You are here

Травма. Вот, такой переломчик...

Пол пациента: 
Тип патологии: 
Область исследования: 
Методы исследования: 

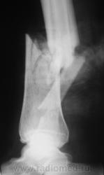
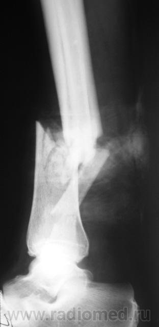
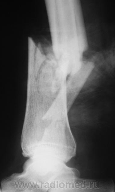
Травма.  Произведена рентгенография в стандартных проекциях.

  • https://radiomed.ru/sites/default/files/styles/case_slider_image/public/user/12/2.P5170005a.jpg?itok=mXfiTK2H
  • https://radiomed.ru/sites/default/files/styles/case_slider_image/public/user/12/3.P5170006.JPG?itok=75SebV9B
  • https://radiomed.ru/sites/default/files/styles/case_slider_image/public/user/12/4.P5170006a.jpg?itok=iRrUdQhm
  • https://radiomed.ru/sites/default/files/styles/case_slider_image/public/user/12/5.P5170007.JPG?itok=uSJwFcS5
  • https://radiomed.ru/sites/default/files/styles/case_slider_image/public/user/12/6.P5170007a.jpg?itok=z-INqPYp
  • https://radiomed.ru/sites/default/files/styles/case_slider_image/public/user/12/7.P5170008.JPG?itok=ahEefxdS
  • https://radiomed.ru/sites/default/files/styles/case_slider_image/public/user/12/8.P5170008a.jpg?itok=Vd5Ftz-X
ID:3834
Vega's picture
Offline
Last seen: 4 months 3 weeks ago
Joined: 22.01.2009 - 19:16
Posts: 1087

Наверное, открытый?

Катенёв Валентин Львович's picture
Offline
Last seen: 7 years 5 months ago
Joined: 22.03.2008 - 22:15
Posts: 54876

Нет. Закрытый.

Ермолаев's picture
Offline
Last seen: 9 years 3 months ago
Joined: 07.02.2009 - 16:33
Posts: 670

Здравствуйте, уважаемый Валентин Львович! Очень похож на "бамперный перелом". У меня вопрос - а почему снимки без шины? Ведь пациенту наверняка было больно при проведении исследования в двух проекциях.

dok

Катенёв Валентин Львович's picture
Offline
Last seen: 7 years 5 months ago
Joined: 22.03.2008 - 22:15
Posts: 54876

Вопрос, по поводу шины правильный, который в "нормальных" ЛПУ не подлежит обсуждению. У нас, такая транспортировка считается обычной...

Vega's picture
Offline
Last seen: 4 months 3 weeks ago
Joined: 22.01.2009 - 19:16
Posts: 1087

Шина - это "лишнее тенеобразование на снимке". Может затруднить зоркому глазу рентгенолога диагностику переломаУлыбаюсь. Поэтому пусть человек так потерпит.

stovbav's picture
Offline
Last seen: 2 years 7 months ago
Joined: 20.12.2009 - 17:28
Posts: 7066

Vega wrote:

Шина - это "лишнее тенеобразование на снимке". Может затруднить зоркому глазу рентгенолога диагностику переломаУлыбаюсь. Поэтому пусть человек так потерпит.

Шина - это святое, снимать ее - табу, но и не МЫ накладывать должны. А касаемо того, может ли зоркому глазу рентгенолога она помешать? Ну...наверное...от его зоркости зависитПодмигиваю.....

Vikkur's picture
Offline
Last seen: 5 years 3 weeks ago
Joined: 24.09.2009 - 14:34
Posts: 1749

Чегото на боковом структура кости не странная? Как будто в области перелома есть еще дополнительное тенеобразование..     Мягкие ткани?

Виктор.

Катенёв Валентин Львович's picture
Offline
Last seen: 7 years 5 months ago
Joined: 22.03.2008 - 22:15
Posts: 54876

Vega wrote:

Шина - это "лишнее тенеобразование на снимке". Может затруднить зоркому глазу рентгенолога диагностику переломаУлыбаюсь. Поэтому пусть человек так потерпит.

Ну, это Вега, так сказать, подпустил шип от "кактуса". Снимок, то в ургентном порядке произведен, и первый "зоркий глаз" был "хирурго-травматологически ургентный".

Вы нам "шип" от кактуса, а мы Вам коллега Вега - любовь, уважение и "цветок" кактуса.

 

 

Приложения: 
1.ShIP_.P5180003.JPG2.ShIP_.P5180003a.jpg
Nela's picture
Offline
Last seen: 6 years 5 months ago
Joined: 12.05.2009 - 20:43
Posts: 1847

А мне однажды привезли больного на КТ головного мозга с переломом бедра вообще без каких-либо шинОй-ой-ой. Пришлось накладывать из подручных средств. Спасибо нейрохирург пришел посмотреть результаты и помог мне.