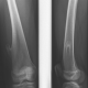
Пол пациента: Мужской пол Тип патологии: Доброкачественное новообразование, киста Область исследования: Скелетно-мышечная система Методы исследования: Rg Ребенок направлен детским травматологом. ID:2838 Mon, 12/04/2010 - 17:54 #1 tatyana Offline Last seen: 4 years 3 months ago Joined: 24.06.2009 - 08:33 Posts: 2090 не экзофит, а костно-хрящевой экзостоз! имеет смысл поискать еще... "самоуверенность дилетантов - предмет зависти профессионалов" Mon, 12/04/2010 - 18:09 #2 Ola-la Offline Last seen: 11 months 3 weeks ago Joined: 06.12.2008 - 09:33 Posts: 1786 Самый, что ни на есть, настоящий экзостоз. https://www.instagram.com/pediatricradiology/ Mon, 12/04/2010 - 18:15 #3 v1tal Offline Last seen: 4 years 10 months ago Joined: 07.06.2008 - 19:41 Posts: 1779 Был направлен именно на "экзофит?". Со слов ребенка впринципе ни чего подобного его не беспокоит. "Знаешь, у некоторых врачей есть комплекс мессии — им необходимо спасать мир. А у тебя комплекс Рубика — тебе необходимо решать головоломки."
не экзофит, а костно-хрящевой экзостоз! имеет смысл поискать еще...
"самоуверенность дилетантов - предмет зависти профессионалов"
Самый, что ни на есть, настоящий экзостоз.
https://www.instagram.com/pediatricradiology/
Был направлен именно на "экзофит?". Со слов ребенка впринципе ни чего подобного его не беспокоит.
"Знаешь, у некоторых врачей есть комплекс мессии — им необходимо спасать мир. А у тебя комплекс Рубика — тебе необходимо решать головоломки."