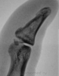
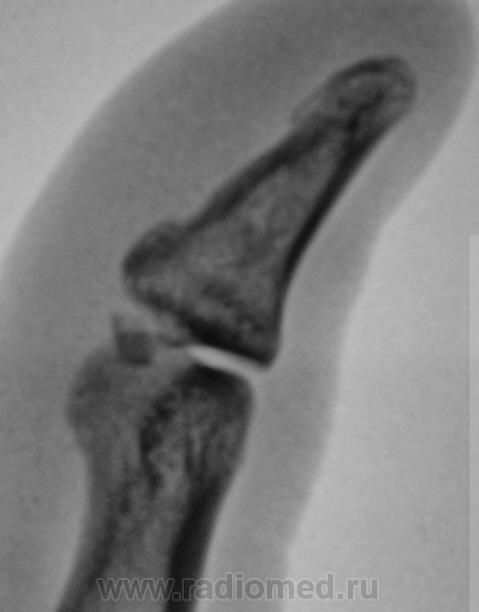
Пол пациента: Мужской пол Тип патологии: Травма Область исследования: Скелетно-мышечная система Методы исследования: Rg Что это? Отколовшийся фрагмент или чсто-то другое? Травма была накануне. Обратился к хирургу поликлиники, направлен хирургом на рентгенографию. https://radiomed.ru/sites/default/files/styles/case_slider_image/public/user/12/2.P5200014.JPG?itok=kSaxtyoS https://radiomed.ru/sites/default/files/styles/case_slider_image/public/user/12/3.P5200014a.jpg?itok=XP5p8ESI https://radiomed.ru/sites/default/files/styles/case_slider_image/public/user/12/4.P5200014v.jpg?itok=CE-t0-Id https://radiomed.ru/sites/default/files/styles/case_slider_image/public/user/12/5.P5200014vu.jpg?itok=D6GOyUSZ ID:3946 Thu, 20/05/2010 - 20:38 #1 Ola-la Offline Last seen: 10 months 3 weeks ago Joined: 06.12.2008 - 09:33 Posts: 1786 Это перелом. https://www.instagram.com/pediatricradiology/ Thu, 20/05/2010 - 20:49 #2 Анатолий Владим... Offline Last seen: 7 years 10 months ago Joined: 16.10.2009 - 21:16 Posts: 1941 Есть перелом... Thu, 20/05/2010 - 23:14 #3 Илья Васильевич... Offline Last seen: 13 years 11 months ago Joined: 25.04.2010 - 14:23 Posts: 89 перелом. телу- мера, душе-Вера
Это перелом.
https://www.instagram.com/pediatricradiology/
Есть перелом...
перелом.
телу- мера, душе-Вера