Пол пациента:
Тип патологии:
Область исследования:
Методы исследования:
- https://radiomed.ru/sites/default/files/styles/case_slider_image/public/user/12/2.p8110005a_1.jpg?itok=ZIr60dJr
- https://radiomed.ru/sites/default/files/styles/case_slider_image/public/user/12/3.p8110006_0.jpg?itok=Ttd0LuNy
- https://radiomed.ru/sites/default/files/styles/case_slider_image/public/user/12/4.p8110006a_1.jpg?itok=hbSO4jQE
- https://radiomed.ru/sites/default/files/styles/case_slider_image/public/user/12/5.p8110007.jpg?itok=AJBytGUv
- https://radiomed.ru/sites/default/files/styles/case_slider_image/public/user/12/5.p8110007a.jpg?itok=kOhfbDpJ
- https://radiomed.ru/sites/default/files/styles/case_slider_image/public/user/12/7.p8110008.jpg?itok=U5xY0qS9
- https://radiomed.ru/sites/default/files/styles/case_slider_image/public/user/12/8.p8110008a.jpg?itok=Cw7FR-A_
ID:5371
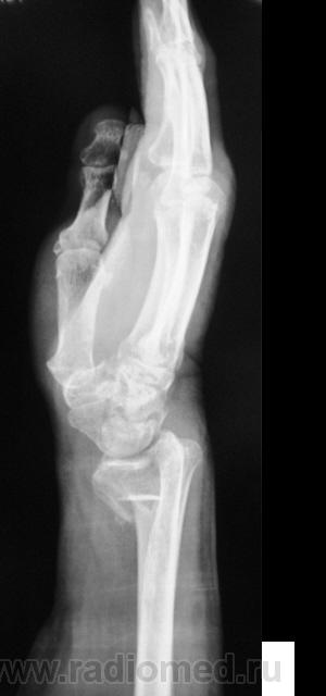
Фрагменты с увеличением.
Пусть интересуется... Гипс снят рановато, стояние отломков - неудовлетворительно,хотя бывает и хуже
телу- мера, душе-Вера
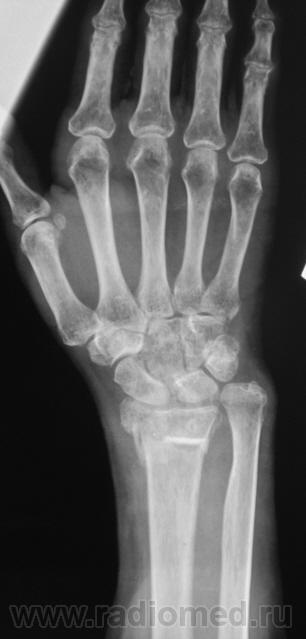
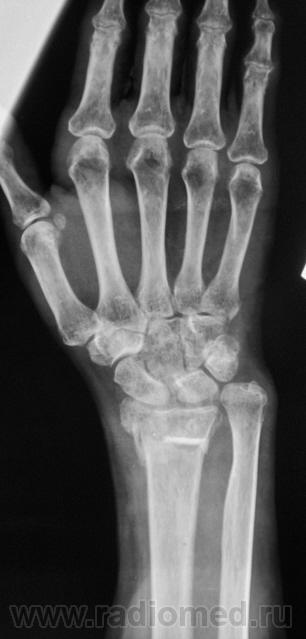
Если срок сращения 4 недели, то признаки консолидации выражены соответственно сроку достаточно хорошо. Перелом компрессионный, поэтому произошел вывих в л/л суставе. Можно или нет его было устранить в амбулаторных условиях - судить не берусь. Осколок кортикала в луче "захряснет", может, рассосется - ничего страшного.
Великое преймущество врача заключается в том, что он не обязан следовать собственным советам. ( А. Кристи)
неприятная ситуация(особенно если не было первичной репозиции) есть оппределенные правила ведения таких переломов, первичный снимок, сразу после репозиции, через 4-5 дней после репозиции и если нет вторичного смещения в гипсе то через 4-5 недель уже без гипса. ситуация на данный момент спорная, лучше наложить аппарат Илизарова для дальнейшей иммобилизации и профилактики контрактуры л\зап сустава. если возраст пациентки почтенный, то гипсовая иммобилизация доолжна быть продлена до 8 недель.
В подобной ситуации никто АИ накладывать не будет, по крайней мере у нас.
Великое преймущество врача заключается в том, что он не обязан следовать собственным советам. ( А. Кристи)
Ну у Вас свои "червяки" у нас свои