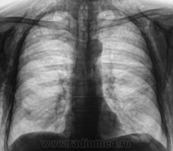
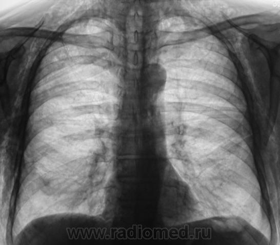
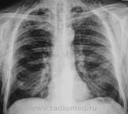
Пол пациента: Мужской пол Тип патологии: Травма Область исследования: Грудная клетка и верхние дыхательные пути Методы исследования: Rg Травма. Направлен для рентгенографии ОГК в ургентном порядке. Произведена рентгенография в прямой стандартной проекции. https://radiomed.ru/sites/default/files/styles/case_slider_image/public/user/12/92.TR_.P5110003a.jpg?itok=ha-t_eAp https://radiomed.ru/sites/default/files/styles/case_slider_image/public/user/12/93.TR_.P5110004.JPG?itok=9a00ZKEv https://radiomed.ru/sites/default/files/styles/case_slider_image/public/user/12/94.TR_.P5110004a.jpg?itok=8-QEjfsF ID:3705 Tue, 11/05/2010 - 17:10 #1 stovbav Offline Last seen: 2 years 7 months ago Joined: 20.12.2009 - 17:28 Posts: 7066 Шикарная эмфизема мягких тканей, перелом 8 -го ребра справа по задней подмышечной линии (как минимум).... Болезни ног: виды, симптомы, причины, профилактика и лечение Tue, 11/05/2010 - 18:44 #2 Катенёв Валенти... Offline Last seen: 7 years 6 months ago Joined: 22.03.2008 - 22:15 Posts: 54876 Этого пациента, сегодня дали на контроль. Первичная рентгенограмма от 8.05., там плюсом, имело место коллабирование правого легкого на 2/3. Как праздники, то вовсю весялятся наши соотечественники! Tue, 11/05/2010 - 20:58 #3 Сан Саныч Offline Last seen: 15 years 11 months ago Joined: 23.04.2010 - 20:23 Posts: 73 Катенёв Валентин Львович wrote: Как праздники, то вовсю весялятся наши соотечественники! До состояния "Я вам щас такое покажу..." Tue, 11/05/2010 - 21:20 #4 Катенёв Валенти... Offline Last seen: 7 years 6 months ago Joined: 22.03.2008 - 22:15 Posts: 54876 А, ведь и показывают... Как только лаборанты терпят? Wed, 12/05/2010 - 01:17 #5 Vikkur Offline Last seen: 5 years 1 month ago Joined: 24.09.2009 - 14:34 Posts: 1749 Да весьма показательный, яркий случай! А справа в нижних отделах кальцинат? Виктор.
Шикарная эмфизема мягких тканей, перелом 8 -го ребра справа по задней подмышечной линии (как минимум)....
Болезни ног: виды, симптомы, причины, профилактика и лечение
Этого пациента, сегодня дали на контроль. Первичная рентгенограмма от 8.05., там плюсом, имело место коллабирование правого легкого на 2/3.
Как праздники, то вовсю весялятся наши соотечественники!
До состояния "Я вам щас такое покажу..."
А, ведь и показывают...
Как только лаборанты терпят?
Да весьма показательный, яркий случай!
А справа в нижних отделах кальцинат?
Виктор.