КСС. Костно-суставная система. Артропатии

Дифференциальная рентгенодиагностика

М. К. МИХАИЛОВ, Г. И. ВОЛОДИНА, Е. К. ЛАРЮКОВА

Учебное пособие подготовлено кафедрами рентгенологии (зав. кафедрой — проф. М. К. Михайлов) и рентгенологии-радиологии (зав кафедрой — проф. Г. И. Володина) Казанского государственного института усовершенствования врачей.

АРТРОПАТИИ

Термин артропатия означает суставное заболевание. В медицинской практике под названием артропатия понимают суставное заболевание нервно-трофического характера. Но т. к. ведущими являются костные изменения, то более правильным является термин остеоартропатия.

В 1868 году французский клиницист Шарко детально описал изменения при табесе (спинная сухотка) и при сирингомиелии.

Следует отметить, что остеоартропатия при табесе наблюдается у пожилых людей примерно через 25—30 лет после заражения сифилисом и встречается в 4—10% случаев. В последние годы это заболевание наблюдается очень редко.
Остеоартропатия при сирингомиелии наблюдается значительно чаще. Костно-суставные изменения развивается приблизительно у 73% больных сирингомиелией и преимущественно в молодом возрасте. Чаще болеют мужчины. В 90% случаев поражаются суставы верхних конечностей. Часто сочетается поражение крупных суставов, дистальных межфаланговых суставов и ногтевых фаланг.
В отношении характера рентгенологических изменений принципиальных отличий при табетической и сирингомиелической остеоартропатии не имеется.
В процессе развития остеоартропатии следует различать три стадии:
1. Латентная стадия.
2. Стадия разрушений— преимущественно литическая.
3. Стадия реактивных изменений, преимущественно гиперостатическая.

Латентная стадия характеризуется склерозом костной структуры в суставном крае с узурацией в субхондральном отделе. Склеротическая перестройка не четко отграничена от нормальной структуры. Периостальная реакция отсутствует. Характер описанных изменений уточняется при наличии неврологических симптомов. В дальнейшем на рентгенограммах определяются отломки краев эпифизов, смещение их, рассасывание мыщелков кости. Разрушения кости значительны, часто полностью отсутствуют эпифизы и метафизы.
Разрушение отделов кости, нарушение целостности костной ткани являются следствием извращения трофических процессов, а также травм. Вследствии потери глубокой чувствительности выпадает контроль над движениями конечности. Больной не щадит конечность из-за некоординированных движений в нагрузке.
Литические и травматические патологические изменения сопровождаются процессами обызвествления и окостенения. В разрушенных участках возникают выраженные гиперостатические изменения в виде обильных причудливых напластований костной ткани, обызвествлений околосуставных тканей. Суставные поверхности уплощаются. Эпиметафизы утолщены и обезображены за счет наслоения бесформенных масс — продуктов пери- и параостального обызвествления. Эти обызвествления представлены в виде сплошных, сливающихся округлых и ландкартообразных теней неправильной формы, окутывающих кость. Важным симптомом являются множественные поперечные переломы. Переломам могут подвергаться крупные части эпифизов и даже все эпифизы. Последние могут быть отделены и лежать в виде внутрисуставных свободных тел. Они склонны менять свою форму и рассасываться. Анкилозов не бывает. Напротив, характерна разболтанность и чрезмерная подвижность в суставах.
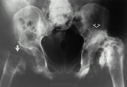
При табетической артропатии обычно поражается один, реже — два сустава. Наиболее часто страдают суставы нижней конечности — коленный и тазобедренный. При табетической артропатии тазобедренного сустава костные разрастания окружают кость, особенно с медиальной стороны. Обычны переломы шейки бедра и вертлужной впадины. Головка бедренной кости полностью рассасывается и кость укорачивается. В коленном суставе чаще наблюдается поперечный перелом над мыщелками бедренной кости или отрывается один из мыщелков. Костные разрастания очень пышные. Нередко развивается подвывих.
Табическая спондилопатия локализуется в поясничном отделе позвоночника. Обычно говорят о двух фазах поражения позвоночного столба при сухотке спинного мозга — литической и гипертрофической. Но как правило сочетаются проявления того и другого порядка. Наряду с разрушением отдельных тел позвонков с последующей, компрессией, имеются огромные обызвествления, окутывающие в виде бесформенного облака весь пораженный участок.
При сирингомиелической артропатии на рентгенограммах обнаружены те же поперечные переломы костей, окруженные подчас чудовищными обызвествляющимися мозолями, те же окостенения суставных элементов, подвывихи.
В плечевом суставе костные разрастания слабо выражены. Основным проявлением служит разболтанность сустава, смещение плечевой кости вверх и рассасывание головки.

Характерно поражение концевых фаланг кисти. Чаще всего наступает самостоятельная ампутация ногтевых бугорков. Лишенные дистальных концов фаланги укорачиваются, заостряются, приобретают сходство с треугольной пирамидой. Иногда рассасываются более обширные участки скелета пальцев, отдельные фаланги искривляются, обезображиваются, межфаланговые щели располагаются косо. Развиваются контрактуры, пальцы скрючиваются и отклоняются в сторону. Таким образом, при сирингомиелическом поражении костей пальцев преобладает литический процесс.

При остеоартропатиях большое значение имеет несоответствие между ничтожными субъективными симптомами и сравнительно хорошей функцией конечности и значительными анатомо-рентгенологическими изменения. Процесс обычно развивается постепенно, годы и месяцы больной не обращается за медицинской помощью.

Однако в некоторых случаях при сирингомиелии после травмы может наблюдаться быстрое прогрессирование процесса. При громадных, быстрорастущих костных мозолях после перелома костей предплечья при отсутствии болевых ощущений, нужно думать о сирингомиелии.
Дифференциальный диагноз затруднен лишь в начальных стадиях заболевания, когда изменения на рентгенограммах представлены лишь склерозом костной структуры. В более поздних стадиях болезни изменения обычно представлены не только склерозом, но и типичными литическими и продуктивными явлениями, обосновывающими правильный диагноз.

СКЛЕРОДЕРМИЯ

Заболевание относится к группе коллагенозов. Характеризуется фиброзно-склеротическими изменениями соединительной ткани. Наблюдается поражение кожи, суставно-мышечного аппарата, развитие висцеропатии — пневмосклероз, изменения желудочно-кишечного тракта, кардиосклероз. Склеродермия чаще встречается у молодых женщин.

Поражение опорно-двигательного аппарата — одно из наиболее частных проявлений склеродермии. При рентгенологическом исследовании выявляются псевдоартриты, склеродермические полиартриты, остеолиз и кальциноз мягких тканей.
При псевдоартритах имеет место деформация суставов за счет фиброзно-склеротических изменений мягких тканей. На рентгенограммах выявляются сгибательные контрактуры и подвывихи в межфаланговых суставах, регионарный остеопороз. Однако деструктивные и литические изменения отсутствуют.
При склеродермическом полиартрите сочетаются фиброз периартикулярных тканей и эксудативные проявления. На рентгенограммах, уже на ранних стадиях, выявляются контрактуры и подвывихи. На фоне регионарного остеопороза могут выявляться одиночные краевые узуры с ободком склероза вокруг. Суставные щели сужены. Анкилозы наблюдаются редко.

При проведении дифференциальной диагностики с ревматоидным полиартритом следует учитывать, что при последнем рано выявляется диффузный остеопороз, в большей степени выражены деструктивные изменения. Характерно анкилозирование. Сгибательные контрактуры и подвывихи в межфаланговых суставах появляются достаточно поздно.

Явления остеолиза при склеродермии связаны с сосудисто-трофическими нарушениями. Лизис наиболее часто начинается с дистальных отделов ногтевых фаланг — когтевидных отростков (акроостеолиз). В дальнейшем остеолиз может распространяться на средние и даже основные фаланги, протекать с образованием секвестров или с полным рассасыванием костной ткани. По данным Н. Г. Гусевой (1975) акроостеолиз наблюдается у 41% больных склеродермией.
Необходимо отметить, что явления акроостеолиза могут иметь место при целом ряде заболеваний: сирингомиелии, псориазе, диабете, саркоме Капози, проказе, а так же могут являться следствием обморожений и ожогов. Однако эти заболевания легко отдифференцировать от склеродермии по общей клинической картине.
Редко приходится наблюдать при склеродермии остеолиз, который начинается с суставных поверхностей межфаланговых суставов, протекающий по типу мутилирующего артрита.

Остеолизу могут подвергаться так же венечный отросток нижней челюсти и альвеолярные отростки.

При склеродермии нередко приходится наблюдать кальциноз мягких тканей (синдром Тибьержа — Вейссенбаха, 1910). В мягких тканях пальцев рук и в периартикулярных тканях как мелких суставов кисти, так и крупных суставов верхних и нижних конечностей определяются отложения солей кальция или в виде точечных включений или в виде глыбок различной величины и формы.

ИЗМЕНЕНИЯ В КОСТЯХ ПРИ ПРОКАЗЕ

Возбудителем проказы является палочка Ханзена. Это чрезвычайно древнее, овеянное мрачной славой заболевание, имеет хроническое, чрезвычайно медленное течение.

Изменения в костях при проказе локализуются в кистях и стопах. Могут встречаться у людей любого возраста, но чаще у взрослых. Мужчины и женщины поражаются одинаково часто.

Изменения в костях могут проявляться в виде:

1. Специфических лепрозных гранулем.

2. Вторичных изменений нервного происхождения.

Специфические лепрозные оститы — процесс множественный, двусторонний, не симметричный, проявляются в виде множественных округлой или овальной формы очагов деструкции костной ткани размером 2—8 мм, с четкими контурами и нежным ободком склероза. Локализуются в эпиметафизарных отделах пястных, плюсневых костей и фаланг. При субкортикальной локализации могут вызывать истончение кортикального слоя, надломы и переломы на этом уровне, без склонности к заживлению. Характерны изменения со стороны близлежащих суставов в виде подвывихов и вывихов.

Нервная форма лепры. Наиболее ранним признаком является остеопороз. В дальнейшем к нему присоединяются явления остеолиза. Характерно истончение и укорочение костей, в первую очередь ногтевых фаланг. Причем рассасывание начинается с ногтевого отростка. Общеизвестны сравнения с тающими свечами, заточенным карандашом, обсосанными леденцами и т. д. Затем рассасываются средние, основные фаланги, пястные, плюсневые кости. Контуры подвергшихся рассасыванию костей четкие. Следует отметить трудность определения связи литических изменений с тем или иным иннервационным районом. За счет тяги мышц происходит отклонение фаланг в стороны, с большим их расхождением.
Надо отметить, что иногда при рентгенологическом исследовании выявляются значительные изменения, в то время, как клинически заболевание еще себя не проявляет, и данные рентгенологического исследования могут направить мысль врача в соответствующее русло. Необходимо подчеркнуть, что в СССР — совершенно ничтожное по сравнению с другими странами число лепрозных больных. Однако могут встречаться отдельные спорадические случаи проказы и вне лепрозорных местностей.

ПОДАГРИЧЕСКИЙ АРТРИТ (мочекислый диатез)

Подагра встречается только у людей. Это общее заболевание всего организма, связанное с нарушением обмена пуринов и сопровождающееся повышением уровня мочевой кислоты и отложением мочекислых соединений в различных тканях в виде так называемых тофусов. Подагра — в переводе с греческого — нога жертва.

Генетики считают, что происхождение рода homo sapiens возможно связано с мутагенными изменениями, которые за счет нарушения функции ферментов могут привести к нарушению пуринового обмена. Эти вещества сходны по своему действию на мозг с кофеином, т. е. стимулируют его активность. Генетики этим фактом объясняют усидчивость, целеустремленность, работоспособность людей, склонных к подагре.

Этиология подагры до конца не выяснена. В патогенезе определенное место отводится алиментарному фактору—злоупотреблению жирной и мясной пищей, а также алкоголем. Имеет значение наследственная предрасположенность к гиперурекемии. Чаще подагрой болеют мужчины среднего и пожилого возраста. Поражаются преимущественно мелкие суставы нижней конечности.

Ревматоидный полиартрит

Подагра

Возраст
Пол

Чаще болеют женщины молодого и среднего возраста

Чаще болеют мужчины среднего и пожилого возраста

Локализация

Начинается в мелких суставах кистей

Начинается чаще в 1 пальце стопы

Клинические и лабораторные данные

Незначительные боли, скованность движений в мелких суставах по утрам

Боли более значительные. Увеличение содержания мочевой кислоты в сыворотке крови

Рентгенологические проявления

Регионарный остеопороз. В последующем диффузный остеопороз с мелкими узурами, ульнарная девиация, подвывихи. Анкилозы в костях запястья.

Более крупные узуры, нет диффузного остеопороза. Беспорядочное смещение пальцев.

Наиболее часто, процесс начинается в 1 пальце стопы (головка плюсневой кости и основание основной фаланги), в дальнейшем могут поражаться и другие отделы. Происходит отложение мочекислых солей внутри сустава, в связках и суставных элементах, обычно в местах прикрепления суставной капсулы.
Клиника острого подагрического артрита характеризуется сильными болями в области пораженного сустава, кожа над суставом отечна, гиперемирована, напряжена. Повышено содержание мочевой кислоты в крови (в норме 0,35 ммоль/л) и выделение мочевой кислоты с мочой — гиперурикозурия (в норме колеблется в пределах 2,9—5,9 ммоль). Могут определяться тофусы, в частности в ушных раковинах, иногда они сопровождаются изъязвлением с выделением крошковидной массы. Рентгенологически — чаще в типичном месте отмечается вздутие эпифизарного отдела с кистоподобной перестройкой костной структуры, с истончением кортикального слоя. В случаях нарушения целостности кортикального слоя образуются краевые узуры с ровными, четкими контурами, окруженные ободочком склероза, размером 5—6 и даже 9 мм. Суставная щель представляется суженной. Даже при значительных деструктивных изменениях наблюдается лишь нерезко выраженный остеопороз в прилежащих отделах костей. В далеко зашедших случаях в проекции костно-мозгового канала могут отмечаться множественные мелкие плотные включения без четких контуров, создающие «мраморность» костной структуры. Эти включения
обусловлены мочекислыми солями. Могут наблюдаться также анкилозы, подвывихи и беспорядочное смещение пальцев в разные стороны. В ряде случаев приходится проводить дифференциальный диагноз между ревматоидным полиартритом и подагрой.

В таблице представлены основные клинико-рентгенологические дифференциальные симптомы ревматоидного полиартрита и подагры.

ГЕМОФИЛИЧЕСКИЙ АРТРИТ

В последние годы появились новые препараты для борьбы с гемофилией, с помощью которых удается увеличить продолжительность жизни больных и избежать в ряде случаев тяжелых осложнений. Однако, все еще наблюдаются у этой группы больных тяжелые артропатии. Изменения в суставах при гемофилии выявляются примерно у 70—93% больных, впервые описаны Otto в 1803 году.
Гемофилическая артропатия начинается острым внутрисуставным кровоизлиянием, периодически повторяющимся и сопровождающимся разрушением хрящевой ткани, дегенеративными изменениями субхондральной ткани и в конечной стадии — тяжелыми деформациями и функциональными расстройствами. Первые признаки кровоизлияния в полость сустава появляются у большинства больных в возрасте до 6 лет. Наиболее часто кровоизлияния наблюдаются в коленном, локтевом, голеностопном суставах. Лишь в легко протекающих случаях поражается один сустав, наиболее же часто поражаются несколько суставов.
В настоящее время в течении гемофилической артропатии выделяют 3 фазы.
I фаза — гемартроз — острое кровоизлияние с припухлостью, болями и

нарушением подвижности в суставе.
II фаза — панартрит — патологические изменения в синовиальной

оболочке, суставном хряще и околосуставных отделах костей.
III фаза — регрессия — наблюдается прогрессирующая деформация, анкилозы, контрактуры.

Однако описанные стадии не имеют четких границ при патологоанатомическом и рентгенологическом исследовании и подразделение на стадии является в определенной степени искусственным. Описание стадий течения артропатии помогает разобраться в сложных изменениях, которые наблюдаются при гемофилии.
Рентгенологическая картина при гемоартрозе не имеет патогномоничных симптомов. На мягких снимках удается выявить признаки растяжения суставной сумки, расширение суставной щели. У детей — ускорение роста эпифизов.
Во II фазе — определяется остеопороз эпифизов. По краям хрящевого покрова прослеживаются узуры костной ткани с четкими ровными контурами, край суставной поверхности значительно выступает за пределы костного вещества в виде «псевдоостеофитов». Суставная щель суживается, замыкательная пластинка становится неровной, волнистой, прерывистой, неправильной формы. В субхондральном отделе на фоне остеопоротичной структуры эпифизов выявляется кистоподобная перестройка костной структуры. Кистоподобные просветления имеют достаточно четкие контуры, окружены ободком склероза. При разрушении замыкательной пластинки образуются овальной формы кратерообразные краевые дефекты и склероз субхондральных отделов. У детей эпифизы на пораженной стороне увеличены, структура их остеопоротична.
Этиология кистовидной перестройки костной структуры при данной патологии до настоящего времени окончательно не выяснена. Некоторые авторы считают, что она возникает в результате внутрикостных кровоизлияний. А. Форраи (1981) на основании экспериментальных исследований пришел к выводу, что эти изменения обусловлены дегенеративно-дистрофическими процессами.

III фаза — регрессия — явления атрофии с истончением кортикального слоя. На фоне остеопороза определяются редкие, грубые костные балки. Костные анкилозы наблюдаются редко. Однако анкилоз бедренной кости с коленной чашечкой наступает несколько чаще.
Достаточно характерны рентгенологические изменения, наблюдаемые в коленном и локтевом суставах.

В коленном суставе определяется сужение суставной щели, остеопороз, образование псевдоостеофитов. Кистозные изменения прослеживаются преимущественно в проксимальном эпифизе большеберцовой кости. Они могут занимать краеобразующее положение, имеют четкие, склерозированные контуры. Характерным является углубление и расширение межмыщелковой ямки бедренной кости. Надколенник имеет неровные, зазубренные контуры. Структура его остеопоротична, имеются кистовидные просветления. Характерна угловатая деформация надколенника, сглаженность его дистального выступа, плоский нижний контур. Kohler (1967) образование угловатого надколенника в детском возрасте объяснял следующим образом. Гиперемия при хроническом воспалении ускоряет окостенение апофизов, рост кости прекращается раньше времени. В тех редких случаях, когда артропатия начинается у взрослых — описанные изменения надколенника не наблюдаются.

При поражении локтевого сустава на сравнительных рентгенограммах у детей симптомы постарения ядра — окостенения появляются раньше времени, они имеют большие размеры. Суставная щель сужена. Головка лучевой кости уплощена и выпячивается в радиальном направлении (иногда на 1 см за пределы сустава). Суставная вырезка локтевого отростка увеличивается. Может наблюдаться образование псевдоостеофитов. В ряде случаев приходится проводить дифференциальный диагноз с туберкулезным артритом. Следует учитывать, что при гемофилии в анамнезе отмечается кровоточивость, незначительная травма приводит к развитию артроза. При туберкулезе значительно более выражена клиника заболевания (явления интоксикации, симптом Александрова, атрофия мышц, контрактуры, свищи). При исследовании при туберкулезе более выражен остеопороз, очаги деструкции имеют не только неровные, но и нечеткие контуры, имеют место секвестры.

Нейропатическая остеоартропатия.

 

 

 

 

Катенёв Валентин Львович's picture
Offline
Last seen: 7 years 1 month ago
Joined: 22.03.2008 - 22:15
Posts: 54876

Нейрогенные артропатии.

 

Приложения: 
1.rin_.slayd1_.jpg2.rin_.slayd2_.jpg3.rin_.slayd3_.jpg4.rin_.slayd4_.jpg5.rin_.slayd5_.jpg6.rin_.slayd6_.jpg7.rin_.slayd7_.jpg8.rin_.slayd8_.jpg9.rin_.slayd9_.jpg10.rin_.slayd10.jpg11.rin_.slayd11.jpg12.rin_.slayd12.jpg13.rin_.slayd13.jpg
Катенёв Валентин Львович's picture
Offline
Last seen: 7 years 1 month ago
Joined: 22.03.2008 - 22:15
Posts: 54876

Артропатии при спинной сухотке.

Приложения: 
14.rin_.slayd14.jpg15.rin_.slayd15.jpg16.rin_.slayd16.jpg17.rin_.slayd17_0.jpg
Катенёв Валентин Львович's picture
Offline
Last seen: 7 years 1 month ago
Joined: 22.03.2008 - 22:15
Posts: 54876

Диабетическая артропатия

Приложения: 
18.rin_.slayd18_1.jpg19.rin_.slayd19_0.jpg20.rin_.slayd20.jpg21.rin_.slayd21.jpg
Катенёв Валентин Львович's picture
Offline
Last seen: 7 years 1 month ago
Joined: 22.03.2008 - 22:15
Posts: 54876

Нейрогенная артропатия

Приложения: 
1.n.slayd1_.jpg2.n.slayd2_.jpg3.n.slayd3_.jpg4.n.slayd4_.jpg5.n.slayd5_.jpg6.n.slayd6_.jpg7.n.slayd7_.jpg
Катенёв Валентин Львович's picture
Offline
Last seen: 7 years 1 month ago
Joined: 22.03.2008 - 22:15
Posts: 54876

Псориатическая артропатия.

Приложения: 
1.ps_.slayd35.jpg
Катенёв Валентин Львович's picture
Offline
Last seen: 7 years 1 month ago
Joined: 22.03.2008 - 22:15
Posts: 54876
Катенёв Валентин Львович's picture
Offline
Last seen: 7 years 1 month ago
Joined: 22.03.2008 - 22:15
Posts: 54876