Пол пациента:
Тип патологии:
Область исследования:
Методы исследования:
- https://radiomed.ru/sites/default/files/styles/case_slider_image/public/user/12/2.Doch_.JPG?itok=iwyFjZWa
- https://radiomed.ru/sites/default/files/styles/case_slider_image/public/user/12/3.Doch_.jpg?itok=cGJyJwl6
- https://radiomed.ru/sites/default/files/styles/case_slider_image/public/user/12/4.Doch_.jpg?itok=qwQCsqRC
- https://radiomed.ru/sites/default/files/styles/case_slider_image/public/user/12/5.Doch_.JPG?itok=ngMEOLFq
- https://radiomed.ru/sites/default/files/styles/case_slider_image/public/user/12/6.Doch_..jpg?itok=4QSD8oIe
ID:2906
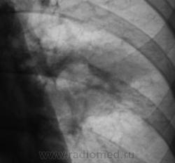
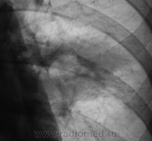
Томограммы.
Валентин Львович, у Вас там можно открывать туб центр, куда не плюнь туберкулез
Нас, вообще можно делать "спец.зоной".
а что это присоединилось к правому корню
Данный случай сегодня будет продолжен в очень интересном, возможно, даже социальном ракурсе. Представленные изображения, являются изображениями пациентки, у которой ранее в 2009 году, при флюорографическим исследовании изменений не было найдено.
В 2009 году, данная пациентка направлялась на флюорографии, как "контактная", так как её папенька - "тубарь" со стажем в прошлом году "почил" от очередного обострения в спец. ЛПУ. Но, как было сказано ранее флюорограмма за 2009 год - "чистая".
Но вот сегодня, запущенный бредень (или сети) "выловили" семейно контактирующих. Часть "улова" будет представлено в данной ветке сегодня.
Здравствуйте, Валентин Львович! Т.е. Вы хотите сказать, что все ЭТО всего за год появилось? Уж нет ли у барышни СПИДа? Что так рьяно за нее туберкулез взялся...
Болезни ног: виды, симптомы, причины, профилактика и лечение
Здравствуйте Виктор Григорьевич! Флюорограмма за 2009 год этой "барышни" рассматривалась пристрастно не только мною (в плане ретроспективы), но и коллегами из ОПТД, которые цепляются к каждому "очажку", но прицепиться было не к чему. По поводу содружества со "СПИД" - не знаю не ведаю, но думаю, что со временем не будет ни того, ни другого, наступит братсво и единение, которое, возможно будет носить название - "Тубоспид" или "Спидотуб", а возможно - "Сборная современная хрень", ведь никто не исключапет и присоединение чего - то третьего, пока не установленного, но весьма модного и очень современного - "ТРИ - В ОДНОМ".
Сегодняшнее дообследование части "кланово-семейного гнезда" коллегу фтизиатра потрясла "до не могу..и не хочу". Однако, представители "клана" улыбаются, весьма активные и контактируют со всем селом, где проживают.
В общем, продолжение следует.
Признаться - мне понравилось... о "хрени"....только учитывая увиденное и прочитанное - наверное, будет "одно - у троих"...или и того поболеее....
Болезни ног: виды, симптомы, причины, профилактика и лечение
Трое - это мелочь - числом поболее, ценою - подешевле. После контактов с такими "человеками" начиешь сомневаться, что венцом "творения Господня" был человек.
Я, был не прав Виктор Григорьевич. У них еще одна "вавка" есть. Оказалось, что "они" все, которые сегодня будут представлены, находятся на учете у психиатра.
Юноша - "брат хозяйки ветки", сын, "почившего" в прошлом году. Ни в 2008, ни в 2009 на флюорограммах изменений выявлено не было.
Вопросов, как говориться, не имеется...факт налицо....
Болезни ног: виды, симптомы, причины, профилактика и лечение
Я намеренно, в некоторых случаях "даю" второй снимок с обработкой, дабы стали видимыми "мягкие" очаговые и другие компоненты.
Юноша нигде не работает и не учится, живет в своё удовольствие - "по селу ходящий, девок любящий".
"Золушка" - сестра хозяйки ветки, тоже дочь "почившего".
Плеврит, естественно...тоже туберкулезный....
Болезни ног: виды, симптомы, причины, профилактика и лечение
Но, ведь "золушка", "брат хозяйки ветки", да и сама "хозяйка ветки", менее, чем год тому проходили "флюшку", архив есть, и снимки чисты, как голуби. Откуда "взрыв"? Или "подстава", то, чья подстава?
По поводу подставы - сравнивайте грудные клетки...не хуже меня знаете, особенно первые ребра - они как паспорт...сразу эту часть вопроса решите, а касаемо взрыва - при тесном контакте ТАКОГО контингента это и не удивительно, у нас есть дома, где туберкулез уже у многих жителей даже в соседних квартирах...расползается как спрут...
Болезни ног: виды, симптомы, причины, профилактика и лечение
Текущая информация.
У "Золушки" и "хозяйки ветки" - детки груднички. Одного фтизиатры уже считают своим - почти мелкоочаговая диссеминация, делали на пленке, пленка "уехала" в областное ЛПУ, так, что изображения представить не смогу, смогу только после контроля. Другой младенец надеюсь скоро проявится у нас.
Вспомнил, как-то случайно, о "грозном свинном гриппе", с которым наше МЗ очень активно боролось.
А, подстава, надеюсь со временем вылезет. Насчет "паспорта" согласен.
Встрял сюда по ошибке.
Неоднозначно всё
"Крутой ПЛЕМЯШ"
Но, эта часть "семейного клана" приехала с "момой", женой почившего в 2009 году. Мама, как "Контактная" две недели тому была направлена на цифровую флюорографию, которая была ей и произведена.
На флюшке, вроде-бы все в полном ажуре, и только справа в косто-диафрагмальном синусе незначительное количество жидкости, а так - "все в высшей степени достойно".
И где-то, чисто интуитивно, почувствовав недоверие к "маме" решили "разрезать".
Срезы "мамы".
Чувствую, что "дело" принимает серъёзный оборот. Опасаюсь за коллегу фтизиатра, близок к суициду. Оказалось, что "маму" мы посылали и в 2008 и 2009 г. в областное спецучреждение (снимки выложу в понедельник или вторник), но из ОПТД на нас положили "нежный взгляд" и "кроткую улыбку" - тогда, оказывается "ДАННЫХ" за процесс не было...
Интересный "семейный" случай...
Дааа, очень...
Не то слово)
И интересно представлен. Спасибо.
До боли знакомо.
такие матерые "упертые" фтизиатры, аж страшно
По-видимому, семейка сильно подпортила статистику фтизиатрам.
Здравствуйте Дорогая Галина Анатольевна!
Да, сильно...
Добрый вечер, Валентин Львович! Соскучилась по сайту. На сегодняшний день заметила много вкусненького от Вас. Хотела полчасика тут потусоваться, но, чувствую, что "застряну" дольше.
Застряньте Милейшая Галина Анатольевна, застряньте, как застряли эти двое под известным деревом...
"Слушай всех, прислушивайся к немногим, решай сам".©
Если Вы об "энтом", так здря..., я ведь сельский житель..., а селяне весной не кобелируют, так как дел по горло, да и сейчас немало... и рассада, и животина и пр. и пр.
Куда ж от Вас денешься, коли столько яств на сайте и соблазнов? Уже застряла! А ведь столько предпраздничных дел! Соблазнитель!
( последнее-только по случаю праздника!)
Так это же женский, а не мужской праздник...
Таки все праздники женские, это ж все мужики знают!
Но сегодня-завтра мы вас 
!
На "энто" намекаете?
Ага.