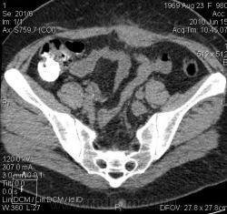
Женщина 40 лет, чуть больше месяца после операции по поводу гнойного сальпингита. Свищ передней брюшной стенки в области п/о рубца на 3 см влево от сагитальной линии, температура 38. СОЭ=35 мм/ч, палочкоядерные 16, лейкоциты 10.
При проведении фистулографии легко поместилось 20 мл урографина. На рентгенограмме контрастировалась слепая кишка. Взята на КТ. Заключение: сформировавшийся наружно-толстокишечный свищ, абсцесс передней брюшной стенки. Ваше мнение? Прошу помочь с классификацией, верна ли терминология?
приветствую! опыт у меня небольшой,но с заключением все правильно,имхо...
Жаль на этих изображениях весь свищ до слепой кишки не прослеживается. А нет ли у него ответвления к органам м. таза? Абсцесс передней брюшной стенки – это утолщение мягких тканей по средней линии её?
Неоднозначно всё
"Веточек" в малый таз не нашла, хотя матка неоднородна, без увеличения. Да, веретенообразное утолщение мышц передней брюшной стенки, местами жидкостной плотности, с мелкими уровнями, тяжистость подкожно-жировой клетчатки по ходу свища. Свищ спадается, около 4 см в брюшной полости виден крайне плохо, и на сканах тоже.
https://www.youtube.com/channel/UCBGxoBUOqUT_bFhSeUgtWEw
у Вас выставлена фистулограмма реконструированная? а поэтапно при введении КВ не записывали?Можете показать ?
Черного кобеля не отмоешь добела?!
Сначала была обычная фистулография. На КТ взяли после обнаружения контраста в слепой кишке на рентгенограмме, чтоб определиться с состоянием органов брюшной полости и таза. При проведении КТ дополнительно контраст не вводился - ни в свищ, ни болюсно.
https://www.youtube.com/channel/UCBGxoBUOqUT_bFhSeUgtWEw
Вот! В этом-то ваш прокол: при проведении КТ не добавили контраста в фистулу. А не добавили потому что "умная мысля – приходит опосля" и как правило, приходит в головы умных критиков, которых в трудный момент поблизости никогда не оказывается.
Неоднозначно всё
Уважаемая goncharovakuraeva! поверьте мои вопросы были вызваны отнюдь не желанием критиковать Вашу работу,-упаси меня Бог!,-я думаю Петровичу за завтраком достались не совсем свежие- яички отсюда и выраженная холемия.
Просто иходя из имеющегося у меня опыта(вполне допускаю возможность недостаточно авторитетного для "зубров"сайта)при выполнении фистулографии водорастворимыми контрастными веществами есть необходимость записать весь процесс ,т.к. заметить все изменения в реальном времени трудно,а контрастное вещество с момента его введения начинает всасываться и поэтому мелкие детали очень легко и не заметить, а при повторных просмотрах могут выявиться. смысл
Черного кобеля не отмоешь добела?!
Никаких обид или претензий! Действительно, контраста не добавили, хотя могли. Впредь будем умнее. Это первый "блин комом". Спасибо за информацию и отклики!
https://www.youtube.com/channel/UCBGxoBUOqUT_bFhSeUgtWEw
Надеюсь, мы на медицинском сайте и знаем, что зрелые яйцеклетки птиц называются яйцами, а яички, тести́кулы (лат. testes, testiculus, греч. ὄρχις) — парные мужские половые железы... "Друг Аркадий, не говори красиво" (с)
Андрей Юрьевич
И с чего ему взбрело про холемию? Наверное, потому что сам страдает. Только яички несвежие, а равно и яйца любые тут не причём: причина холемии всегда внутренняя. И это тоже надо бы знать посетителю медицинского сайта.
Черного кобеля действительно не отмоешь добела. Желтуха ещё усложняет проблему.
Неоднозначно всё
к моему глубокому сожалениию разговор перешел в плоскость кухни в коммунальной квартиры. оставляя в стороне богатство русского языка вполне позволяющее дифференцировать даже посетителю медицинского сайта мужское понятие "яйцо" и ласкательное яичко.И тот же одиозный посетитель медицинского сайта советует такому же посетителю этого же сайта коль скоро он взял на себя такой труд обьяснить чем А отличается от Б не смешивать понятия билирубинеми и холемии, а на досуге, если это не было сделано ранее, поинтересоваться откуда пошло русское выражение "разлитие желчи"(почти дословный перевод)
Черного кобеля не отмоешь добела?!