You are here

Киста правой почки с признаками атипии

Пол пациента: 
Область исследования: 

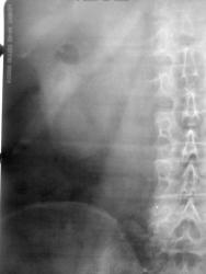
Пациентка 48 лет, обследована на УЗИ - выявлена полостное образование в правой почке, направлена на урографию.

ID:5348
Широков.Евгений.'s picture
Offline
Last seen: 11 years 4 months ago
Joined: 31.08.2008 - 14:29
Posts: 77

Широков.Евгений. wrote:

Пациентка 48 лет, обследована на УЗИ - выявлена полостное образование в правой почке, направлена на урографию.

Приложения: 
netip.kista_pochki_1.jpg
Катенёв Валентин Львович's picture
Offline
Last seen: 7 years 1 month ago
Joined: 22.03.2008 - 22:15
Posts: 54876

А где внутривенная?

stovbav's picture
Offline
Last seen: 2 years 3 months ago
Joined: 20.12.2009 - 17:28
Posts: 7066

Можно конечно предположить дополнительное образование правой почки по верхне-наружному контуру...но действительно, где же в\в урография?

Dr.Drug's picture
Offline
Last seen: 7 years 10 months ago
Joined: 01.11.2008 - 20:21
Posts: 464

... на обзорном снимке полость в почке!

С уважением, А.В.Коробейников

stovbav's picture
Offline
Last seen: 2 years 3 months ago
Joined: 20.12.2009 - 17:28
Posts: 7066

Dr.Drug wrote:

... на обзорном снимке полость в почке!

Вы шутите?

Vikkur's picture
Offline
Last seen: 4 years 9 months ago
Joined: 24.09.2009 - 14:34
Posts: 1749

По верхнему полюсу?

Виктор.

stovbav's picture
Offline
Last seen: 2 years 3 months ago
Joined: 20.12.2009 - 17:28
Posts: 7066

Vikkur wrote:

По верхнему полюсу?

Можно и так сказать...но ведь всего один только фрагмент....

Сергей Нагорный's picture
Offline
Last seen: 9 years 9 months ago
Joined: 13.07.2010 - 22:49
Posts: 1370

В верхнем сегменте правой почки что-то...  что значит по узи полостное образование? Жидкостное? Если жидкостное, то оно не может так выглядеть. Может, что-то жиросодержащее? Например, ангиомиолипома, дермоид. Бывают ангиомиолипомы с большим преобладанием жира, но, к сожалению, не знаю как они выглядят на рентгеновском снимке. Больше не приходит ничего в голову, что могло давать такую картину.

С уважением, С.Н. Нагорный

Катенёв Валентин Львович's picture
Offline
Last seen: 7 years 1 month ago
Joined: 22.03.2008 - 22:15
Posts: 54876

А, может быть наложился газ в кишке?

Широков.Евгений.'s picture
Offline
Last seen: 11 years 4 months ago
Joined: 31.08.2008 - 14:29
Posts: 77

На экскреторке аналогичная картина, потому газ в кишке отпадает, контрастирования ЧЛС не было. Проследить за дальнейшим развитием ситуации не удалось, это я подрабатывал в ведомственной больнице, знаю лишь, что пациентку в дальнейшем отправили в г.Красноярск в ЖД больницу. В протоколе УЗИ не указывалось содержимое полости.

Dr.Drug's picture
Offline
Last seen: 7 years 10 months ago
Joined: 01.11.2008 - 20:21
Posts: 464

stovbav wrote:

Dr.Drug wrote:

... на обзорном снимке полость в почке!

Вы шутите?

Я написал в теме "Не найдете..." и продолжил "... на обзорном снимке полость в почке!"

Конечно же никакой полости на обзорном снимке в почке найти нельзя.

С уважением, А.В.Коробейников

stovbav's picture
Offline
Last seen: 2 years 3 months ago
Joined: 20.12.2009 - 17:28
Posts: 7066

Dr.Drug wrote:

Я написал в теме "Не найдете..." и продолжил "... на обзорном снимке полость в почке!"

Конечно же никакой полости на обзорном снимке в почке найти нельзя.

Виноват...не досмотрел заглавие...