В.Л. Катенёв.
Конспект врача рентгенолога в схемах и таблицах.
Рентгеносемиотика обызвествленной плевры.
По литературным данным, причиной обызвествления плевры являются длительно текущие плевриты, как специфического характера, так и неспецифической этиологии. Имеются указания, что чаще всего обызвествления плевры наблюдаются, как следствие гнойных плевритов. Наличие травмы, субплевральной гематомы также способствует обызвествлению плевры.
Рентгенологическая симптоматология обызвествленной плевры довольно характерна, и не требует проведения дифференциальной диагностики, и складывается из следующих признаков:
- значительная интенсивности тени, приближающаяся по плотности к обызвествленному очагу (т.е. больше интенсивности костной ткани);
- неоднородная структура по типу «крапчатости».
Авторы, чаще всего выделяют два вида обызвествления плевры:
- «плоскостные обызвествления», которые примыкают к стенке грудной клетки;
- «краевые», окружающие по краю осумкованные выпоты.
«Плоскостные обызвествления», по своим размерам, и форме весьма различные – от локальных – до субтотальных и тотальных («панцирное лёгкое»).
|
ПРИЗНАК |
ХАРАКТЕРИСТИКА |
|
Размеры |
Различные – от локальных до субтотальных и тотальных затемнений (панцирное лёгкое). |
|
Положение |
В любом отделе, чаще в базальных и средних отделах легочных полей. |
|
Форма |
Неправильная, иногда весьма причудливая. |
|
Контуры |
Неровные, чаще всего чёткие |
|
Структура тени |
Неоднородная, «ноздреватая», местами локальные, более плотные (известковой плотности) участки. |
|
Дыхательные экскурсии диафрагмы |
Со стороны поражения амплитуда экскурсий снижена или полностью отсутствует. |
|
Прочие изменения |
Могут иметь место шварты, полная или частичная облитерация синусов плевры. В некоторых случаях фиксируется плеврогенный цирроз лёгкого со стороны поражения. |
В качестве иллюстраций приводим случаи из практики.
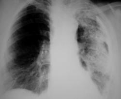
Иллюстрации 1, 2. Тотальное снижение прозрачности легочной ткани слева значительной интенсивности, неоднородной структуры. Средостение несколько смещено влево. Справа определяется компенсаторная эмфизема, слева умеренно выраженный плеврогенный цирроз.
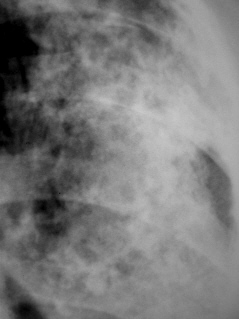
Иллюстрации 3, 4. Фрагменты рентгенограмм с увеличением. Структура затемнения неоднородная, ноздреватая. На боне интенсивного затемнения визуализируются округлые участки просветления. Местами определяются более интенсивные участки затемнения известковой плотности в виде «очаговости».
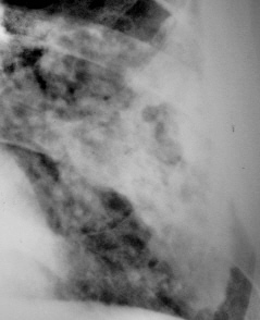
Иллюстрации 5, 6. Слева на уровне 4, 5, 6 ребер определяется локально участок обызвествленной плевры значительной интенсивности, неоднородной структуры.


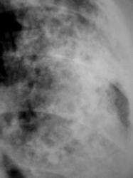
Иллюстрации 7, 8. Структура затемнения неоднородная, имеет «ноздреватый» характер.