You are here

Фабелла, партита или хондроматозом побита?..

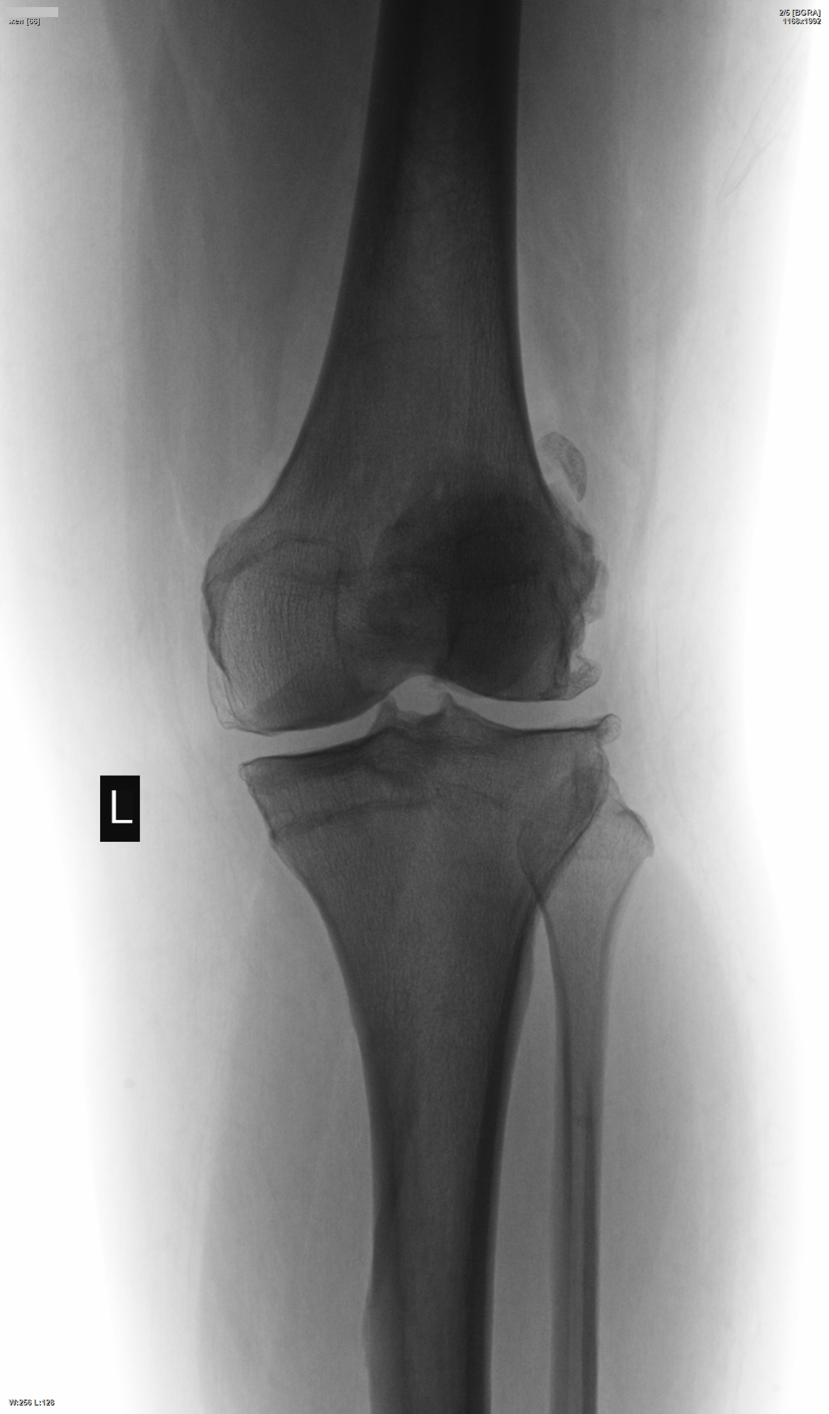
Женщина за 60 лет. Артрозом страдает давно. Как лечится не узнавал. Но в свете истории с "описанием снимков" и хондроматозом за 5 месяцев лечения артроза, решил показать. Кто что видит - на чём будем защиту строить? Или сразу УЗИ/МРТ предлагать?)

      

  • https://radiomed.ru/sites/default/files/styles/case_slider_image/public/user/19832/381_lst_0001.png?itok=wBnm90Bc
  • https://radiomed.ru/sites/default/files/styles/case_slider_image/public/user/19832/381_lst_0002.png?itok=mr0om42Z
  • https://radiomed.ru/sites/default/files/styles/case_slider_image/public/user/19832/381_lst_0003.png?itok=zH5sT_OD
  • https://radiomed.ru/sites/default/files/styles/case_slider_image/public/user/19832/381_lst_a.png?itok=v0Mninjv
  • https://radiomed.ru/sites/default/files/styles/case_slider_image/public/user/19832/381_lst_b.png?itok=HOFftHGj
ID:45672
NIL's picture
NIL
Offline
Last seen: 1 month 1 week ago
Joined: 25.11.2013 - 20:50
Posts: 18208

В левом коленном суставе "партиту" вижу. Хондромные тела в обоих суставах в наличии.По поводу фабелллы в правом коленном суставе посомневалась и решила хондроматозом ограничиться.

Приложения: 
381_lst_0001.png


"Слушай всех, прислушивайся к немногим, решай сам".©

Сан Саныч1's picture
Offline
Last seen: 1 year 1 month ago
Joined: 07.06.2010 - 21:17
Posts: 2114

Артроз. Хондромные тела локализуются в заворотах суставной сумки.

Хочешь сделать что-то нормально - сделай это сам!

Nobody's picture
Offline
Last seen: 11 years 2 months ago
Joined: 15.03.2014 - 20:29
Posts: 2013

Сан Саныч1 wrote:

Артроз. Хондромные тела локализуются в заворотах суставной сумки.

Сан Саныч, а что я на снимках такое точками обвёл-начертил - что за тела такие? Локализация не та, но для кости не очень для того, что в суставе спрятался. И фабелла совсем хрящевая стала?.. Возраст всему виной или всё-таки что-то ещё помогло, подскажете, а?..

"Лишь утратив всё до конца, мы обретаем свободу." F.C.

Сан Саныч1's picture
Offline
Last seen: 1 year 1 month ago
Joined: 07.06.2010 - 21:17
Posts: 2114

Никто, тут только артроз. Остальное - игра теней и воображения.

Хочешь сделать что-то нормально - сделай это сам!

Nobody's picture
Offline
Last seen: 11 years 2 months ago
Joined: 15.03.2014 - 20:29
Posts: 2013

Сан Саныч, нравится мне, что Вы уверены в своих словах.

А если так. В этом примере - тоже нет Никого, кроме артроза банального? Очередная игра воображения из теней или есть чего-то ещё?;)

Приложения: 
39.png39_0001.png

"Лишь утратив всё до конца, мы обретаем свободу." F.C.