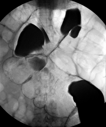
Данная пациентка(60 лет) была направлена к концу недели на исключение органической патологии, могу сказать исследование затянулось до получаса. Газ не вводился, снимки делались без предворительного увеличения.
Ну допустим газ не вводили. А как насчет подготовки к исследованию?
Подготовка была фортрансом, хорошо тогда обратимся к жалобам, с пациенткой я разговаривал её беспокоят стабильно по 3-4 дня запоры.
А газ на самом деле не вводился, да и подготовка желает лучшего, восходящий отдел я так и четко не увидел, а мои 400мл рентген-контрастного вещества как капля в море, пришлось ещё 1 литр вводить.
"Знаешь, у некоторых врачей есть комплекс мессии — им необходимо спасать мир. А у тебя комплекс Рубика — тебе необходимо решать головоломки."
Пациентка мне показалась интересна в плане демонстрационного случая долихомегаколона сигмовидного отдела ободочной кишки, на самом деле ей проводили и до меня ирригоскопию и ФКС по месту жительства, эндоскопическая картина совпадает с данной рентгенологической, эндоскописты описали "сигму" сравнивая её с мешком. Видно гипотонию и сглаженность гаустрации сигмовидного отдела ободочной кишки, поперечник значительно увеличен, можно отметить удлинение и дополнительный изгиб.
"Знаешь, у некоторых врачей есть комплекс мессии — им необходимо спасать мир. А у тебя комплекс Рубика — тебе необходимо решать головоломки."
Коллеги, интересно Ваше мнение по поводу использования фортранса при подготовке к ирригоскопии. Пациентам и, особенно, персоналу конечно легче. Эндоскопистам тоже хорошо. Но на практике столкнулась с аналогичной ситуацией: кишка раздута газом, практически весь контраст остается в прямой и сигмовидной кишке, а заполнить или хотя бы обмазать правую половину толстой кишки не удается из-за газа... В результате, мы вернулись к клизмам
А мы даем пациентам подготовку на выбор или фортрансом или бисакодилом с магнезией (за исключением бабушек и дедушек-им клизмы). Где то читала, что от фортранса в кишке образуется избыточное кол-во жидкости перед исследованием, что мешает проведению ирригоскопии и эндоскопии.
А я всегда пациентам рекомендую фортранс и подготовка у них хорошая, хотя имеются противоречия с коллегами использующие тугое наполнение.
Но, Виталий Валерьевич! Ваш нынешний случай все же демострирует обратное! Получается как-бы двойное контрастирование наоборот
Что касается слабительных таких как бисакодил, магнезия, то в наших условиях (онкология, возрастные пациенты) их недостаточно для хорошей подготовки, кроме того, эти средства влияют на перистальтику
Татьяна Валентиновна, надо учесть у пациентка имеется мегаколон, это не значит, что у каждого пациента это наблюдается. У меня за 2 года работы такое впервые, в данном случае проблема в значительной гипотонии, я могу точно сказать на любую долихосигму хватит 400мл рентген-контрастного вещества для того что бы законтрастировать правые отделы, при адекватной подготовке, которая кстати за счет фортранса достегается.
"Знаешь, у некоторых врачей есть комплекс мессии — им необходимо спасать мир. А у тебя комплекс Рубика — тебе необходимо решать головоломки."
Да кстати, в данном случае можно считать метода была традиционной, 1,5 литра рентген-контрастного вещества, а правые отделы забиты кишечным содержимым.
"Знаешь, у некоторых врачей есть комплекс мессии — им необходимо спасать мир. А у тебя комплекс Рубика — тебе необходимо решать головоломки."
А Вы сколько и по какой схеме фортранс даете? Может нам дозу убавить, а то очищен кишечник хорошо, но реальная проблема после фортранса, когда толстая, а иногда и тонкая кишка раздута газом
А Вы сколько и по какой схеме фортранс даете? Может нам дозу убавить, а то очищен кишечник хорошо, но реальная проблема после фортранса, когда толстая, а иногда и тонкая кишка раздута газом
Хм.. А я обычно рекомендовал его в сравнении с касторовым маслом и магнезией, что он не является таким уж газообразующим. Другое дело что есть индивидуумы принявшие ужин часов в 6-7 и все это благополучно запили фортрансом то там конечно, все в пустую. Если пациент придерживается рекомендации по приему пищи последний раз в 3 час и начала приема фортранса с 6 часов, все прекрасно получается. Прием препарата расписан в натации, мы ни чего не придумываем.
"Знаешь, у некоторых врачей есть комплекс мессии — им необходимо спасать мир. А у тебя комплекс Рубика — тебе необходимо решать головоломки."
У фортранса имеется побочное действие- вздутие, см выше. При его применении необходимо выпить довольно большой объем жидкости ,больная это сделала?
Вздутие или не вздутие, данный случай не является никаким примером, тут и без фортранса ясно что является причиной длительных запоров. А если даже и есть газообразование нашим легче.
"Знаешь, у некоторых врачей есть комплекс мессии — им необходимо спасать мир. А у тебя комплекс Рубика — тебе необходимо решать головоломки."
Надо отметить Татьяна Валентиновна, что весь смысл в осмотическом эффекте данного препарата, т.е. 3 литра это минимум, да возможно одним из побочных эффектов вздутие живота. Впринципе кому как, мне это даже на руку.
"Знаешь, у некоторых врачей есть комплекс мессии — им необходимо спасать мир. А у тебя комплекс Рубика — тебе необходимо решать головоломки."
ого,
ничего себе у вас газ не вводился
Ну допустим газ не вводили. А как насчет подготовки к исследованию?
Подготовка была фортрансом, хорошо тогда обратимся к жалобам, с пациенткой я разговаривал её беспокоят стабильно по 3-4 дня запоры.
А газ на самом деле не вводился, да и подготовка желает лучшего, восходящий отдел я так и четко не увидел, а мои 400мл рентген-контрастного вещества как капля в море, пришлось ещё 1 литр вводить.
"Знаешь, у некоторых врачей есть комплекс мессии — им необходимо спасать мир. А у тебя комплекс Рубика — тебе необходимо решать головоломки."
Пациентка мне показалась интересна в плане демонстрационного случая долихомегаколона сигмовидного отдела ободочной кишки, на самом деле ей проводили и до меня ирригоскопию и ФКС по месту жительства, эндоскопическая картина совпадает с данной рентгенологической, эндоскописты описали "сигму" сравнивая её с мешком. Видно гипотонию и сглаженность гаустрации сигмовидного отдела ободочной кишки, поперечник значительно увеличен, можно отметить удлинение и дополнительный изгиб.
"Знаешь, у некоторых врачей есть комплекс мессии — им необходимо спасать мир. А у тебя комплекс Рубика — тебе необходимо решать головоломки."
Коллеги, интересно Ваше мнение по поводу использования фортранса при подготовке к ирригоскопии. Пациентам и, особенно, персоналу конечно легче. Эндоскопистам тоже хорошо. Но на практике столкнулась с аналогичной ситуацией: кишка раздута газом, практически весь контраст остается в прямой и сигмовидной кишке, а заполнить или хотя бы обмазать правую половину толстой кишки не удается из-за газа... В результате, мы вернулись к клизмам
"самоуверенность дилетантов - предмет зависти профессионалов"
А я всегда пациентам рекомендую фортранс и подготовка у них хорошая, хотя имеются противоречия с коллегами использующие тугое наполнение.
"Знаешь, у некоторых врачей есть комплекс мессии — им необходимо спасать мир. А у тебя комплекс Рубика — тебе необходимо решать головоломки."
А мы даем пациентам подготовку на выбор или фортрансом или бисакодилом с магнезией (за исключением бабушек и дедушек-им клизмы). Где то читала, что от фортранса в кишке образуется избыточное кол-во жидкости перед исследованием, что мешает проведению ирригоскопии и эндоскопии.
Но, Виталий Валерьевич! Ваш нынешний случай все же демострирует обратное! Получается как-бы двойное контрастирование наоборот
Что касается слабительных таких как бисакодил, магнезия, то в наших условиях (онкология, возрастные пациенты) их недостаточно для хорошей подготовки, кроме того, эти средства влияют на перистальтику
"самоуверенность дилетантов - предмет зависти профессионалов"
Татьяна Валентиновна, надо учесть у пациентка имеется мегаколон, это не значит, что у каждого пациента это наблюдается. У меня за 2 года работы такое впервые, в данном случае проблема в значительной гипотонии, я могу точно сказать на любую долихосигму хватит 400мл рентген-контрастного вещества для того что бы законтрастировать правые отделы, при адекватной подготовке, которая кстати за счет фортранса достегается.
"Знаешь, у некоторых врачей есть комплекс мессии — им необходимо спасать мир. А у тебя комплекс Рубика — тебе необходимо решать головоломки."
Да кстати, в данном случае можно считать метода была традиционной, 1,5 литра рентген-контрастного вещества, а правые отделы забиты кишечным содержимым.
"Знаешь, у некоторых врачей есть комплекс мессии — им необходимо спасать мир. А у тебя комплекс Рубика — тебе необходимо решать головоломки."
А Вы сколько и по какой схеме фортранс даете? Может нам дозу убавить, а то очищен кишечник хорошо, но реальная проблема после фортранса, когда толстая, а иногда и тонкая кишка раздута газом
"самоуверенность дилетантов - предмет зависти профессионалов"
Хм.. А я обычно рекомендовал его в сравнении с касторовым маслом и магнезией, что он не является таким уж газообразующим. Другое дело что есть индивидуумы принявшие ужин часов в 6-7 и все это благополучно запили фортрансом то там конечно, все в пустую. Если пациент придерживается рекомендации по приему пищи последний раз в 3 час и начала приема фортранса с 6 часов, все прекрасно получается. Прием препарата расписан в натации, мы ни чего не придумываем.
"Знаешь, у некоторых врачей есть комплекс мессии — им необходимо спасать мир. А у тебя комплекс Рубика — тебе необходимо решать головоломки."
Хм, странно, у нас все также... Попробую разобраться в чем дело, спасибо!
"самоуверенность дилетантов - предмет зависти профессионалов"
У фортранса имеется побочное действие- вздутие, см выше. При его применении необходимо выпить довольно большой объем жидкости ,больная это сделала?
Да, конечно, многие пациенты кстати жалуются, что много жидкости приходится пить. Возможно, вопрос в том, сколько жидкости выпито на самом деле
"самоуверенность дилетантов - предмет зависти профессионалов"
Вздутие или не вздутие, данный случай не является никаким примером, тут и без фортранса ясно что является причиной длительных запоров. А если даже и есть газообразование нашим легче.
"Знаешь, у некоторых врачей есть комплекс мессии — им необходимо спасать мир. А у тебя комплекс Рубика — тебе необходимо решать головоломки."
Надо отметить Татьяна Валентиновна, что весь смысл в осмотическом эффекте данного препарата, т.е. 3 литра это минимум, да возможно одним из побочных эффектов вздутие живота. Впринципе кому как, мне это даже на руку.
"Знаешь, у некоторых врачей есть комплекс мессии — им необходимо спасать мир. А у тебя комплекс Рубика — тебе необходимо решать головоломки."