Пол пациента:
Тип патологии:
Область исследования:
Методы исследования:
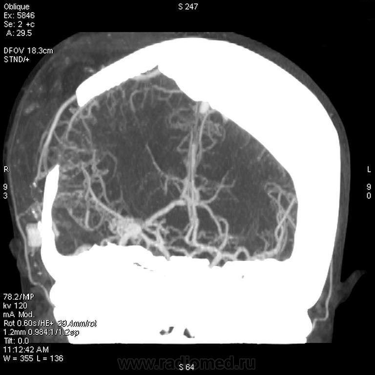
Хочу поделиться наблюдением. Поступила девушка 19 лет в ухудшением по поводу кровоизлияния в области сильвиевой щели справа вследствие АВМ. Повторное сканирование показало, что вновь кровоизлияние из узла... Предыдущее было пару месяцев назад. Делается прямая ангиография для изучения расположения клубка патологических сосудов для его оперативного выделения и удаления. Сделали - результат не утешительный, правая средняя мозговая артерия четко не визуализируется и принадлежность её к АВМ достоверно определить не удалось. Делаем КТ-ангиографию...
вот обработочка в искривленных плоскостях... Правая СМА не вовлечена, на прямой ангиографии не видно этого, даже постфактум. Нейрохирурги уверенно идут на операцию и очень тщательно выделяют её, убирая клубок. Операция прошла успешно, благодаря мастерству и решительности наших хирургов.
С уважением, С.Н. Нагорный
Классное наблюдение, информативные изображения.
Да, реконструкции иногда очень здорово выручают.
С уважением, С.Н. Нагорный
Как часто, уважаемый Сергей Николаевич, Вы сталкиваетесь с такой патологией?
Работая в региональном сосудистом центре при большом нейрохирургическом отделении, сталкиваюсь примерно раз в неделю.. Причем, чаще идут - молодые девушки окло 20 лет. Может, просто совпадение...
С уважением, С.Н. Нагорный
Ну, рентгенологи моего уровня (ЦРБ) вообще таких изображений не видят, и даже в областном центре. Правда, наша коллега Nela поместила несколько интересных и информативных случаев на сайт (из её практики),
И конечно, такие демонстрации, представляют для обычных рентгенологов не просто интерес, а познавательный интерес. Очень хорошо, что вы даете краткие комментарии, которые "обычному" рентгенологу просто необходимы.
Ну, с молодыми девушками, по всей видимости, общаться приятнее, чем с "бабушками" - шутка.
я хотел это написать, но думал неправильно поймете.
На самом деле, наверное, не раз в неделю, а реже. Просто иногда одного больного по несколько раз крутим, до операции, после, после резкого ухудшения и тп... Поэтому кажется, что раз в неделю. В общем, не редкое явление.
С уважением, С.Н. Нагорный
Вас всегда поймут правильно.
На сайте сообщество равных.
прямая агниография через бедренную артерию, в т.ч. селективная. Возможно, схожу принесу снимки и оборотную 3Д. Во всех проекциях - клубок сосудов, накладывающихся друг на друга, равномерно и своевременно заполняющихся контрастным препаратом вместе с СМА. Все сосуды тесно прилежат друг к другу. На этот случай я лично с нейрохирургами ходил в кабинет ангиографии и смотрел. Никто из нас не понял четко... КТ-ангиография разрешила всё.
С уважением, С.Н. Нагорный
Скажите, кто определял последовательность исследований, обычно идут от неинвазивного к более сложному и опасному(ангиографии), у Вас наоборот (хотя КТ похоже 64-срезовый). Может стоило при ангиографии выполнить суперселективное исследование - установить катетер или микрокатетер в дистальных отделах ВСА.
При наличии АВМ, насколько мне известно, золотым стандартом и необходимым является прямая ангиография. Возможно, заблуждаюсь.. АВМ при КТ была очевидна, какой смысл дыло делать МСКТ-ангиографию, если всё равно делать прямую? К сожалению, не являюсь рентгенхирургом, поэтому не могу сказать почему не была сделана суперселективная ангиография. Возможно, нейрохирурги и интервенционные рентгенологи не поняли друг друга и своих задач (оценить не бассейн и размеры, а еще и уровень и заинтересованность СМА). Не идти же еще раз на суперселективнуя АГ. Проще КТ-АГ. Вообще, направляют на АГ врачи-нейрохирурги, я этого не касаюсь. Отделение интервенционной рентгенологи не входит в наше рентгеновское. Подскажите как нужно было делать правильно тактически, если Вы являетесь специалистом в этом. Спасибо.
С уважением, С.Н. Нагорный
Согласна и Интервентом, сначала КТ-ангиография и чаще всего на этом и останавливаются. На сегодняшний день КТ-ангио каротидных артерий и аорты превосходит катетризационную ангиографию в возможности демонстрации анатомических структур, питающих и дернирующих сосудов, шейки аневризмы. Вы сами это продемонстрировали.
Я тоже полностью согласен, в этом 100%й здравый смысл. Я-то продемонстрировал, я всегда стараюсь ставить полноценные диагнозы по КТА. Но даже если я пишу мешотчатая аневризма, например, СМА, указываю и размеры и локализацию и тп, то по нейрохирургическим стандартам делается ПРЯМАЯ ангиография и больного везут туда. Глупость полнейшая, согласен. Кстати, уважаемый проф. Корниенко тоже упоминал это пару лет назад. С тех пор эта нормативная база не изменилась, насколько я знаю. И больного не я решаю куда направлять. Нам направляют уже нейрохирурги после прямой АГ в данном случае и я не могу отказать, поскольку не было достигнуто цели диагностического поиска и делаю...
С уважением, С.Н. Нагорный
Понятно...
У нас, как правило, начинают с КТА. Затем по КТ планируют стентирование или оперируют. Или направляют в Москву.