You are here

Алаверды по поводу мозолистого тела и не только

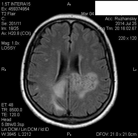
Мама приятельницы.Нарушение походки в течение 2-3 месяцев.

 

  • https://radiomed.ru/sites/default/files/styles/case_slider_image/public/user/5662/pechen2.jpg?itok=hLI92V5M
  • https://radiomed.ru/sites/default/files/styles/case_slider_image/public/user/5662/pechen3.jpg?itok=xNhv-4Xa
  • https://radiomed.ru/sites/default/files/styles/case_slider_image/public/user/5662/pechen4.jpg?itok=hY5nZEK7
  • https://radiomed.ru/sites/default/files/styles/case_slider_image/public/user/5662/pechen6.jpg?itok=4rwf-Ct6
  • https://radiomed.ru/sites/default/files/styles/case_slider_image/public/user/5662/pechen7.jpg?itok=_nY6b0bX
  • https://radiomed.ru/sites/default/files/styles/case_slider_image/public/user/5662/pechen8.jpg?itok=TxraRTuK
  • https://radiomed.ru/sites/default/files/styles/case_slider_image/public/user/5662/pechen9.jpg?itok=PzZ-8ani
  • https://radiomed.ru/sites/default/files/styles/case_slider_image/public/user/5662/pechen10.jpg?itok=hcbUG6X6
  • https://radiomed.ru/sites/default/files/styles/case_slider_image/public/user/5662/pechen11.jpg?itok=T6ISHs1E
  • https://radiomed.ru/sites/default/files/styles/case_slider_image/public/user/5662/pechen12.jpg?itok=oLfQnGli
  • https://radiomed.ru/sites/default/files/styles/case_slider_image/public/user/5662/pechen13.jpg?itok=FVDSOCos
  • https://radiomed.ru/sites/default/files/styles/case_slider_image/public/user/5662/pechen14.jpg?itok=n957Ou0l
  • https://radiomed.ru/sites/default/files/styles/case_slider_image/public/user/5662/pechen15.jpg?itok=th-7Ia6d
  • https://radiomed.ru/sites/default/files/styles/case_slider_image/public/user/5662/pechen16.jpg?itok=B1ITL9jI
  • https://radiomed.ru/sites/default/files/styles/case_slider_image/public/user/5662/pechen17.jpg?itok=hqcnamhn
ID:45791
Tatarin's picture
Offline
Last seen: 7 years 12 months ago
Joined: 06.12.2013 - 15:41
Posts: 653

 DDs: рассеянный склероз, токсоплазмоз, mts.

Nela's picture
Offline
Last seen: 6 years 2 months ago
Joined: 12.05.2009 - 20:43
Posts: 1847

Рассеянный склероз вряд ли. Я бы добавила лимфому и глиобластому.

Helios's picture
Offline
Last seen: 9 months 1 week ago
Joined: 06.08.2010 - 15:16
Posts: 4417

Nela wrote:
Рассеянный склероз вряд ли. Я бы добавила лимфому и глиобластому.

+1

Helios's picture
Offline
Last seen: 9 months 1 week ago
Joined: 06.08.2010 - 15:16
Posts: 4417

Правда, токсоплазмоз не включала в дифф.ряд.

Tatarin's picture
Offline
Last seen: 7 years 12 months ago
Joined: 06.12.2013 - 15:41
Posts: 653

Да, глиобластому туда же, забыл про нее.

Tatarin's picture
Offline
Last seen: 7 years 12 months ago
Joined: 06.12.2013 - 15:41
Posts: 653

Думается больше о глиобластоме в форме бабочки. Из книги "Диагностическая нейрорадиология". Корниенко, Пронин.

Приложения: 
gb.jpggb.jpggb2.jpggb3.jpggb4.jpggb5.jpggb6.jpggb7.jpggb8.jpggb9.jpggb10.jpg
Евгений Магонов's picture
Offline
Last seen: 3 weeks 14 hours ago
Joined: 07.03.2008 - 15:28
Posts: 1269

На РС точно не похоже. Токсоплазмоз - навряд ли, т.к. "мама приятельницы", а это чаще всего бывает у ВИЧ-инфицированных.

+1 к глиобластоме.

Добрый админ

Helios's picture
Offline
Last seen: 9 months 1 week ago
Joined: 06.08.2010 - 15:16
Posts: 4417

Хочется позвонить и узнать , но  рука не поднимается.

Они надеялись на инсульт, а тут такое.

Dima's picture
Offline
Last seen: 7 years 4 months ago
Joined: 05.08.2012 - 17:39
Posts: 2467

Да, больше данных за опухоль.

Терпимость - это когда прощают чужие ошибки; такт - когда не замечают их. (Артур Шницлер)

Helios's picture
Offline
Last seen: 9 months 1 week ago
Joined: 06.08.2010 - 15:16
Posts: 4417

Сегодня узнала: нейрохирурги за лимфому.Сделали КТ и подтвердили .

Сейчас  уточняют план лечения.

Tatarin's picture
Offline
Last seen: 7 years 12 months ago
Joined: 06.12.2013 - 15:41
Posts: 653

КТ-перфузию, наверное, делали? А CBV, CBF, MTT не знаете сколько было? При лимфоме CBF будет снижен, MTT выше, а накопление контраста интенсивное на постконтрасте, сканы бы и карты глянуть, если есть возможность. Что уж, похожи эти две " бяки" и очаговостью и кольцевидным типом накопления контраста и наличием некроза, кт перфузия, конечно, добавит информации. Стереотоксическую биопсию не будут делать? Лечение=химия+лучи, операция малоэффективна. Все равно- печалька.

Helios's picture
Offline
Last seen: 9 months 1 week ago
Joined: 06.08.2010 - 15:16
Posts: 4417

Коллега( простите, не знаю Вашего имени), вряд ли все это делали.Просто КТ, скорее всего.

Могу узнать позже немного.

Nela's picture
Offline
Last seen: 6 years 2 months ago
Joined: 12.05.2009 - 20:43
Posts: 1847

Лимфома тоже не подарок. Но без биопсии вряд ли можно однозначно поставить лимфому.

Helios's picture
Offline
Last seen: 9 months 1 week ago
Joined: 06.08.2010 - 15:16
Posts: 4417

Согласна. Данные обследований будут отправлять в Москву, а там уже  будут определяться.

Tatarin's picture
Offline
Last seen: 7 years 12 months ago
Joined: 06.12.2013 - 15:41
Posts: 653

Я не гордый можно просто, Татарин))) Хм теперь мне не понятно как могли просто постконтрастным КТ подтвердить лимфому? Будут очаги, накапливающие контраст, диф.ряд не более, кт с контрастом не специфичней и чувствительней МРТ с контрастом, а вот CT Perfussion- это уже интереснее и конкретно специфичней для лимфомы. Очаги интенсивно накапливающие контраст, значит гиперваскулярность, но Cerebral Blood Flow церебральный кровоток будет снижен по сравнению с нормальной ткань мозга, а Mean Transit Time среднее время прохождения крови будет выше. Без перфузии нельзя точно говорить о лимфоме. Данный пакет программ по моему есть на каждой рабочей станции и делается несложно.

Helios's picture
Offline
Last seen: 9 months 1 week ago
Joined: 06.08.2010 - 15:16
Posts: 4417

Пока не могу сказать.

Если узнаю, то сообщу.

Tatarin's picture
Offline
Last seen: 7 years 12 months ago
Joined: 06.12.2013 - 15:41
Posts: 653

Новостей нет по данной теме? А то оч.интересно. Вот еще накопал статью про диф.ряд поражений мозолистого тела http://www.ajronline.org/doi/pdf/10.2214/AJR.11.8080

Helios's picture
Offline
Last seen: 9 months 1 week ago
Joined: 06.08.2010 - 15:16
Posts: 4417

Пока нет.

Если что-то будет известно, то отпишусь.

За статью спасибо!

Dima's picture
Offline
Last seen: 7 years 4 months ago
Joined: 05.08.2012 - 17:39
Posts: 2467

Tatarin wrote:

Новостей нет по данной теме? А то оч.интересно. Вот еще накопал статью про диф.ряд поражений мозолистого тела http://www.ajronline.org/doi/pdf/10.2214/AJR.11.8080

Спасибо!

Терпимость - это когда прощают чужие ошибки; такт - когда не замечают их. (Артур Шницлер)

Helios's picture
Offline
Last seen: 9 months 1 week ago
Joined: 06.08.2010 - 15:16
Posts: 4417

Пациенка умерла.

Месяца за 2 делали контроль-динамика отрицательная.