You are here

"Зона агрессии"....

Пол пациента: 
Тип патологии: 
Методы исследования: 

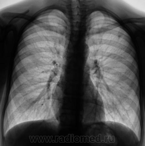
При расшифровке флюорограмм "взят на контроль". Подросток, первичная постановка на военный учёт. Жалоб нет.

  • https://radiomed.ru/sites/default/files/styles/case_slider_image/public/user/12/12..P4230037.JPG?itok=N9OhSuma
  • https://radiomed.ru/sites/default/files/styles/case_slider_image/public/user/12/13..P4230037a.jpg?itok=vM0OTlLg
  • https://radiomed.ru/sites/default/files/styles/case_slider_image/public/user/12/14..P4230037-1.jpg?itok=zJUISmkU
  • https://radiomed.ru/sites/default/files/styles/case_slider_image/public/user/12/15..P4230037-1a.jpg?itok=GNaUSh2w
  • https://radiomed.ru/sites/default/files/styles/case_slider_image/public/user/12/16..P4230040.JPG?itok=fxWtCrlT
ID:3319
Грицько Виталий's picture
Offline
Last seen: 9 years 1 month ago
Joined: 05.01.2010 - 14:06
Posts: 1058

Это уже не зона агрессии а конкретная тень.

Катенёв Валентин Львович's picture
Offline
Last seen: 7 years 2 months ago
Joined: 22.03.2008 - 22:15
Posts: 54876

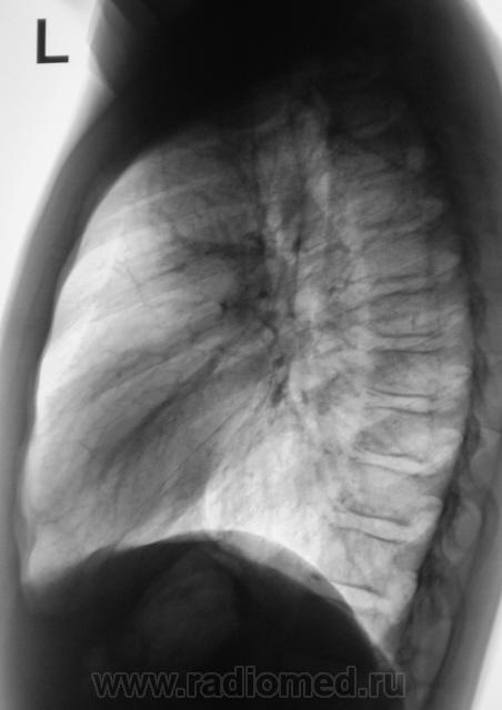
Первая флюорограмма. Конечно, взяли на контроль. Разрезали. Сейчас выложу томограммы. Томограммы, как и всегда с "букетом роз".

Ермолаев's picture
Offline
Last seen: 8 years 12 months ago
Joined: 07.02.2009 - 16:33
Posts: 670

Вы абсолютно правы, Валентин Львович! Пусть пациентом занимаются фтизиатры.

dok

Катенёв Валентин Львович's picture
Offline
Last seen: 7 years 2 months ago
Joined: 22.03.2008 - 22:15
Posts: 54876

Первый срез.

 

Приложения: 
1.1sr.P4230038.JPG2.1.sr_.P4230038a.jpg3.1.sr_.P4230039.JPG4.1.sr_.P4230039a.jpg
Катенёв Валентин Львович's picture
Offline
Last seen: 7 years 2 months ago
Joined: 22.03.2008 - 22:15
Posts: 54876

Второй срез.

 

Приложения: 
5.2_sr.P4230042.JPG6.2sr.P4230042a.jpg7.2.sr_.P4230043.JPG8.2sr.P4230043a.jpg9.2sr.P4230044.JPG10.2.sr_.P4230044a.jpg
Катенёв Валентин Львович's picture
Offline
Last seen: 7 years 2 months ago
Joined: 22.03.2008 - 22:15
Posts: 54876

Третий срез.

 

Приложения: 
11.3_sr.P4230045.JPG12.3sr.P4230045a.jpg13.4.3sr.P4230046.JPG14.3_sr.P4230046a.jpg
Грицько Виталий's picture
Offline
Last seen: 9 years 1 month ago
Joined: 05.01.2010 - 14:06
Posts: 1058

На консультацию в тубики.

Катенёв Валентин Львович's picture
Offline
Last seen: 7 years 2 months ago
Joined: 22.03.2008 - 22:15
Posts: 54876

А рентгенологически, что выставлять? Очаговый?

Грицько Виталий's picture
Offline
Last seen: 9 years 1 month ago
Joined: 05.01.2010 - 14:06
Posts: 1058

Два сегмента очаговый, больше двух диссеминир.

Лора's picture
Offline
Last seen: 15 years 8 months ago
Joined: 13.04.2010 - 17:39
Posts: 31

м.б.реальная картинка выглядит по -другому,но в туб. дисп. б-го направлять не с чем. я бы сделала лордоз и получила бы срез сосуда(сосуд.мальформация),тк достоверных очагов на тмг не получ.м.б назнач. бы контроль ч\з 3 мес. причины "играть" в кт не было.

Больной от вскрытия отказался, выписывается под наблюдение участкового патологоанатома...

Катенёв Валентин Львович's picture
Offline
Last seen: 7 years 2 months ago
Joined: 22.03.2008 - 22:15
Posts: 54876

Возможно, Вы правы. Но мы выставили очаговый. Записали изображение на диск в цифровом формате, фтизиатры забрали себе.

 

lupan's picture
Offline
Last seen: 6 years 11 months ago
Joined: 07.01.2010 - 17:17
Posts: 1406

Если не высеют МБТ (а вероятоность этого мала), фтизиатры в лучшем случае назначат контроль месяца через 2-3. С подобными картинками уже сталкивался не однажды, поэтому никуда не отправляю, а сам назначаю тот-же контроль.

Великое преймущество врача заключается в том, что он не обязан следовать собственным советам. ( А. Кристи)

Катенёв Валентин Львович's picture
Offline
Last seen: 7 years 2 months ago
Joined: 22.03.2008 - 22:15
Posts: 54876

Возможно Вы правы.  Но,

1. Подросток.

2. "Поперло" у нас этой патологии...

lupan's picture
Offline
Last seen: 6 years 11 months ago
Joined: 07.01.2010 - 17:17
Posts: 1406

Конечно, ответственность, подросток и все такое... Но с другой стороны, кроме мелкого кальцинатика прицепиться больше не к чему. Все очаговоподобные тени видны при уменьшенной яркости и в местах пересечения сосуда с кортикалом ребра. Либо имеют "хвостик", что указывает на сосуд. Такое мое мнение.

Великое преймущество врача заключается в том, что он не обязан следовать собственным советам. ( А. Кристи)

Грицько Виталий's picture
Offline
Last seen: 9 years 1 month ago
Joined: 05.01.2010 - 14:06
Posts: 1058

Относительно кальцината без контроля это процесс не уточненой активности. У меня был случай когда ставили спонтанно излеченный очаговый плотные очаги которого в динамике полностью рассосались.

Катенёв Валентин Львович's picture
Offline
Last seen: 7 years 2 months ago
Joined: 22.03.2008 - 22:15
Posts: 54876

Ну в данном случае контроль будет, будет и обязательно, и в процессе и после.