You are here

МРТ позвоночника, добавочная селезенка?

Пол пациента: 

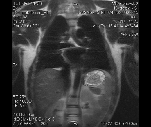
Приветствую уважаемые врачи! Недавно проходил мрт по поводу болей в спине. В районе селезенки было замечено не понятное образование, не могу определиться нужно ли мне беспокоиться и делать узи+кт или это просто добавочная селезенка? 

ID:69560

Заключение -протрузии диска th7\th8 0.2mm  l5\s1 0.3mm

Цель публикации: 
И.Бондаренко's picture
Offline
Last seen: 17 hours 16 min ago
Joined: 13.09.2011 - 22:55
Posts: 9206

На томогрммах видна киста в левой почке 

Евгений Алексеевич's picture
Offline
Last seen: 5 years 1 week ago
Joined: 28.06.2013 - 16:23
Posts: 4122

На 0,3-тесловом аппарате произведено исследование?

Илья Москвин's picture
Offline
Last seen: 6 years 7 months ago
Joined: 16.10.2015 - 18:59
Posts: 106

а на аксиалах по задней поверхности разве не добавочная долька? 

Евгений Второй's picture
Offline
Last seen: 1 week 14 hours ago
Joined: 13.09.2011 - 22:00
Posts: 1772

Евгений Алексеевич wrote:

На 0,3-тесловом аппарате произведено исследование?

Из чего следует такое заключение? Хотя на снимках есть напряжённость магнитного поля для особо внимательных :)

Евгений Второй's picture
Offline
Last seen: 1 week 14 hours ago
Joined: 13.09.2011 - 22:00
Posts: 1772

Илья Москвин wrote:

а на аксиалах по задней поверхности разве не добавочная долька? 

почка и кишки на аксиалах.