • https://radiomed.ru/sites/default/files/styles/case_slider_image/public/user/19376/img-0017-00001_2.jpg?itok=Q9YQ0MCM
  • https://radiomed.ru/sites/default/files/styles/case_slider_image/public/user/19376/img-0019-00001_2.jpg?itok=j4WuKHOl
  • https://radiomed.ru/sites/default/files/styles/case_slider_image/public/user/19376/img-0019-00001_3.jpg?itok=ccfVB2WS
  • https://radiomed.ru/sites/default/files/styles/case_slider_image/public/user/19376/img-0020-00001_4.jpg?itok=tYXGvE2e
  • https://radiomed.ru/sites/default/files/styles/case_slider_image/public/user/19376/img-0021-00001_2.jpg?itok=FWiHmtH3
  • https://radiomed.ru/sites/default/files/styles/case_slider_image/public/user/19376/img-0022-00001_2.jpg?itok=--VunoT2
  • https://radiomed.ru/sites/default/files/styles/case_slider_image/public/user/19376/img-0002-00617.jpg?itok=FhJaM3Ps
  • https://radiomed.ru/sites/default/files/styles/case_slider_image/public/user/19376/img-0002-00618.jpg?itok=iPXfUQlM
  • https://radiomed.ru/sites/default/files/styles/case_slider_image/public/user/19376/img-0002-00620.jpg?itok=EA9aN1-A
  • https://radiomed.ru/sites/default/files/styles/case_slider_image/public/user/19376/img-0002-00623.jpg?itok=8cvGgoxP
  • https://radiomed.ru/sites/default/files/styles/case_slider_image/public/user/19376/img-0002-00625.jpg?itok=SHhpHbyG
  • https://radiomed.ru/sites/default/files/styles/case_slider_image/public/user/19376/img-0002-00628.jpg?itok=6Vs7vkgc
  • https://radiomed.ru/sites/default/files/styles/case_slider_image/public/user/19376/img-0003-00016.jpg?itok=Z6s5bRvL
  • https://radiomed.ru/sites/default/files/styles/case_slider_image/public/user/19376/img-0003-00017_0.jpg?itok=cqK9goFh
  • https://radiomed.ru/sites/default/files/styles/case_slider_image/public/user/19376/img-0003-00018_0.jpg?itok=GLxBevjF
ID:38583
Андрей Юрьевич's picture
Offline
Last seen: 2 weeks 6 days ago
Joined: 16.11.2008 - 22:16
Posts: 18098

А почему Susp.? Картина-то достаточно характерная. Если susp., то какой предполагается диф ряд?

Андрей Юрьевич

Tatarin's picture
Offline
Last seen: 7 years 10 months ago
Joined: 06.12.2013 - 15:41
Posts: 653

Андрей Юрьевич wrote:

А почему Susp.? Картина-то достаточно характерная. Если susp., то какой предполагается диф ряд?

Дифф.ряда нет, подозрение на ПКР точнее я уверен, но все же 100% можно сказать лишь после биопсии или когда после операции материал на "стекла" даже при такой характерной картине. Всегда пищу с осторожностью, КТ ведь не дает гистологическую верификацию.

Евгений Второй's picture
Offline
Last seen: 1 week 19 hours ago
Joined: 13.09.2011 - 22:00
Posts: 1772

Последнее время всё больше убеждаюсь, что и гистология часто даёт противоречивые результаты. А M0 по одному своему исследованию ставите? Просто интересно...

Tatarin's picture
Offline
Last seen: 7 years 10 months ago
Joined: 06.12.2013 - 15:41
Posts: 653

Евгений Второй wrote:
Последнее время всё больше убеждаюсь, что и гистология часто даёт противоречивые результаты. А M0 по одному своему исследованию ставите? Просто интересно...

Вернее Mx

Андрей Юрьевич's picture
Offline
Last seen: 2 weeks 6 days ago
Joined: 16.11.2008 - 22:16
Posts: 18098

Tatarin wrote:

Андрей Юрьевич wrote:

А почему Susp.? Картина-то достаточно характерная. Если susp., то какой предполагается диф ряд?

Дифф.ряда нет, подозрение на ПКР точнее я уверен, но все же 100% можно сказать лишь после биопсии или когда после операции материал на "стекла" даже при такой характерной картине. Всегда пищу с осторожностью,...


Кто ж вас так всех напугал-то? Странно, у Прокопа есть глава "Почечно-клеточный рак". Если бы по КТ его диагностика была невозможна, он  (наверное) озаглавил бы главу  по другому, например, "Опухоли почки". Так ведь нет.

Tatarin wrote:
...КТ ведь не дает гистологическую верификацию.

Безусловно. Но никто и не провоцирует писать "Светлоклеточный рак".

Андрей Юрьевич

Tatarin's picture
Offline
Last seen: 7 years 10 months ago
Joined: 06.12.2013 - 15:41
Posts: 653

Андрей Юрьевич wrote:

Tatarin wrote:

Андрей Юрьевич wrote:

А почему Susp.? Картина-то достаточно характерная. Если susp., то какой предполагается диф ряд?

Дифф.ряда нет, подозрение на ПКР точнее я уверен, но все же 100% можно сказать лишь после биопсии или когда после операции материал на "стекла" даже при такой характерной картине. Всегда пищу с осторожностью,...


Кто ж вас так всех напугал-то? Странно, у Прокопа есть глава "Почечно-клеточный рак". Если бы по КТ его диагностика была невозможна, он  (наверное) озаглавил бы главу  по другому, например, "Опухоли почки". Так ведь нет.

Tatarin wrote:
...КТ ведь не дает гистологическую верификацию.

Безусловно. Но никто и не провоцирует писать "Светлоклеточный рак".

Читал, конечно, Прокоп-библия по КТ, но как мне кажется  случаи рака, описанные им, верифицированы гистологически взятием постоперационного материала или я очень наивен и приведенные им случаи, кроме как КТ-картиной, больше ничем не подтверждены? В плане осторожности с описанием онкологии, все же диагноз рак - это не ОРВИ какой-нибудь, и более опытные коллеги,  к.м.н. в том числе, когда работал на МРТ, советовали мне писать заключения без "лишнего фанатизма", тем более если нет mts, так сказать пиши "Объемное образование (солидное или кистозное или кистозно-солидное) там то там то и либо пиши DDs дифф.ряд или Susp. подозрение, так же применять оборот " более вероятно", но не 100%. Краеуголный камень, конечно, в том чтобы дифференцировать "зло" от "добра". Т.е. вы бы посоветовали написать в данном случае " Почечно-клеточный рак правой почки" без всяких susp.? Может я и не прав, конечно, и гиперосторожность в высказывании диагноза нарочито излишняя, но так советовали более опытные коллеги.

koriatus's picture
Offline
Last seen: 3 years 2 weeks ago
Joined: 14.06.2010 - 01:49
Posts: 452

Работаю с онкологами давно. Но первоноачально мои протколы попадают пациенту а не врачу - онкологу (особенностеь частных центров).

Поэтому писать слово "рак" не надо. Также стараться избегать слова "опухоль" в протоколе. 

Я пишу t-r или c-r.

В данном случае написал бы КТ-картина гиперваскулярной t-r (вероятно ПКР). 

Андрей Юрьевич's picture
Offline
Last seen: 2 weeks 6 days ago
Joined: 16.11.2008 - 22:16
Posts: 18098

Tatarin wrote:

....Читал, конечно, Прокоп-библия по КТ, но как мне кажется  случаи рака, описанные им, верифицированы гистологически взятием постоперационного материала или я очень наивен и приведенные им случаи, кроме как КТ-картиной, больше ничем не подтверждены? В плане осторожности с описанием онкологии, все же диагноз рак - это не ОРВИ какой-нибудь, и более опытные коллеги,  к.м.н. в том числе, когда работал на МРТ, советовали мне писать заключения без "лишнего фанатизма", ... Может я и не прав, конечно, и гиперосторожность в высказывании диагноза нарочито излишняя, но так советовали более опытные коллеги.


Это как в кулинарии: "Книга о вкусной и здоровой пище" одна, а блюда (как и заключения) у всех получаются разные.

Андрей Юрьевич

Tatarin's picture
Offline
Last seen: 7 years 10 months ago
Joined: 06.12.2013 - 15:41
Posts: 653

koriatus wrote:

Но первоноачально мои протколы попадают пациенту а не врачу - онкологу (особенностеь частных центров).

Поэтому писать слово "рак" не надо. Также стараться избегать слова "опухоль" в протоколе. 

Я пишу t-r или c-r.

То же самое мне говорили коллеги, когда работал в частном МРТ центре. Слово "рак" никогда не писал в заключении.

Tatarin's picture
Offline
Last seen: 7 years 10 months ago
Joined: 06.12.2013 - 15:41
Posts: 653

Андрей Юрьевич wrote:

Tatarin wrote:

....Читал, конечно, Прокоп-библия по КТ, но как мне кажется  случаи рака, описанные им, верифицированы гистологически взятием постоперационного материала или я очень наивен и приведенные им случаи, кроме как КТ-картиной, больше ничем не подтверждены? В плане осторожности с описанием онкологии, все же диагноз рак - это не ОРВИ какой-нибудь, и более опытные коллеги,  к.м.н. в том числе, когда работал на МРТ, советовали мне писать заключения без "лишнего фанатизма", ... Может я и не прав, конечно, и гиперосторожность в высказывании диагноза нарочито излишняя, но так советовали более опытные коллеги.


Это как в кулинарии: "Книга о вкусной и здоровой пище" одна, а блюда (как и заключения) у всех получаются разные.

Хм, какое точное сравнение. Рецепт (шаблон) один, а интерпретация  с особенностями каждого рентгенолога.

Tatarin's picture
Offline
Last seen: 7 years 10 months ago
Joined: 06.12.2013 - 15:41
Posts: 653

koriatus wrote:

В данном случае написал бы КТ-картина гиперваскулярной t-r (вероятно ПКР). 

Так и написал.

Tatarin's picture
Offline
Last seen: 7 years 10 months ago
Joined: 06.12.2013 - 15:41
Posts: 653

Tatarin wrote:

koriatus wrote:

В данном случае написал бы КТ-картина гиперваскулярной t-r (вероятно ПКР). 

Так и написал.

Только вместо "вероятно" написал suspiсio ПКР (подозреваю ПКР)

Андрей Юрьевич's picture
Offline
Last seen: 2 weeks 6 days ago
Joined: 16.11.2008 - 22:16
Posts: 18098

Tatarin wrote:

....Только вместо "вероятно" написал suspiсio ПКР (подозреваю ПКР)

(мирно и благожелательно): Вот это-то Suspicio и выглядит для меня (ТОЛЬКО ДЛЯ МЕНЯ, чистая вкусовщина, если что) "бревном в глазу": "Больной пришел на исследование с суспицио и ушел с суспицио. Зачем КТ делали?"

Андрей Юрьевич

Tatarin's picture
Offline
Last seen: 7 years 10 months ago
Joined: 06.12.2013 - 15:41
Posts: 653

Андрей Юрьевич wrote:

Tatarin wrote:

....Только вместо "вероятно" написал suspiсio ПКР (подозреваю ПКР)

(мирно и благожелательно): Вот это-то Suspicio и выглядит для меня (ТОЛЬКО ДЛЯ МЕНЯ, чистая вкусовщина, если что) "бревном в глазу": "Больной пришел на исследование с суспицио и ушел с суспицио. Зачем КТ делали?"

Я, наоборот, только рад поучиться у более опытных коллег и рад любым замечаниям. Вы правы, получается что кто то подозревал или предпологал рак и направил на КТ для подтверждения или опровержения диагноза, а врач КТ кабинета все также продолжает подозревать...smiley и получается ситуация не проясняется а только все подозреваютsmiley Я правильно уловил вашу мысль?

Андрей Юрьевич's picture
Offline
Last seen: 2 weeks 6 days ago
Joined: 16.11.2008 - 22:16
Posts: 18098

Tatarin wrote:

Андрей Юрьевич wrote:

Tatarin wrote:

....Только вместо "вероятно" написал suspiсio ПКР (подозреваю ПКР)

(мирно и благожелательно): Вот это-то Suspicio и выглядит для меня (ТОЛЬКО ДЛЯ МЕНЯ, чистая вкусовщина, если что) "бревном в глазу": "Больной пришел на исследование с суспицио и ушел с суспицио. Зачем КТ делали?"

Я, наоборот, только рад поучиться у более опытных коллег и рад любым замечаниям. Вы правы, получается что кто то подозревал или предпологал рак и направил на КТ для подтверждения или опровержения диагноза, а врач КТ кабинета все также продолжает подозревать...smiley и получается ситуация не проясняется а только все подозреваютsmiley Я правильно уловил вашу мысль?


Вот именно...

Андрей Юрьевич

Tatarin's picture
Offline
Last seen: 7 years 10 months ago
Joined: 06.12.2013 - 15:41
Posts: 653

Я, наоборот, только рад поучиться у более опытных коллег и рад любым замечаниям. Вы правы, получается что кто то подозревал или предпологал рак и направил на КТ для подтверждения или опровержения диагноза, а врач КТ кабинета все также продолжает подозревать...smiley и получается ситуация не проясняется а только все подозреваютsmiley Я правильно уловил вашу мысль?

[/quote]
Вот именно...

[/quote]

Спасибо, что подсказали, учту в дальнейшей работе.

Tatarin's picture
Offline
Last seen: 7 years 10 months ago
Joined: 06.12.2013 - 15:41
Posts: 653

Контроль после клиновидной резекции среднего сегмента правой почки. Гистологически: ПКР смешанный (светло+темноклеточный) G1.

Приложения: 
pkr.jpgimg-0001-00001.jpgimg-0001-00002.jpgimg-0001-00003.jpgimg-0001-00004.jpgimg-0001-00005.jpgimg-0001-00006.jpgimg-0001-00007.jpgimg-0001-00008.jpgimg-0001-00009.jpgimg-0001-00010.jpgimg-0001-00011.jpgimg-0001-00012.jpgimg-0001-00013.jpgimg-0001-00014.jpgimg-0001-00015.jpgimg-0001-00016.jpgimg-0001-00017.jpgimg-0001-00018.jpgimg-0001-00019.jpgimg-0001-00020.jpgimg-0001-00021.jpgimg-0001-00022.jpgimg-0001-00023.jpgimg-0001-00024.jpg