You are here

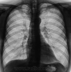
Динамика через 2 месяца после специфического лечения.

Пол пациента: 
Тип патологии: 
Методы исследования: 

Динамика через 2 месяца после специфического лечения.

Пациент прислан был на контроль. Первично, был выявлен после прохождения профилактической флюорографии.

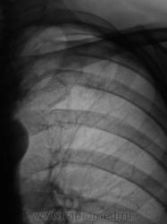
Ниже снимки до лечения.

Ваше мнение коллеги?

  • https://radiomed.ru/sites/default/files/styles/case_slider_image/public/user/12/2..P5210002.JPG?itok=Dzq_v2sW
  • https://radiomed.ru/sites/default/files/styles/case_slider_image/public/user/12/3..P5210003.JPG?itok=2mwWOQQ-
  • https://radiomed.ru/sites/default/files/styles/case_slider_image/public/user/12/4..P5210004.JPG?itok=JSEgeHk7
  • https://radiomed.ru/sites/default/files/styles/case_slider_image/public/user/12/5..P5210005.JPG?itok=jqPaAwqr
  • https://radiomed.ru/sites/default/files/styles/case_slider_image/public/user/12/6..P5210006.JPG?itok=OZzzBggC
  • https://radiomed.ru/sites/default/files/styles/case_slider_image/public/user/12/7..P5210007.JPG?itok=NIJJNSvC
  • https://radiomed.ru/sites/default/files/styles/case_slider_image/public/user/12/1..P5210008.JPG?itok=Mr0qc4dQ
  • https://radiomed.ru/sites/default/files/styles/case_slider_image/public/user/12/2..P5210009.JPG?itok=ngngRSqF
  • https://radiomed.ru/sites/default/files/styles/case_slider_image/public/user/12/3..P5210010.JPG?itok=rYfOY-ss
  • https://radiomed.ru/sites/default/files/styles/case_slider_image/public/user/12/4..P5210011.JPG?itok=GSCLkrYx
ID:4016
Ермолаев's picture
Offline
Last seen: 8 years 11 months ago
Joined: 07.02.2009 - 16:33
Posts: 670

Валентин Львович! Динамика, конечно, слабая. Но "Его Величество" не всегда адекватно реагирует на проводимую терапию. Или это изменения после перенесенного "Его Величества".  Склоняюсь к мысли слабо положительной динамики после проводимой специфической терапии.

dok

Катенёв Валентин Львович's picture
Offline
Last seen: 7 years 1 month ago
Joined: 22.03.2008 - 22:15
Posts: 54876

Спасибо за высказанное мнение. Мы тоже отметили некоторую положительную динамику.

Makcimalist's picture
Offline
Last seen: 11 years 9 months ago
Joined: 08.05.2010 - 14:28
Posts: 1994

 Считаю, что динамики нет - как был Твс-архив, так и остался...

  Интересно, с каким д-зом лечили?!.

--------------

"Просто, по видимости, не видеть логики в очевидных вещах - это тоже одно из свойств некоторых умов, наряду с грустными думами о свойствах ума других."  © Vega 08/10/2011

ЛГ's picture
Offline
Last seen: 8 years 11 months ago
Joined: 06.01.2010 - 12:31
Posts: 3523

Пневмосклероз без динамики. Очаговых изменений не видно. Неужели подтвержден туберкулез?

Катенёв Валентин Львович's picture
Offline
Last seen: 7 years 1 month ago
Joined: 22.03.2008 - 22:15
Posts: 54876

При первичном обследовании туберкулёз подтвержден. Подтвержден и посевом на средах.