You are here

Травма. Перелом.

Пол пациента: 
Тип патологии: 
Область исследования: 
Методы исследования: 

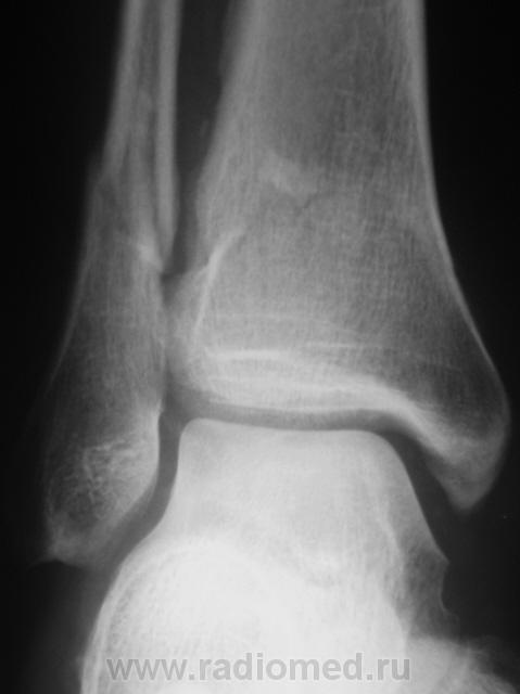
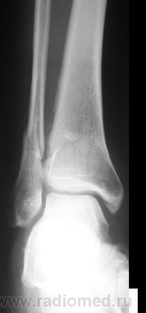
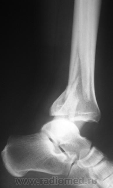
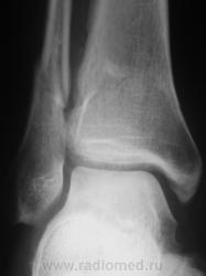
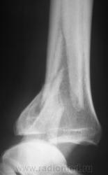
Травма. Перелом. Произведена рентгенография в стандартных проекциях в ургентном порядке.

  • https://radiomed.ru/sites/default/files/styles/case_slider_image/public/user/12/2.P5170001a.jpg?itok=QzioZd0i
  • https://radiomed.ru/sites/default/files/styles/case_slider_image/public/user/12/3.P5170002.JPG?itok=mVPuM63G
  • https://radiomed.ru/sites/default/files/styles/case_slider_image/public/user/12/4.P5170002a.jpg?itok=4I7p_l_d
  • https://radiomed.ru/sites/default/files/styles/case_slider_image/public/user/12/5.P5170003.JPG?itok=cyjsvO-6
  • https://radiomed.ru/sites/default/files/styles/case_slider_image/public/user/12/6.P5170003a.jpg?itok=3ENKzvza
  • https://radiomed.ru/sites/default/files/styles/case_slider_image/public/user/12/7.P5170004.JPG?itok=YKscNpzh
  • https://radiomed.ru/sites/default/files/styles/case_slider_image/public/user/12/8.P5170004a.jpg?itok=sa86qdUj
ID:3843
ughnaya stolitsa's picture
Offline
Last seen: 14 years 4 months ago
Joined: 14.05.2010 - 19:25
Posts: 28

Внутрисуставной перелом заднего края дист.эпиметафиза б/б кости или перелом "третьей лодыжки", со смещением фрагмента по ширине кзади,по длине - кверху до 5 мм и под углом, открытым кзади, с подвывихом стопы кзади, оскольчатый перелом н/3 диафиза м/б кости со смещением дистального фрагмента по ширине, по длине и угловым /открытым кзади/.

i_vuduborets's picture
Offline
Last seen: 11 years 5 months ago
Joined: 14.04.2010 - 17:59
Posts: 87

ughnaya stolitsa wrote:

Внутрисуставной перелом заднего края дист.эпиметафиза б/б кости или перелом "третьей лодыжки", со смещением фрагмента по ширине кзади,по длине - кверху до 5 мм и под углом, открытым кзади, с подвывихом стопы кзади, оскольчатый перелом н/3 диафиза м/б кости со смещением дистального фрагмента по ширине, по длине и угловым /открытым кзади/.

ну и еще перелом внутренней лодыжки