Пол пациента:
Тип патологии:
Область исследования:
Методы исследования:
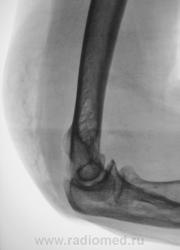
Травма неделю тому. Пациентка "особых" жалоб не предъявляла и была отпущена хирургом домой. Через неделю после травмы появилась отёчность мягких тканей по задней поверхности дистальной трети плеча и локтевого сустава. пациентка была направлена на рентгенографию локтевого сустава.
Произведена рентгенография. Ваше мнение уважаемые коллеги?
не имеет ли тут место быть внутрисуставной перелом головки луча? а отечность подкожной гематомой или бурситом(с не типичным расположением сумки)
Здравствуйте коллега!
Спасибо Вам за высказанное мнение.
Здравствуйте Валентин Львович!
Продольный перелом головки луча с выраженным гемартрозом и параартикулярной гематомой...
Здравствуйте!
Спасибо за высказанное мнение Анатолий Владимирович!
Благодаря широким возможностям "Сиара", мы тоже. этот перелом не проморгали.
Такие переломы довольно часты, и пропускаются тоже довольно часто
Вот, и в Липецке заинтересовались "Сиаром", сегодня позвонили, приедут "посмотреть" и пощупать. Оказывается, что в Липецке нет ни одной CR-системы (областной город).