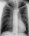
Пациент 1996г.р. с призывной комисси. Архив отсутствует. Пару лет назад лежал в кардиологическом отделении, знает только о пролапсе митрального клапана. Жалобы на периодические боли в области сердца, повышеие АД. Пороков (со слов) нет. Расширение тени сердца?



Извините за боковой.
Срединная тень смещена влево. Грудная клетка бочкообразной формы.
Чудеса какие-то!!! Не могу придумать объяснения. Ну не артефакты же!
"Слушай всех, прислушивайся к немногим, решай сам".©
Да уж. Переделать снимок чтоли... Хотя на обоих снимках одинаковых артефактов быть не могло.
Единственное более-менее внятное, что приходит на ум: плевроперикардиальные шварты и остаточные явления перенесенного известкового плеврита.
Я бы ещё левую боковую доделала. УЗИ сердца показано.
"Слушай всех, прислушивайся к немногим, решай сам".©
Один раз видел известковый перикардит. Может быть он, может - кисты перикарда. Без ЭХО не обойтись, а дальше КТ.
Нда, чудесатое дело.Анамнез сердечный нужен.
Гвозди...
А почему не артефакты? В России сканер вертикальный
"Слушай всех, прислушивайся к немногим, решай сам".©
Да с сердцем точно не то, давно забыл по рентгенпороки, УЗИ лучше. А по поводу сканеров - анекдот: "приходится стоять одной ногой в будущем, другой в прошлом, а между - жуткая действительность!"( украдено из детских сочинений по классикам)
С корнем не ожет быть связано?
1. На мой взгляд расширения сердечной тени нет, есть её смещение влево.
2. По боковой рентгенограмме, вот кажется мне, что имеем мы дело с воронкообразной грудной клеткой, что видно при осмотре "ад окулус".
И ежели окажется, что воронкообразная грудная клетка, имеет место быть, то существует классификация по Кондрашину, специально для военкоматов, для определения степени смещения сердца.
То и классификация Гижицкой, в данном случае будет не лишней.
Для определения степени деформации применяется индекс Гижицкой - это частное от деления наименьшего расстояния между задней поверхностью грудины и передней поверхностью тел позвонков на наибольшее. Эти расстояния измеряются по боковым проекциям рентгенограмм грудной клетки.
КЛАССИФИКАЦИЯ ВОРОНКООБРАЗНЫХ ДЕФОРМАЦИЙ ГРУДНОЙ КЛЕТКИ
Первая и вторая степень ВДГК вызывают только косметический дефект, не нарушая деятельности сердечно-сосудистой и дыхательной систем. Наличие у больного третьей или четвертой степени ВДГК неизбежно сопровождается функциональными нарушениями, выявляемыми на обследовании (снижение жизненной и остаточной емкости легких, регугитация крови в митральном и трикуспидальном клапанах сердца и прочими). Но, благодаря высоким компенсаторным возможностям детского организма, подобные нарушения начинают беспокоить пациентов чаще всего в пубертатном и постпубертатном возрасте. До этого периода дети не предъявляют никаких жалоб на физические страдания, несмотря на порой выраженное смещение и сдавление органов грудной клетки деформированными грудиной и ребрами.
Этот случай не напоминает Ваш?
Воронкообразная грудная клетка.
Воронкообразная грудная клетка (pectus excavatum, pectusinfundibuliforme, pectusintraflexionecornicechondrosternall) – воронкообразное западение грудной клетки, вершина которого обычно соответствует месту соединения тела грудины с мечевидным отростком. Может быть врожденной и приобретенной, в основе её формирования лежит врож- денная неполноценность реберных хрящей диспластического характера.
Клинически воронкообразная грудь характеризуется углублением нижней части грудной стенки и верхней части брюшной стенки. Боковой границей углубления являются реберные хрящи. Грудная клетка увеличена в поперечном направлении, возникает кифоз в грудном отделе позвончника. При неправильном развитии грудной клетки происходит смещение и сдавление органов средостения и лёгких, что дает определённую клиническую картину. Максимальное артериальное давление понижено, минимальное повышено. Повышение венозного давления является одним их ранних признаков нарушения гемодинамики.
Обычно диагноз заболевания ставится после осмотра ребенка, на основании ладьевидного западения грудины. Передне – задний размер грудной клетки при этом несколько уменьшен.
Н.И. Кондрашин (1968) различает три степени развития деформации.
1 степень (компенсированная) – глубина воронки до 2 см. При рентгенологическом
исследовании сердце не смещено.
2 степень (субкомпенсированная) – углубление достигает 4 см. При рентгенологическом
исследовании сердце смещено влево на 2-3 см.
3 степень (декомпенсированная) – глубина воронки превышает 4 см. При рентгенологи-
ческом исследовании сердце смещено влево более чем на 3 см.
При выраженной деформации 2 – 3 степени ставится вопрос об оперативном лечении. Од-
нако надо учитывать, что подобная деформация может быть приобретенного характера как следствие рахита, остеомаляции, хондродистрофии.
Вот тоже интересный случай с "болями в сердце"
Figure 1. 13-year-old female with pectus excavatum. A. Posteroanterior radiograph. B. Lateral chest radiograph.
Вот тоже, возможно по теме...
Chest X-ray Atlas
Воронкообразная деформация грудной клетки.
Пациента вызвали...визуально посмотрим и левый бок сделаем.
Вам огромное спасибо за такие подробности!
Спасибо за теплые слова.
Валентин Львович, Вы были правы что имеем дело с воронкообразной грудной клеткой!!! Сам я пациента после не видел, но приходила работница с военкомата, поинтересовался - она подтвердила, сказала что уже отправили в армию, комиссия вынесла что сердце, лёгкие не страдают, с её слов якобы степень смещения II.
Ещё раз спасибо Вам)
Валентин Львович, попытался я расчертить расстояние, верно нет?